Suppr超能文献

血管内大 B 细胞淋巴瘤的基因组特征是 NF-κB 和免疫检查点调节基因的改变。

Intravascular Large B-Cell Lymphoma Genomic Profile Is Characterized by Alterations in Genes Regulating NF-κB and Immune Checkpoints.

机构信息

Pathology Department, Hospital Clínic de Barcelona, University of Barcelona.

Institut d'Investigacions Biomèdiques August Pi i Sunyer (IDIBAPS).

出版信息

Am J Surg Pathol. 2023 Feb 1;47(2):202-211. doi: 10.1097/PAS.0000000000001978. Epub 2022 Oct 12.

Abstract

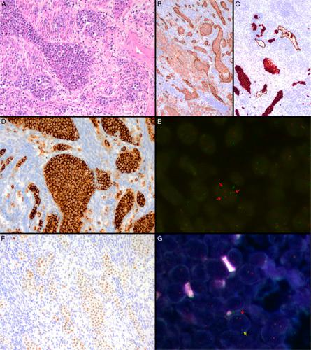
Intravascular large B-cell lymphoma (IVLBCL) is an uncommon lymphoma with an aggressive clinical course characterized by selective growth of tumor cells within the vessels. Its pathogenesis is still uncertain and there is little information on the underlying genomic alterations. In this study, we performed a clinicopathologic and next-generation sequencing analysis of 15 cases of IVLBCL using a custom panel for the detection of alterations in 68 recurrently mutated genes in B-cell lymphomagenesis. Six patients had evidence of hemophagocytic syndrome. Four patients presented concomitantly a solid malignancy. Tumor cells outside the vessels were observed in 7 cases, 2 with an overt diffuse large B-cell cell lymphoma. In 4 samples, tumor cells infiltrated lymphatic vessel in addition to blood capillaries. Programmed death-ligand 1 (PD-L1) was positive in tumor cells in 4 of 11 evaluable samples and in macrophages intermingled with tumor cells in 8. PD-L1 copy number gains were identified in a higher proportion of cases expressing PD-L1 than in negative tumors. The most frequently mutated gene was PIM1 (9/15, 60%), followed by MYD88L265P and CD79B (8/15, 53% each). In 6 cases, MYD88L265P and CD79B mutations were detected concomitantly. We also identified recurrent mutations in IRF4 , TMEM30A , BTG2 , and ETV6 loci (4/15, 27% each) and novel driver mutations in NOTCH2 , CCND3 , and GNA13 , and an IRF4 translocation in 1 case each. The mutational profile was similar in patients with and without evidence of hemophagocytic syndrome and in cases with or without dissemination of tumor cells outside the vessels. Our results confirm the relevance of mutations in B-cell receptor/nuclear factor-κB signaling and immune escape pathways in IVLBCL and identify novel driver alterations. The similar mutational profile in tumors with extravascular dissemination suggests that these cases may also be considered in the spectrum of IVLBCL.

摘要

血管内大 B 细胞淋巴瘤(IVLBCL)是一种罕见的淋巴瘤,具有侵袭性临床病程,其特征为肿瘤细胞在血管内选择性生长。其发病机制尚不确定,关于潜在的基因组改变知之甚少。在这项研究中,我们使用针对 68 个在 B 细胞淋巴瘤发生中反复突变的基因的检测的定制面板,对 15 例 IVLBCL 病例进行了临床病理和下一代测序分析。六例患者有噬血细胞综合征的证据。四例患者同时伴有实体恶性肿瘤。7 例病例中观察到血管外的肿瘤细胞,其中 2 例为明显弥漫性大 B 细胞淋巴瘤。在 4 个样本中,肿瘤细胞除了毛细血管外还浸润淋巴管。在 11 个可评估样本中,有 4 个样本中的肿瘤细胞 PD-L1 阳性,8 个样本中与肿瘤细胞混杂的巨噬细胞 PD-L1 阳性。表达 PD-L1 的病例比阴性肿瘤中 PD-L1 拷贝数增加的比例更高。最常突变的基因是 PIM1(15 例中的 9 例,60%),其次是 MYD88L265P 和 CD79B(15 例中的 8 例,各 53%)。在 6 例病例中,同时检测到 MYD88L265P 和 CD79B 突变。我们还在 4 例(各 27%)病例中发现了 IRF4、TMEM30A、BTG2 和 ETV6 基因座的反复突变,在 1 例病例中发现了 NOTCH2、CCND3 和 GNA13 的新驱动突变,以及 1 例 IRF4 易位。有噬血细胞综合征和无噬血细胞综合征以及血管外肿瘤细胞扩散和无扩散的病例之间,其突变谱相似。我们的结果证实了 B 细胞受体/核因子-κB 信号和免疫逃逸途径突变在 IVLBCL 中的相关性,并确定了新的驱动改变。血管外播散的肿瘤具有相似的突变谱,这表明这些病例也可能被认为是 IVLBCL 的范畴。

https://cdn.ncbi.nlm.nih.gov/pmc/blobs/4903/9833110/7eae041940dc/pas-47-202-g001.jpg

文献AI研究员

20分钟写一篇综述,助力文献阅读效率提升50倍。

立即体验

用中文搜PubMed

大模型驱动的PubMed中文搜索引擎

马上搜索

文档翻译

学术文献翻译模型,支持多种主流文档格式。

立即体验