Suppr超能文献

人工智能在肺癌中的应用:现状与展望。

Artificial intelligence in lung cancer: current applications and perspectives.

机构信息

Department of Radiology, Hôpital Cochin, AP-HP, 27 rue du Faubourg Saint-Jacques, 75014, Paris, France.

Faculté de Médecine, Université Paris Cité, 75006, Paris, France.

出版信息

Jpn J Radiol. 2023 Mar;41(3):235-244. doi: 10.1007/s11604-022-01359-x. Epub 2022 Nov 9.

Abstract

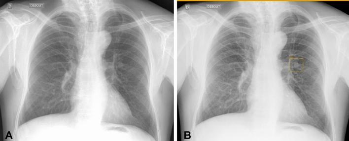
Artificial intelligence (AI) has been a very active research topic over the last years and thoracic imaging has particularly benefited from the development of AI and in particular deep learning. We have now entered a phase of adopting AI into clinical practice. The objective of this article was to review the current applications and perspectives of AI in thoracic oncology. For pulmonary nodule detection, computer-aided detection (CADe) tools have been commercially available since the early 2000s. The more recent rise of deep learning and the availability of large annotated lung nodule datasets have allowed the development of new CADe tools with fewer false-positive results per examination. Classical machine learning and deep-learning methods were also used for pulmonary nodule segmentation allowing nodule volumetry and pulmonary nodule characterization. For pulmonary nodule characterization, radiomics and deep-learning approaches were used. Data from the National Lung Cancer Screening Trial (NLST) allowed the development of several computer-aided diagnostic (CADx) tools for diagnosing lung cancer on chest computed tomography. Finally, AI has been used as a means to perform virtual biopsies and to predict response to treatment or survival. Thus, many detection, characterization and stratification tools have been proposed, some of which are commercially available.

摘要

人工智能(AI)是近年来非常活跃的研究课题,特别是在胸部影像学领域,AI 技术,尤其是深度学习技术,得到了广泛的应用。现在,我们已经进入了将 AI 应用于临床实践的阶段。本文的目的是回顾 AI 在胸部肿瘤学中的当前应用和前景。在肺结节检测方面,自 21 世纪初以来,计算机辅助检测(CADe)工具已经商业化。深度学习的兴起以及大型注释肺结节数据集的可用性,使得开发出了新的 CADe 工具,每个检查的假阳性结果更少。经典的机器学习和深度学习方法也被用于肺结节分割,从而实现了结节体积和肺结节特征的定量分析。在肺结节特征分析方面,使用了放射组学和深度学习方法。国家肺癌筛查试验(NLST)的数据允许开发几种计算机辅助诊断(CADx)工具,用于在胸部 CT 上诊断肺癌。最后,人工智能还被用作进行虚拟活检以及预测治疗反应或生存的手段。因此,已经提出了许多检测、特征分析和分层工具,其中一些已经商业化。

https://cdn.ncbi.nlm.nih.gov/pmc/blobs/2626/9643917/5a8f23d23d22/11604_2022_1359_Fig1_HTML.jpg

文献AI研究员

20分钟写一篇综述,助力文献阅读效率提升50倍。

立即体验

用中文搜PubMed

大模型驱动的PubMed中文搜索引擎

马上搜索

文档翻译

学术文献翻译模型,支持多种主流文档格式。

立即体验