Suppr超能文献

对于患有活动性嗜酸细胞性肉芽肿伴多血管炎的患者,贝那利珠单抗单药治疗不足以诱导缓解。

Benralizumab monotherapy was insufficient to induce remission in patients with active eosinophilic granulomatosis with polyangiitis.

作者信息

Matsuno Osamu, Minamoto Seijiro

机构信息

Department of Allergic and Rheumatoid Disease, Osaka Habikino Medical Center, 3-7-1 Habikino, Habikino City, Osaka, 583-8588, Japan.

出版信息

Respir Med Case Rep. 2022 Oct 30;40:101763. doi: 10.1016/j.rmcr.2022.101763. eCollection 2022.

Abstract

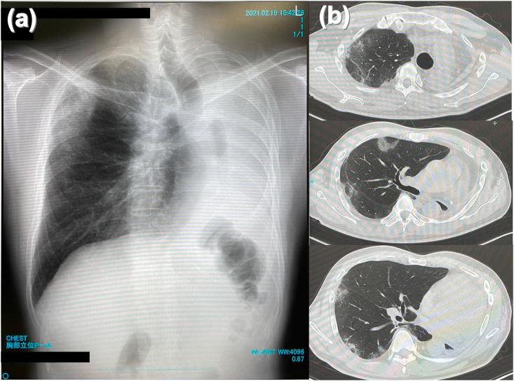
Eosinophils play an important pathogenetic role in the development of eosinophilic granulomatosis with polyangiitis (EGPA). EGPA has long been treated with systemic corticosteroids and immunosuppressive agents. However, in recent years, biologic agents targeting eosinophils (-IL-5 antibody; mepolizumab) have also been used. Evidence regarding the effectiveness of using benralizumab, -IL-5 receptor α monoclonal antibody that depletes eosinophils via antibody-dependent cell-mediated cytotoxicity, has been growing. Benralizumab is used as a steroid-sparing treatment option for EGPA. Clinical studies have evaluated the effects of using mepolizumab or benralizumab in combination with steroids for the treatment of EGPA. However, to date, there have been no reports of using biologics alone. Herein, we describe the case of a patient with active EGPA refractory to benralizumab monotherapy. The patient achieved significant improvement in symptoms after administration of corticosteroids during hospitalization. Benralizumab monotherapy might not be considered a therapeutic option for patients with active EGPA in whom corticosteroids are initially indicated.

摘要

嗜酸性粒细胞在嗜酸性肉芽肿性多血管炎(EGPA)的发病机制中起重要作用。长期以来,EGPA一直采用全身糖皮质激素和免疫抑制剂治疗。然而,近年来,靶向嗜酸性粒细胞的生物制剂(抗IL-5抗体;美泊利单抗)也被使用。关于使用贝那利珠单抗(一种通过抗体依赖性细胞介导的细胞毒性作用消耗嗜酸性粒细胞的抗IL-5受体α单克隆抗体)有效性的证据越来越多。贝那利珠单抗被用作EGPA的一种减少激素用量的治疗选择。临床研究评估了美泊利单抗或贝那利珠单抗与糖皮质激素联合用于治疗EGPA的效果。然而,迄今为止,尚无单独使用生物制剂的报道。在此,我们描述了一例对贝那利珠单抗单药治疗难治的活动性EGPA患者的病例。该患者住院期间给予糖皮质激素治疗后症状有显著改善。对于最初需要使用糖皮质激素的活动性EGPA患者,贝那利珠单抗单药治疗可能不是一个治疗选择。

https://cdn.ncbi.nlm.nih.gov/pmc/blobs/c6b3/9637965/1d8e3041bcfe/gr1.jpg

文献AI研究员

20分钟写一篇综述,助力文献阅读效率提升50倍。

立即体验

用中文搜PubMed

大模型驱动的PubMed中文搜索引擎

马上搜索

文档翻译

学术文献翻译模型,支持多种主流文档格式。

立即体验