Suppr超能文献

抑制骨肉瘤中的鞘脂代谢可抵御CD151介导的致瘤性。

Inhibition of sphingolipid metabolism in osteosarcoma protects against CD151-mediated tumorigenicity.

作者信息

Wang Hongsheng, Jin Xinmeng, Zhang Yangfeng, Wang Zhuoying, Zhang Tao, Xu Jing, Shen Jiakang, Zan Pengfei, Sun Mengxiong, Wang Chongren, Hua Yingqi, Ma Xiaojun, Sun Wei

机构信息

Department of Orthopedics, Shanghai General Hospital, School of Medicine, Shanghai Jiao Tong University, 100 Haining Road, Shanghai, 200080, China.

Shanghai Bone Tumor Institution, Shanghai, China.

出版信息

Cell Biosci. 2022 Oct 8;12(1):169. doi: 10.1186/s13578-022-00900-9.

Abstract

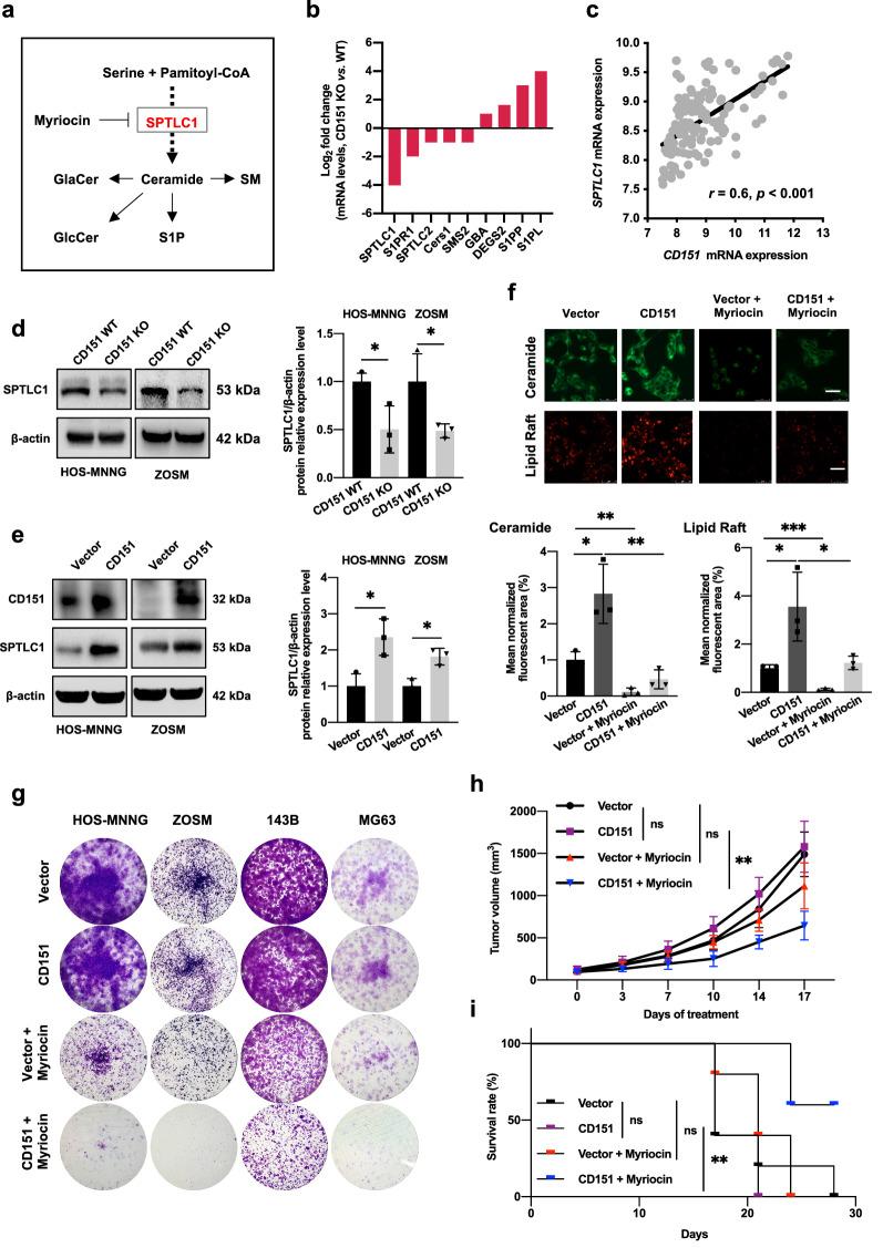
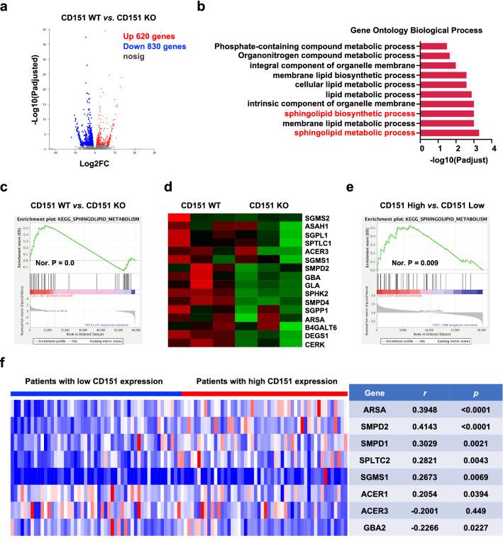
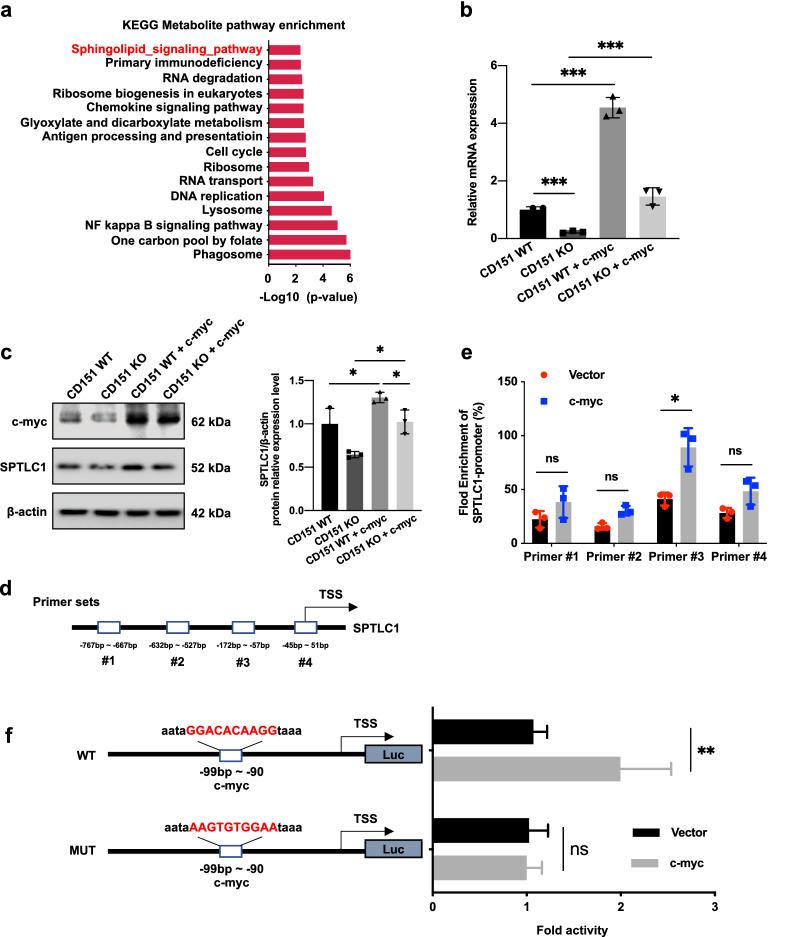
Osteosarcoma is the most common primary bone tumor, with a poor prognosis owing to the lack of efficient molecular-based targeted therapies. Previous studies have suggested an association between CD151 and distinct consequences in osteosarcoma tumorigenicity. However, the potential of CD151 as a therapeutic target has not yet been sufficiently explored. Here, we performed integrated transcriptomic and metabolomic analyses of osteosarcoma and identified sphingolipid metabolism as the top CD151-regulated pathway. CD151 regulates sphingolipid metabolism primarily through SPTCL1, the first rate-limiting enzyme in sphingolipid biosynthesis. Mechanistically, depletion of CD151 enhanced c-myc polyubiquitination and subsequent degradation. c-myc is vital for the transcriptional activation of SPTLC1. Functionally, sphingolipid synthesis and the SPTLC1 inhibitor, myriocin, significantly suppressed the clonogenic growth of CD151-overexpression cells. Importantly, myriocin selectively restrained CD151-high expression tumor growth in preclinical patient-derived xenograft models. Collectively, these data establish that CD151 is a key mediator of sphingolipid metabolism and provide a new approach to developing novel CD151-based targeted therapies for osteosarcoma.

摘要

骨肉瘤是最常见的原发性骨肿瘤,由于缺乏有效的基于分子的靶向治疗,其预后较差。先前的研究表明,CD151与骨肉瘤致瘤性的不同后果之间存在关联。然而,CD151作为治疗靶点的潜力尚未得到充分探索。在此,我们对骨肉瘤进行了综合转录组学和代谢组学分析,并确定鞘脂代谢是CD151调控的首要通路。CD151主要通过鞘脂生物合成中的首个限速酶SPTCL1来调节鞘脂代谢。从机制上讲,CD151的缺失增强了c-myc的多聚泛素化及随后的降解。c-myc对于SPTLC1的转录激活至关重要。在功能上,鞘脂合成以及鞘脂合成酶抑制剂myriocin显著抑制了CD151过表达细胞的克隆形成生长。重要的是,在临床前患者来源的异种移植模型中,myriocin选择性地抑制了CD151高表达肿瘤的生长。总体而言,这些数据表明CD151是鞘脂代谢的关键调节因子,并为开发基于CD151的新型骨肉瘤靶向治疗提供了新方法。

https://cdn.ncbi.nlm.nih.gov/pmc/blobs/8d51/9548188/510990699e03/13578_2022_900_Fig1_HTML.jpg

文献AI研究员

20分钟写一篇综述,助力文献阅读效率提升50倍。

立即体验

用中文搜PubMed

大模型驱动的PubMed中文搜索引擎

马上搜索

文档翻译

学术文献翻译模型,支持多种主流文档格式。

立即体验