Suppr超能文献

乾华肉用美利奴羊和小尾寒羊肉品质研究

Research on meat quality of Qianhua Mutton Merino sheep and Small-tail Han sheep.

作者信息

Sun Limin, Jiang Huaizhi

机构信息

College of Animal Science and Technology, Jilin Agricultural University, Changchun, 130118, China.

出版信息

Open Life Sci. 2022 Sep 27;17(1):1315-1323. doi: 10.1515/biol-2022-0493. eCollection 2022.

Abstract

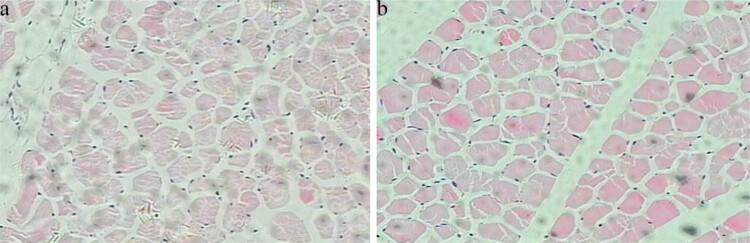
In this study, we analyzed the meat quality of Qianhua Mutton Merino sheep (QHMM). QHMM and Small-tail Han sheep (STH) were selected as the test animals. After slaughtering, the longissimus dorsi muscles were tested to determine the nutrient composition, content of amino acid, fatty acid, and muscle fiber diameter. According to the nutrient test result, the protein content of QHMM was higher than that of STH. However, the fat content was significantly lower ( < 0.05) than STH. Additionally, total amino acid content, total essential amino acid content, total half-essential amino acid content, total non-essential amino acid content, and flavor amino acid content of QHMM were significantly higher ( < 0.05) than those of STH. Moreover, the contents of C22:1 n9, C18:2 n6, C18:3 n6, C22:6 n6, and C10:0 of the muscle in QHMM were significantly higher ( < 0.05) than those of STH. Furthermore, the essential amino acid score, the total unsaturated-to-saturated fatty acid ratio, and the polyunsaturated-to-saturated fatty acid ratio of QHMM were greater than those of STH. Additionally, the muscle fiber diameter of QHMM was considerably lower ( < 0.01) than that of STH. In conclusion, the meat quality of QHMM was better than that of STH.

摘要

在本研究中,我们分析了乾华肉用美利奴羊(QHMM)的肉质。选择QHMM和小尾寒羊(STH)作为试验动物。屠宰后,对背最长肌进行检测,以测定营养成分、氨基酸含量、脂肪酸含量和肌纤维直径。根据营养检测结果,QHMM的蛋白质含量高于STH。然而,其脂肪含量显著低于STH(<0.05)。此外,QHMM的总氨基酸含量、总必需氨基酸含量、总半必需氨基酸含量、总非必需氨基酸含量和风味氨基酸含量均显著高于STH(<0.05)。而且,QHMM肌肉中C22:1 n9、C18:2 n6、C18:3 n6、C22:6 n6和C10:0的含量显著高于STH(<0.05)。此外,QHMM的必需氨基酸评分、总不饱和脂肪酸与饱和脂肪酸的比例以及多不饱和脂肪酸与饱和脂肪酸的比例均高于STH。另外,QHMM的肌纤维直径显著低于STH(<0.01)。总之,QHMM的肉质优于STH。

https://cdn.ncbi.nlm.nih.gov/pmc/blobs/8c1f/9518659/952303b44239/j_biol-2022-0493-fig001.jpg

文献AI研究员

20分钟写一篇综述,助力文献阅读效率提升50倍。

立即体验

用中文搜PubMed

大模型驱动的PubMed中文搜索引擎

马上搜索

文档翻译

学术文献翻译模型,支持多种主流文档格式。

立即体验