Suppr超能文献

放疗联合 CD47 阻断可引发巨噬细胞介导的远隔效应。

Radiotherapy in combination with CD47 blockade elicits a macrophage-mediated abscopal effect.

机构信息

Department of Radiation Oncology, Stanford University, Stanford, CA, USA.

Department of Pediatrics, Stanford University, Stanford, CA, USA.

出版信息

Nat Cancer. 2022 Nov;3(11):1351-1366. doi: 10.1038/s43018-022-00456-0. Epub 2022 Nov 21.

Abstract

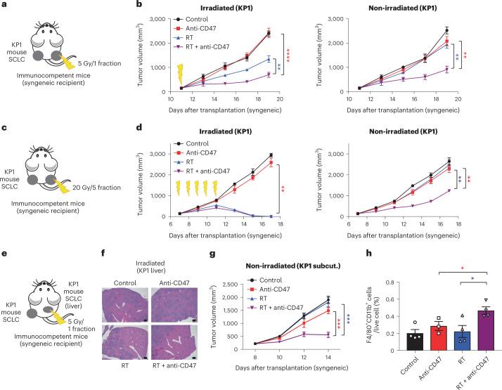
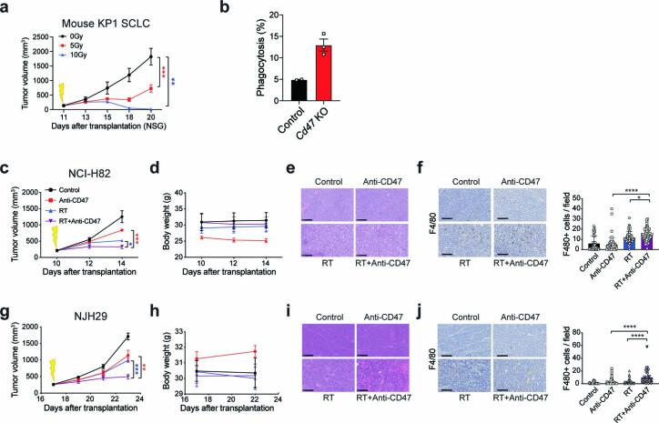
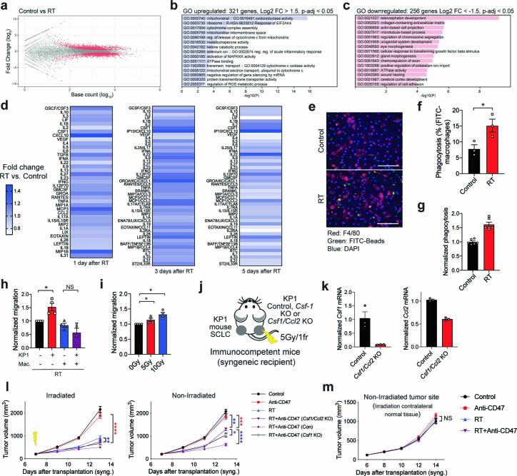
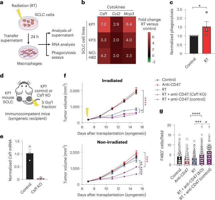
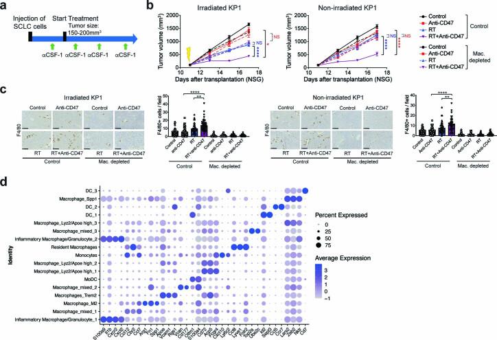
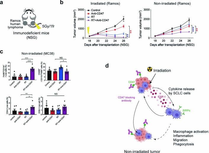
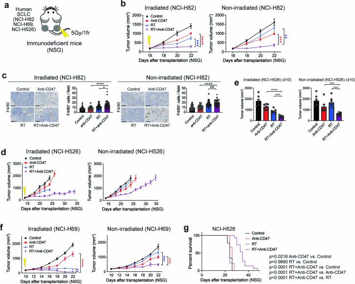
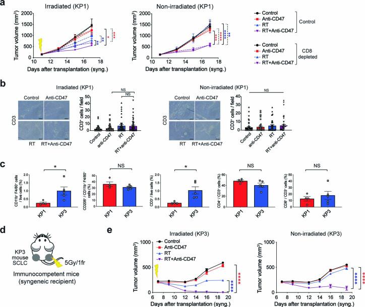
Radiation therapy is a mainstay of cancer treatment but does not always lead to complete tumor regression. Here we combine radiotherapy with blockade of the 'don't-eat-me' cell-surface molecule CD47 in small cell lung cancer (SCLC), a highly metastatic form of lung cancer. CD47 blockade potently enhances the local antitumor effects of radiotherapy in preclinical models of SCLC. Notably, CD47 blockade also stimulates off-target 'abscopal' effects inhibiting non-irradiated SCLC tumors in mice receiving radiation. These abscopal effects are independent of T cells but require macrophages that migrate into non-irradiated tumor sites in response to inflammatory signals produced by radiation and are locally activated by CD47 blockade to phagocytose cancer cells. Similar abscopal antitumor effects were observed in other cancer models treated with radiation and CD47 blockade. The systemic activation of antitumor macrophages following radiotherapy and CD47 blockade may be particularly important in patients with cancer who suffer from metastatic disease.

摘要

放射疗法是癌症治疗的主要手段,但并不总是能导致肿瘤完全消退。在这里,我们将放射疗法与阻断“别吃我”细胞表面分子 CD47 联合用于小细胞肺癌(SCLC),这是一种高度转移性肺癌。在 SCLC 的临床前模型中,CD47 阻断可显著增强放射治疗的局部抗肿瘤作用。值得注意的是,CD47 阻断还会刺激非靶向的“远隔”效应,抑制接受放射治疗的小鼠中未受照射的 SCLC 肿瘤。这些远隔效应不依赖于 T 细胞,但需要巨噬细胞迁移到受照射肿瘤部位,以响应放射产生的炎症信号,并通过 CD47 阻断在局部被激活以吞噬癌细胞。在接受放射治疗和 CD47 阻断治疗的其他癌症模型中也观察到了类似的远隔抗肿瘤效应。放射治疗和 CD47 阻断后系统激活抗肿瘤巨噬细胞,在患有转移性疾病的癌症患者中可能特别重要。

https://cdn.ncbi.nlm.nih.gov/pmc/blobs/6416/9701141/828bf3091650/43018_2022_456_Fig1_HTML.jpg

文献AI研究员

20分钟写一篇综述,助力文献阅读效率提升50倍。

立即体验

用中文搜PubMed

大模型驱动的PubMed中文搜索引擎

马上搜索

文档翻译

学术文献翻译模型,支持多种主流文档格式。

立即体验