Suppr超能文献

微小 RNA-150(miR-150)与糖尿病视网膜病变:miR-150 仅是生物标志物还是会促进疾病进展?

MicroRNA-150 (miR-150) and Diabetic Retinopathy: Is miR-150 Only a Biomarker or Does It Contribute to Disease Progression?

机构信息

Department of Veterinary Integrative Biosciences, College of Veterinary Medicine and Biomedical Sciences, Texas A&M University, College Station, TX 77843, USA.

Texas A&M Institute for Neuroscience, Texas A&M University, College Station, TX 77843, USA.

出版信息

Int J Mol Sci. 2022 Oct 11;23(20):12099. doi: 10.3390/ijms232012099.

Abstract

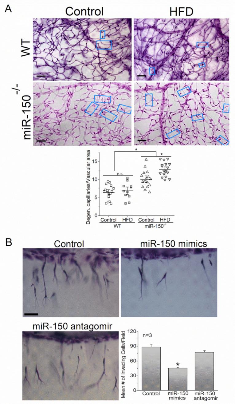
Diabetic retinopathy (DR) is a chronic disease associated with diabetes mellitus and is a leading cause of visual impairment among the working population in the US. Clinically, DR has been diagnosed and treated as a vascular complication, but it adversely impacts both neural retina and retinal vasculature. Degeneration of retinal neurons and microvasculature manifests in the diabetic retina and early stages of DR. Retinal photoreceptors undergo apoptosis shortly after the onset of diabetes, which contributes to the retinal dysfunction and microvascular complications leading to vision impairment. Chronic inflammation is a hallmark of diabetes and a contributor to cell apoptosis, and retinal photoreceptors are a major source of intraocular inflammation that contributes to vascular abnormalities in diabetes. As the levels of microRNAs (miRs) are changed in the plasma and vitreous of diabetic patients, miRs have been suggested as biomarkers to determine the progression of diabetic ocular diseases, including DR. However, few miRs have been thoroughly investigated as contributors to the pathogenesis of DR. Among these miRs, miR-150 is downregulated in diabetic patients and is an endogenous suppressor of inflammation, apoptosis, and pathological angiogenesis. In this review, how miR-150 and its downstream targets contribute to diabetes-associated retinal degeneration and pathological angiogenesis in DR are discussed. Currently, there is no effective treatment to stop or reverse diabetes-caused neural and vascular degeneration in the retina. Understanding the molecular mechanism of the pathogenesis of DR may shed light for the future development of more effective treatments for DR and other diabetes-associated ocular diseases.

摘要

糖尿病视网膜病变(DR)是一种与糖尿病相关的慢性疾病,是美国工作人群视力损害的主要原因。临床上,DR 被诊断和治疗为血管并发症,但它对神经视网膜和视网膜血管都有不利影响。视网膜神经元和微血管的变性在糖尿病视网膜和 DR 的早期阶段表现出来。糖尿病发病后不久,视网膜光感受器就会发生细胞凋亡,这导致了视网膜功能障碍和微血管并发症,从而导致视力损害。慢性炎症是糖尿病的一个标志,也是细胞凋亡的一个促成因素,而视网膜光感受器是眼内炎症的主要来源,它导致糖尿病中的血管异常。由于糖尿病患者血浆和玻璃体内的 microRNAs (miRs) 水平发生变化,miRs 被认为是确定糖尿病性眼病(包括 DR)进展的生物标志物。然而,很少有 miRs 被深入研究为 DR 发病机制的贡献者。在这些 miRs 中,miR-150 在糖尿病患者中下调,是炎症、细胞凋亡和病理性血管生成的内源性抑制剂。在这篇综述中,讨论了 miR-150 及其下游靶标如何导致 DR 中与糖尿病相关的视网膜变性和病理性血管生成。目前,还没有有效的治疗方法可以阻止或逆转糖尿病引起的视网膜神经和血管变性。了解 DR 发病机制的分子机制可能为未来开发更有效的 DR 和其他糖尿病相关眼病的治疗方法提供启示。

https://cdn.ncbi.nlm.nih.gov/pmc/blobs/d342/9603433/8d61e95bd658/ijms-23-12099-g001.jpg

文献AI研究员

20分钟写一篇综述,助力文献阅读效率提升50倍。

立即体验

用中文搜PubMed

大模型驱动的PubMed中文搜索引擎

马上搜索

文档翻译

学术文献翻译模型,支持多种主流文档格式。

立即体验