Suppr超能文献

MJM60958 通过调节脂代谢、炎症和肠道微生物群缓解高脂肪饮食诱导的非酒精性脂肪肝病。

MJM60958 as a Potential Probiotic Alleviated Non-Alcoholic Fatty Liver Disease in Mice Fed a High-Fat Diet by Modulating Lipid Metabolism, Inflammation, and Gut Microbiota.

机构信息

Interdisciplinary Program of Biomodulation, Myongji University, Yongin 17058, Korea.

Myongji Bioefficacy Research Center, Myongji University, Yongin 17058, Korea.

出版信息

Int J Mol Sci. 2022 Nov 3;23(21):13436. doi: 10.3390/ijms232113436.

Abstract

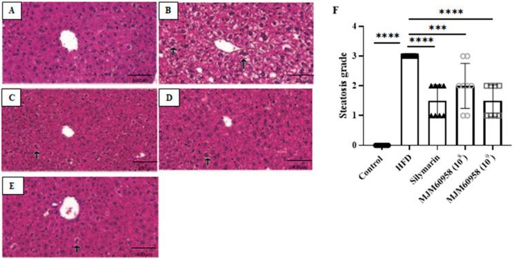
Non-alcoholic fatty liver disease (NAFLD) is a common liver disease with a rapidly increasing number of cases worldwide. This study aimed to evaluate the effects of MJM60958 (MJM60958) on NAFLD in vitro and in vivo. In in vitro tests, MJM60958 significantly inhibited lipid accumulation by 46.79% in HepG2 cells stimulated with oleic acid and cholesterol (OA-C). Moreover, MJM60958 showed safe and probiotic characteristics in vitro. In the animal study, MJM60958 administration in a high-fat diet-induced NAFLD mouse model significantly reduced body weight and liver weight, and controlled aspartate aminotransferase (ALT), aspartate transaminase (AST), triglyceride (TG), urea nitrogen (BUN), and uric acid (UA) levels in the blood, which are features of NAFLD. Further, treatment with MJM60958 also reduced steatosis scores in liver tissues, serum leptin and interleukin, and increased serum adiponectin content. Moreover, administration of MJM60958 resulted in a significantly decreased expression of some genes and proteins which are related to lipid accumulation, such as fatty acid synthase (FAS), acetyl-CoA carboxylase (ACC), and sterol regulatory element-binding protein 1 (SREBP-1), and also upregulated genes and protein expression of lipid oxidation such as peroxisome proliferator-activated receptor alpha (PPARα) and carnitine palmitoyltransferase 1a (CPT1A). Administration of MJM60958 increased the relative abundance of specific microbial taxa such as Verrucomicrobia, which are abundant in non-NAFLD mice, and reduced Firmicutes, which are a major group in NAFLD mice. MJM60958 affected the modulation of gut microbiota and altered the strain profile of short-chain fatty acids (SCFAs) production in the cecum by reduced lactic acid and enhanced acetic acid production. Overall, MJM60958 showed potential as a probiotic that can prevent and treat NAFLD.

摘要

非酒精性脂肪性肝病(NAFLD)是一种常见的肝脏疾病,全球病例数量迅速增加。本研究旨在评估 MJM60958(MJM60958)在体外和体内对 NAFLD 的影响。在体外试验中,MJM60958 显著抑制了油酸和胆固醇(OA-C)刺激的 HepG2 细胞中 46.79%的脂质积累。此外,MJM60958 在体外具有安全和益生菌的特征。在动物研究中,MJM60958 在高脂肪饮食诱导的 NAFLD 小鼠模型中的给药显著降低了体重和肝重,并控制了天冬氨酸氨基转移酶(ALT)、丙氨酸氨基转移酶(AST)、甘油三酯(TG)、尿素氮(BUN)和尿酸(UA)在血液中的水平,这些都是 NAFLD 的特征。此外,MJM60958 的治疗还降低了肝组织中的脂肪变性评分、血清瘦素和白细胞介素,并增加了血清脂联素含量。此外,MJM60958 的给药导致与脂质积累相关的一些基因和蛋白质的表达显著降低,如脂肪酸合酶(FAS)、乙酰辅酶 A 羧化酶(ACC)和固醇调节元件结合蛋白 1(SREBP-1),同时也上调了脂质氧化相关的基因和蛋白质表达,如过氧化物酶体增殖物激活受体α(PPARα)和肉碱棕榈酰转移酶 1a(CPT1A)。MJM60958 增加了某些微生物类群的相对丰度,如疣微菌门,在非 NAFLD 小鼠中丰富,减少了厚壁菌门,在 NAFLD 小鼠中是主要群体。MJM60958 影响了肠道微生物群的调节,并通过减少乳酸和增强乙酸的产生来改变盲肠短链脂肪酸(SCFA)产生的菌株谱。总的来说,MJM60958 作为一种益生菌具有预防和治疗 NAFLD 的潜力。

https://cdn.ncbi.nlm.nih.gov/pmc/blobs/6533/9658623/f8631b37fdae/ijms-23-13436-g001.jpg

文献AI研究员

20分钟写一篇综述,助力文献阅读效率提升50倍。

立即体验

用中文搜PubMed

大模型驱动的PubMed中文搜索引擎

马上搜索

文档翻译

学术文献翻译模型,支持多种主流文档格式。

立即体验