Suppr超能文献

[植物名称]根的精油通过调节PI3K/Akt信号通路对皮质酮诱导的小鼠抑郁具有保护作用。

Essential oil from the roots of has protective effect against corticosterone-induced depression in mice via modulation of PI3K/Akt signaling pathway.

作者信息

Sun Jia-Yi, Liu Yi-Tong, Jiang Sheng-Nan, Guo Peng-Mei, Wu Xin-Yu, Yu Jia

机构信息

Chengdu University of Traditional Chinese Medicine, Chengdu, China.

The Third Affiliated Hospital of Chengdu University of TCM/Chengdu Pidu District Hospital of Traditional Chinese Medicine, Chengdu, China.

出版信息

Front Pharmacol. 2022 Sep 16;13:999712. doi: 10.3389/fphar.2022.999712. eCollection 2022.

Abstract

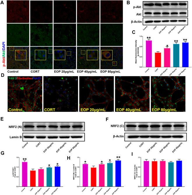
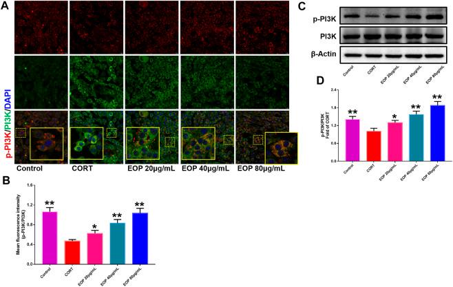
For thousands of years, the roots of Pall (PLP) has been considered by traditional Chinese medicine as a drug that can improve mental or emotional disorders, including depression, anxiety and affective disorders. Unfortunately, the research on the mechanism of action and active ingredients of this beneficial drug is not comprehensive. This study focused on the activity of essential oil from PLP (EOP), systematically studied the antidepressant effect of EOP for the first time, and discussed the potential mechanism of its antidepressant effect. In this study, we used a mouse model of corticosterone (CORT)-induced depression, and found that EOP had a significant antidepressant effect on the symptoms of CORT-induced depression in mice, and significantly down-regulated the levels of CRH, ACTH and cortisol in the brain tissues of mice. In addition, we found that EOP treatment alleviated CORT-induced hippocampal neuron injury in mice experiments. It was also found that EOP could inhibit CORT-induced apoptosis and improve the proliferation ability and cell viability of PC12 cells. Further, with the help of network analysis, it was revealed that PI3K-Akt might be one of the main signaling pathways of EOP against CORT-induced hippocampal neuron apoptosis. In this study, we also found that EOP up-regulated the phosphorylation of PI3K and Akt in CORT-induced mouse hippocampal neurons and PC12 cells, and promoted the nuclear transcription of Nrf2 in CORT-induced PC12 cells. In conclusion, with the integrated approach, we demonstrated that EOP exerted anti-apoptotic effects on hippocampal neurons through PI3K/Akt/Nrf2 signaling pathway.

摘要

数千年来,传统中医一直认为帕罗西汀(PLP)的根是一种可以改善精神或情绪障碍的药物,包括抑郁症、焦虑症和情感障碍。不幸的是,对这种有益药物的作用机制和活性成分的研究并不全面。本研究聚焦于帕罗西汀精油(EOP)的活性,首次系统研究了EOP的抗抑郁作用,并探讨了其抗抑郁作用的潜在机制。在本研究中,我们使用了皮质酮(CORT)诱导的抑郁症小鼠模型,发现EOP对CORT诱导的小鼠抑郁症状具有显著的抗抑郁作用,并显著下调了小鼠脑组织中促肾上腺皮质激素释放激素(CRH)、促肾上腺皮质激素(ACTH)和皮质醇的水平。此外,我们发现在小鼠实验中,EOP治疗减轻了CORT诱导的海马神经元损伤。还发现EOP可以抑制CORT诱导的细胞凋亡,并提高PC12细胞的增殖能力和细胞活力。进一步通过网络分析发现,PI3K-Akt可能是EOP对抗CORT诱导的海马神经元凋亡的主要信号通路之一。在本研究中,我们还发现EOP上调了CORT诱导的小鼠海马神经元和PC12细胞中PI3K和Akt的磷酸化,并促进了CORT诱导的PC12细胞中Nrf2的核转录。总之,通过综合方法,我们证明EOP通过PI3K/Akt/Nrf2信号通路对海马神经元发挥抗凋亡作用。

https://cdn.ncbi.nlm.nih.gov/pmc/blobs/25a5/9523509/2741b60fd928/fphar-13-999712-g001.jpg

文献AI研究员

20分钟写一篇综述,助力文献阅读效率提升50倍。

立即体验

用中文搜PubMed

大模型驱动的PubMed中文搜索引擎

马上搜索

文档翻译

学术文献翻译模型,支持多种主流文档格式。

立即体验