Suppr超能文献

退行性腰椎管狭窄症与非狭窄组之间黄韧带的组织学差异:一项前瞻性比较研究。

Histological difference in ligament flavum between degenerative lumbar canal stenosis and non-stenotic group: A prospective, comparative study.

作者信息

Jain Mantu, Sable Mukund, Tirpude Amit Purushottam, Sahu Rabi Narayan, Samanta Sudeep Kumar, Das Gurudip

机构信息

Department of Orthopaedics, All India Institute of Medical Sciences Bhubaneswar, Bhuabneswar 751019, Odisha, India.

Department of Pathology, All India Institute of Medical Sciences Bhubaneswar, Bhubaneswar 751019, Odisha, India.

出版信息

World J Orthop. 2022 Sep 18;13(9):791-801. doi: 10.5312/wjo.v13.i9.791.

Abstract

BACKGROUND

Ligament flavum (LF) hypertropy is the main etiopathogenesis of lumbar canal stenosis (LCS). The purely elastic LF undergoes a morphological adaptation including a reduction in the elastic fibers and a consequent increase in the collagen content, fibrosis, cicatrization, and calcification. However, the morphometric analysis can delineate the LF in patients with LCS from those without LCS, which would help in better understanding LCS pathogenesis.

AIM

To compare the histopathological changes in LF between the degenerative LCS and non-stenotic (non-LCS) group.

METHODS

The present prospective study was conducted in 82 patients who were divided into two groups, namely LCS and non-LCS. Demographic details of the patients such as duration of symptoms, level of involvement, and number of segments were recorded. The LF obtained from both groups was histopathologically examined for the fibrosis score, elastic fiber degeneration, calcification, and chondroid metaplasia. Morphometrical details included a change in elastin and collagen percentages, elastin/collagen ratio, elastic fiber fragmentation, and ligamentocyte numbers. All parameters were compared between the two groups by using the independent t test, Chi-square test, and Pearson's correlation test.

RESULTS

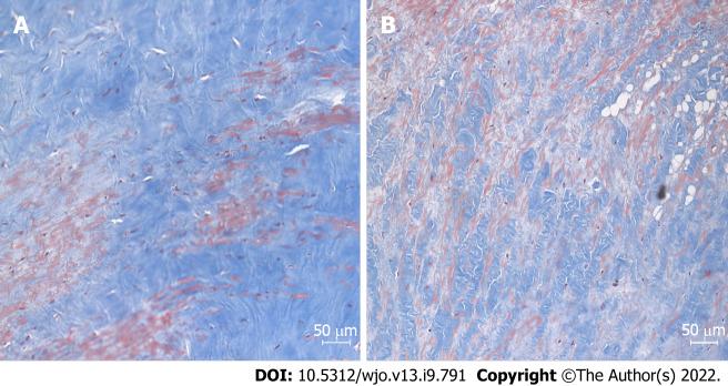
Out of 82 cases, 74 were analysed, 34 in LCS and 40 in non-LCS group. The mean ± SD age of presentation in LCS and non- LCS group was 49.2 ± 8.9 and 43.1 ± 14.3 respectively. The LCS group ( = 34) exhibited significant differences in fibrosis ( = 0.002), elastic fiber degeneration ( = 0.01), % elastic fragmentation (66.5 ± 16.3 29.5 ± 16.9), % elastic, content (26.9 ± 6.7 34.7 ± 8.4), % collagen content (63.6 ± 10.4 54.9 ± 6.4), reduction of elastic/collagen (0.4 ± 0.1 0.6 ± 0.1), and ligamentocyte number (39.1 ± 19.1 53.5 ± 26.9) as compared to non-LCS group ( = 40). The calcification ( = 0.08) and Pearson's correlation between duration and loss of elastin was not significant. The difference in LF morphology is consistent in patient's ≥ 40 years of age among the groups as found in subgroup analysis. Similarly in the patents < 40 and > 40 in the non-LCS group.

CONCLUSION

LF is vital in the pathogenesis of LCS. The purely elastic LF undergoes a morphological adaptation that includes a reduction in the elastic fibers with a consequent increase in the collagen content, fibrosis, cicatrization, and calcification. The present study provides a detailed morphometric analysis to semiquantitatively delineate the LF changes in patients with LCS from those in patients without LCS.

摘要

背景

黄韧带(LF)肥厚是腰椎管狭窄症(LCS)的主要发病机制。单纯弹性的黄韧带会发生形态学改变,包括弹性纤维减少,进而导致胶原蛋白含量增加、纤维化、瘢痕形成和钙化。然而,形态计量分析可以区分LCS患者和非LCS患者的黄韧带,这有助于更好地理解LCS的发病机制。

目的

比较退行性LCS组和非狭窄(非LCS)组黄韧带的组织病理学变化。

方法

本前瞻性研究纳入82例患者,分为LCS组和非LCS组。记录患者的人口统计学细节,如症状持续时间、受累节段水平和节段数量。对两组获取的黄韧带进行组织病理学检查,评估纤维化评分、弹性纤维退变、钙化和软骨样化生。形态计量学细节包括弹性蛋白和胶原蛋白百分比的变化、弹性蛋白/胶原蛋白比值、弹性纤维断裂和韧带细胞数量。使用独立t检验、卡方检验和Pearson相关检验对两组的所有参数进行比较。

结果

82例患者中,74例进行了分析,LCS组34例,非LCS组40例。LCS组和非LCS组的平均±标准差就诊年龄分别为49.2±8.9岁和43.1±14.3岁。与非LCS组(n = 40)相比,LCS组(n = 34)在纤维化(P = 0.002)、弹性纤维退变(P = 0.01)、弹性纤维断裂百分比(66.5±16.3对29.5±16.9)、弹性蛋白含量百分比(26.9±6.7对34.7±8.)、胶原蛋白含量百分比(63.6±10.4对54.9±6.4)、弹性蛋白/胶原蛋白比值降低(0.4±0.1对0.6±0.1)和韧带细胞数量(39.1±19.,1对53.5±26.9)方面存在显著差异。钙化(P = 0.08)以及病程与弹性蛋白丢失之间的Pearson相关性不显著。亚组分析发现,各年龄组中年龄≥40岁患者的黄韧带形态差异一致。非LCS组中年龄<40岁和>40岁的患者也是如此。

结论

黄韧带在LCS的发病机制中至关重要。单纯弹性的黄韧带会发生形态学改变,包括弹性纤维减少,进而导致胶原蛋白含量增加、纤维化、瘢痕形成和钙化。本研究提供了详细的形态计量分析,以半定量地描述LCS患者与非LCS患者黄韧带的变化。

https://cdn.ncbi.nlm.nih.gov/pmc/blobs/d64b/9516625/d714c45524ce/WJO-13-791-g001.jpg

文献AI研究员

20分钟写一篇综述,助力文献阅读效率提升50倍。

立即体验

用中文搜PubMed

大模型驱动的PubMed中文搜索引擎

马上搜索

文档翻译

学术文献翻译模型,支持多种主流文档格式。

立即体验