Suppr超能文献

酵母中表达的水貂α干扰素的抗病毒活性

Antiviral activity of mink interferon alpha expressed in the yeast .

作者信息

Zhang Hailing, Zhang Dongliang, Lu Han, Zou Deying, Hu Bo, Lian Shizhen, Lu Shiying

机构信息

Key Laboratory of Zoonosis, Ministry of Education, College of Animal Science and Veterinary Medicine, Institute of Zoonosis, Jilin University, Changchun, China.

Key Laboratory of Special Animal Epidemic Disease, Ministry of Agriculture, Institute of Special Animal and Plant Sciences, Chinese Academy of Agricultural Sciences, Changchun, China.

出版信息

Front Vet Sci. 2022 Sep 14;9:976347. doi: 10.3389/fvets.2022.976347. eCollection 2022.

Abstract

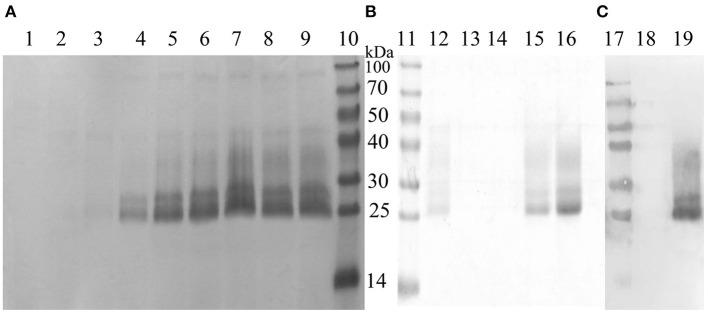
Many viruses can cause infections in mink, including canine distemper virus, mink enteritis virus, and Aleutian disease virus. Current treatments are ineffective, and these infections are often fatal, causing severe economic losses. As antiviral drugs may effectively prevent and control these infections, recent research has increasingly focused on antiviral interferons. Herein, the gene encoding a mature mink interferon alpha (MiIFN-α) was synthesized according to the preference of codon usage and a recombinant plasmid, pPICZαA-MiIFN-α, was constructed. pPICZαA-MiIFN-α was linearized and transformed into the X33 strain, and zeocin-resistant transformants were selected. Protein expression was induced by methanol. SDS-PAGE and western blot analyses showed that a 25-kDa fusion protein was expressed in the culture supernatant. Antiviral activity of the expressed protein was determined using cytopathic effect inhibition (CPEI). The purified MiIFN-α significantly inhibited the cytopathic effect of vesicular stomatitis virus with a green fluorescent protein (VSV-GFP) in F81 feline kidney cells, with an antiviral activity of 6.4 × 10 IU/mL; it also significantly inhibited MEV replication in F81 cells. MiIFN-α antiviral activity against VSV-GFP was significantly reduced on treatment with pH 4 and pH 10 conditions for 24 h ( < 0.01). Serum MiIFN-α concentrations in rat were measured using enzyme-linked immune-sorbent assay; MiIFN-α concentrations in rat serum peaked at ~36 h after injection. A high dose of MiIFN-α was safe for use. There were no significant differences in body temperature, tissue changes, and lymphocyte, total white blood cell, and central granulocyte counts between the injected and control groups ( > 0.05). These findings lay a foundation for the large-scale production of recombinant MiIFNs.

摘要

许多病毒可导致水貂感染,包括犬瘟热病毒、水貂肠炎病毒和阿留申病病毒。目前的治疗方法无效,这些感染往往是致命的,会造成严重的经济损失。由于抗病毒药物可能有效预防和控制这些感染,最近的研究越来越关注抗病毒干扰素。在此,根据密码子使用偏好合成了编码成熟水貂干扰素α(MiIFN-α)的基因,并构建了重组质粒pPICZαA-MiIFN-α。将pPICZαA-MiIFN-α线性化并转化到X33菌株中,筛选出对博来霉素耐药的转化子。用甲醇诱导蛋白表达。SDS-PAGE和western blot分析表明,培养上清液中表达了一种25 kDa的融合蛋白。使用细胞病变效应抑制(CPEI)测定表达蛋白的抗病毒活性。纯化的MiIFN-α在F81猫肾细胞中显著抑制了带有绿色荧光蛋白的水疱性口炎病毒(VSV-GFP)的细胞病变效应,抗病毒活性为6.4×10 IU/mL;它也显著抑制了F81细胞中MEV的复制。在pH 4和pH 10条件下处理24小时后,MiIFN-α对VSV-GFP的抗病毒活性显著降低(P<0.01)。使用酶联免疫吸附测定法测量大鼠血清中的MiIFN-α浓度;大鼠血清中MiIFN-α浓度在注射后约36小时达到峰值。高剂量的MiIFN-α使用安全。注射组和对照组之间在体温、组织变化以及淋巴细胞、总白细胞和中性粒细胞计数方面没有显著差异(P>0.05)。这些发现为重组MiIFNs的大规模生产奠定了基础。

https://cdn.ncbi.nlm.nih.gov/pmc/blobs/9b09/9515496/ef26ce7cb1d8/fvets-09-976347-g0001.jpg

文献AI研究员

20分钟写一篇综述,助力文献阅读效率提升50倍。

立即体验

用中文搜PubMed

大模型驱动的PubMed中文搜索引擎

马上搜索

文档翻译

学术文献翻译模型,支持多种主流文档格式。

立即体验