Suppr超能文献

青光眼诊断与治疗的最新进展

Updates on the Diagnosis and Management of Glaucoma.

作者信息

Wagner Isabella V, Stewart Michael W, Dorairaj Syril K

机构信息

Department of Ophthalmology, Mayo Clinic School of Medicine, Jacksonville, FL.

出版信息

Mayo Clin Proc Innov Qual Outcomes. 2022 Nov 16;6(6):618-635. doi: 10.1016/j.mayocpiqo.2022.09.007. eCollection 2022 Dec.

Abstract

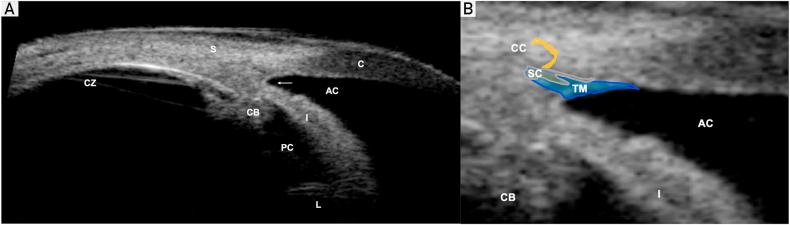
Glaucoma is the leading cause of blindness throughout the world (after cataracts); therefore, general physicians should be familiar with the diagnosis and management of affected patients. Glaucomas are usually categorized by the anatomy of the anterior chamber angle (open vs narrow/closed), rapidity of onset (acute vs chronic), and major etiology (primary vs secondary). Most glaucomas are primary (ie, without a contributing comorbidity); however, several coexisting ophthalmic conditions may serve as the underlying etiologies of secondary glaucomas. Chronic glaucoma occurs most commonly; thus, regular eye examinations should be performed in at-risk patients to prevent the insidious loss of vision that can develop before diagnosis. Glaucoma damages the optic nerve and retinal nerve fiber layer, leading to peripheral and central visual field defects. Elevated intraocular pressure (IOP), a crucial determinant of disease progression, remains the only modifiable risk factor; thus, all current treatments (medications, lasers, and operations) aim to reduce the IOP. Pharmacotherapy is the usual first-line therapy, but noncompliance, undesirable adverse effects, and cost limit effectiveness. Laser and surgical treatments may lower IOP significantly over long periods and may be more cost effective than pharmacotherapy, but they are plagued by greater procedural risks and frequent treatment failures. Traditional incisional procedures have recently been replaced by several novel, minimally invasive glaucoma surgeries with improved safety profiles and only minimal decreases in efficacy. Minimally invasive glaucoma surgeries have dramatically transformed the surgical management of glaucoma; nevertheless, large, randomized trials are required to assess their long-term efficacy.

摘要

青光眼是全球失明的主要原因(仅次于白内障);因此,普通内科医生应熟悉青光眼患者的诊断和治疗。青光眼通常根据前房角解剖结构(开角型与窄角/闭角型)、发病速度(急性与慢性)以及主要病因(原发性与继发性)进行分类。大多数青光眼是原发性的(即没有相关合并症);然而,几种并存的眼科疾病可能是继发性青光眼的潜在病因。慢性青光眼最为常见;因此,应对高危患者进行定期眼部检查,以防止在诊断前出现隐匿性视力丧失。青光眼会损害视神经和视网膜神经纤维层,导致周边和中央视野缺损。眼内压升高是疾病进展的关键决定因素,仍然是唯一可改变的风险因素;因此,目前所有的治疗方法(药物、激光和手术)都旨在降低眼内压。药物治疗通常是一线治疗方法,但患者依从性差、不良副作用以及成本限制了其有效性。激光和手术治疗可能会在长期内显著降低眼内压,并且可能比药物治疗更具成本效益,但它们存在更大的手术风险和频繁的治疗失败问题。传统的切开手术最近已被几种新型的微创青光眼手术所取代,这些手术具有更好的安全性,疗效仅略有下降。微创青光眼手术极大地改变了青光眼的手术治疗方式;然而,需要进行大型随机试验来评估其长期疗效。

https://cdn.ncbi.nlm.nih.gov/pmc/blobs/7e09/9673042/acb20d5d482b/gr1.jpg

文献AI研究员

20分钟写一篇综述,助力文献阅读效率提升50倍。

立即体验

用中文搜PubMed

大模型驱动的PubMed中文搜索引擎

马上搜索

文档翻译

学术文献翻译模型,支持多种主流文档格式。

立即体验