Suppr超能文献

去甲文拉法辛作为引发可逆性脑血管收缩综合征的主要潜在病因:一例报告

Desvenlafaxine As the Main Possible Culprit in Triggering Reversible Cerebral Vasoconstriction Syndrome: A Case Report.

作者信息

Abu-Abaa Mohammad, AbuBakar Malik, Mousa Aliaa, Landau Daniel

机构信息

Internal Medicine, Capital Health Regional Medical Center, Trenton, USA.

Neurology, Capital Health Regional Medical Center, Trenton, USA.

出版信息

Cureus. 2022 Sep 30;14(9):e29780. doi: 10.7759/cureus.29780. eCollection 2022 Sep.

Abstract

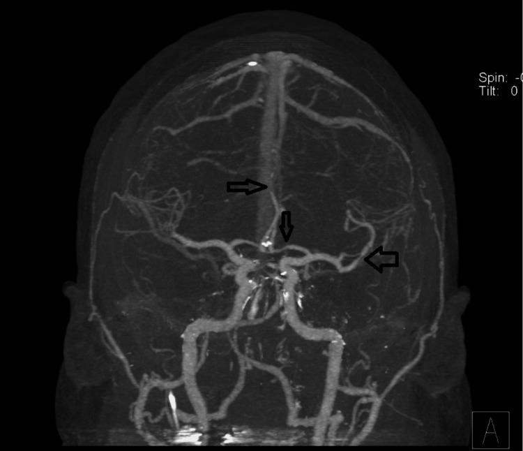
Reversible cerebral vasoconstriction syndrome (RCVS) is not an uncommon condition. It should be suspected in young patients with new onset headaches and neurologic deficits. We report a 38-year-old male patient with a history of depression on desvenlafaxine for two years and no other triggering factor who was diagnosed with RCVS confirmed by cerebral angiogram. Discontinuation of the medication and calcium channel blockers initiation led to rapid clinical improvement. The diagnosis was further confirmed by angiographic improvement two months later. Although the association of selective serotonin reuptake inhibitors (SSRI)/ serotonin norepinephrine reuptake inhibitors (SNRI) with RCVS has been reported frequently, desvenlafaxine is a much less reported trigger, with only nine cases in total. In contrast to prior reported cases where the time from exposure to onset of RCVS was weeks to months, the time interval, in this case, was two years. This case report aims to support previous literature in suggestion of this association.

摘要

可逆性脑血管收缩综合征(RCVS)并非罕见疾病。对于新发头痛和神经功能缺损的年轻患者,应怀疑患有此病。我们报告一例38岁男性患者,有两年服用去甲文拉法辛治疗抑郁症的病史,无其他诱发因素,经脑血管造影确诊为RCVS。停用该药物并开始使用钙通道阻滞剂后,临床症状迅速改善。两个月后的血管造影改善进一步证实了诊断。尽管选择性5-羟色胺再摄取抑制剂(SSRI)/5-羟色胺去甲肾上腺素再摄取抑制剂(SNRI)与RCVS的关联已被频繁报道,但去甲文拉法辛作为诱发因素的报道要少得多,总共仅有9例。与之前报道的病例中从接触药物到RCVS发病的时间为数周至数月不同,本病例的时间间隔为两年。本病例报告旨在支持先前文献中关于这种关联的提示。

https://cdn.ncbi.nlm.nih.gov/pmc/blobs/e02a/9618233/3fa5bb121452/cureus-0014-00000029780-i01.jpg

文献AI研究员

20分钟写一篇综述,助力文献阅读效率提升50倍。

立即体验

用中文搜PubMed

大模型驱动的PubMed中文搜索引擎

马上搜索

文档翻译

学术文献翻译模型,支持多种主流文档格式。

立即体验