Suppr超能文献

一名接受异基因移植的成年急性淋巴细胞白血病患者发生孤立性肾脏复发。

Isolated Renal Relapse in a Post-Allogenic Transplant Adult Patient With Acute Lymphoblastic Leukemia.

作者信息

Jimenez-Ochoa Marco Alejandro, Contreras-Serratos Maria Margarita, Gonzalez-Bautista Martha Leticia, Lopez-Macias Constantino, Lozano-Jaramillo Diego Alberto

机构信息

Instituto Mexicano del Seguro Social, Centro Medico Nacional Siglo XXI, Hospital de Especialidades, Unidad de Trasplante de Medula Osea, Mexico City, Mexico.

Instituto Mexicano del Seguro Social, Centro Medico Nacional Siglo XXI, Hospital de Especialidades, Unidad de Investigacion Medica en Inmunoquimica, Mexico City, Mexico.

出版信息

J Med Cases. 2022 Oct;13(10):499-503. doi: 10.14740/jmc4003. Epub 2022 Oct 31.

Abstract

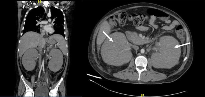
Acute lymphoblastic leukemia (ALL) is an aggressive hematological neoplasm typically more common in children than adults. More prolonged remissions and a potential cure can be achieved if allogeneic hematopoietic stem cell transplantation (allo-HSCT) is performed. Outcomes after allo-HSCT vary significantly among patients, and multiple factors contribute to these outcomes. Isolated extramedullary relapse (iEMR) after allo-HSCT is rare. We present the case of a 43-year-old man who was diagnosed with Philadelphia chromosome-negative (Ph-neg), B-cell ALL and underwent haploidentical allo-HSCT because of high-risk features at diagnosis. One year later, he was admitted to the hospital with facial and peripheral edema, proteinuria, elevated serum creatinine levels, and hypertension. Renal biopsy was performed immediately. Renal infiltration of TdT+ leukemic cells was detected by immunohistochemistry. Bone marrow aspiration, lumbar puncture, and computed tomography (CT) scans were performed to identify other sites of possible relapse. No other sites were identified, and an extramedullary isolated renal relapse was diagnosed. Intensive re-induction with chemotherapy was not possible because of the coronavirus disease 2019 (COVID-19) infection. Six weeks later, a medullary relapse was noted. Medullary infiltration of B-cell ALL after allo-HSCT has a historically poor prognosis; however, iEMR appears to have a better overall prognosis. The optimal treatment for renal iEMR is still a matter of debate.

摘要

急性淋巴细胞白血病(ALL)是一种侵袭性血液肿瘤,通常在儿童中比成人更常见。如果进行异基因造血干细胞移植(allo-HSCT),可以实现更长时间的缓解并有可能治愈。allo-HSCT后的结果在患者之间差异很大,多种因素导致了这些结果。allo-HSCT后孤立性髓外复发(iEMR)很少见。我们报告了一例43岁男性病例,他被诊断为费城染色体阴性(Ph-neg)B细胞ALL,因诊断时具有高危特征而接受了单倍体相合allo-HSCT。一年后,他因面部和外周水肿、蛋白尿、血清肌酐水平升高和高血压入院。立即进行了肾活检。通过免疫组织化学检测到TdT+白血病细胞的肾脏浸润。进行了骨髓穿刺、腰椎穿刺和计算机断层扫描(CT)以确定其他可能复发的部位。未发现其他部位,诊断为孤立性髓外肾脏复发。由于2019冠状病毒病(COVID-19)感染,无法进行强化化疗再诱导。六周后,发现髓内复发。allo-HSCT后B细胞ALL的髓内浸润历来预后较差;然而,iEMR似乎总体预后较好。肾脏iEMR的最佳治疗方法仍存在争议。

https://cdn.ncbi.nlm.nih.gov/pmc/blobs/8897/9635765/9b4577611dfc/jmc-13-499-g001.jpg

文献AI研究员

20分钟写一篇综述,助力文献阅读效率提升50倍。

立即体验

用中文搜PubMed

大模型驱动的PubMed中文搜索引擎

马上搜索

文档翻译

学术文献翻译模型,支持多种主流文档格式。

立即体验