Suppr超能文献

总黄酮对罗非鱼()肝脏损伤的保护作用 。 你提供的原文中“in Tilapia ()”括号部分内容不完整,请补充完整以便更准确翻译。

Protective Effects of Total Flavones on Liver Injury Induced by in Tilapia ().

作者信息

Du Jinliang, Cao Liping, Gao Jiancao, Jia Rui, Zhu Haojun, Nie Zhijuan, Xi Bingwen, Yin Guojun, Ma Yuzhong, Xu Gangchun

机构信息

Key Laboratory of Integrated Rice-Fish Farming Ecology, Ministry of Agriculture and Rural Affairs, Freshwater Fisheries Research Center, Chinese Academy of Fishery Sciences, Wuxi 214081, China.

College of Veterinary Medicine, Agricultural University of Hebei, Baoding 071001, China.

出版信息

Antibiotics (Basel). 2022 Nov 18;11(11):1648. doi: 10.3390/antibiotics11111648.

Abstract

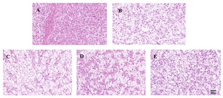
Clinical studies have confirmed that total flavones (GTFs) have good anti-hepatic injury, but whether they have a good protective effect on anti-hepatic injury activity induced by in tilapia () is unknown. The aims of this study were to investigate the protective effects of total flavones on liver injury induced by (SA) and its underlying mechanism in fish. A total of 150 tilapia were randomly divided into five groups, each with three replicates containing 10 fish: normal control group, infection group, and three total flavone treatment groups (addition of 0.1, 0.5, or 1.0 g of GTF to 1 kg of feed). The normal control group was only fed with basic diet, after 60 d of feeding, and intraperitoneal injection of the same volume of normal saline (0.05 mL/10 g body weight); the infection group was fed with basic diet, and the solution was intraperitoneally injected after 60 d of feeding (0.05 mL/10 g body weight); the three GTF treatment groups were fed with a diet containing 0.1, 0.5, or 1.0 g/kg of GTF, and the solution was intraperitoneally injected after 60 d of feeding (0.05 mL/10 g body weight). After 48 h injection, blood and liver tissues were collected to measure biochemical parameters and mRNA levels to evaluate the liver protection of GTFs. Compared with the control group, the serum levels of glutamic oxaloacetic transaminase (GOT), glutamic pyruvic transaminase (GPT), alkaline phosphatase (AKP) and glucose (GLU) in the streptococcal infection group increased significantly, while the levels of total antioxidant capacity (T-AOC), superoxide dismutase (SOD), catalase (CAT) and reduced glutathione (GSH) decreased significantly; observations of pathological sections showed obvious damage to the liver tissue structure in response to streptococcal infection. can also cause fatty liver injury, affecting the function of fatty acid β-oxidation and biosynthesis in the liver of tilapia, and also causing damage to function of the immune system. The addition of GTFs to the diet could improve oxidative stress injury caused by in tilapia liver tissue to different degrees, promote the β-oxidation of fatty acids in the liver, accelerate the lipid metabolism in the liver, and repair the damaged liver tissue. GTFs have a good protective effect on liver injury caused by streptococcus.

摘要

临床研究已证实总黄酮(GTFs)具有良好的抗肝损伤作用,但它们对罗非鱼()诱导的抗肝损伤活性是否具有良好的保护作用尚不清楚。本研究旨在探讨总黄酮对罗非鱼由(SA)诱导的肝损伤的保护作用及其潜在机制。总共150尾罗非鱼随机分为五组,每组三个重复,每组10尾鱼:正常对照组、感染组和三个总黄酮处理组(每1千克饲料中添加0.1、0.5或1.0克GTF)。正常对照组仅投喂基础饲料,投喂60天后,腹腔注射相同体积的生理盐水(0.05毫升/10克体重);感染组投喂基础饲料,投喂60天后腹腔注射溶液(0.05毫升/10克体重);三个GTF处理组投喂含0.1、0.5或1.0克/千克GTF的饲料,投喂60天后腹腔注射溶液(0.05毫升/10克体重)。注射48小时后,采集血液和肝脏组织以测量生化参数和mRNA水平,以评估GTFs对肝脏的保护作用。与对照组相比,链球菌感染组血清中的谷草转氨酶(GOT)、谷丙转氨酶(GPT)、碱性磷酸酶(AKP)和葡萄糖(GLU)水平显著升高,而总抗氧化能力(T-AOC)、超氧化物歧化酶(SOD)、过氧化氢酶(CAT)和还原型谷胱甘肽(GSH)水平显著降低;病理切片观察显示,链球菌感染导致肝脏组织结构明显受损。还可引起脂肪肝损伤,影响罗非鱼肝脏中脂肪酸β-氧化和生物合成的功能,还会对免疫系统功能造成损害。在饲料中添加GTFs可不同程度地改善罗非鱼肝脏组织由引起的氧化应激损伤,促进肝脏中脂肪酸的β-氧化,加速肝脏中的脂质代谢,并修复受损的肝脏组织。GTFs对链球菌引起的肝损伤具有良好的保护作用。

https://cdn.ncbi.nlm.nih.gov/pmc/blobs/3f1c/9686810/b75afc76f71d/antibiotics-11-01648-g001.jpg

文献AI研究员

20分钟写一篇综述,助力文献阅读效率提升50倍。

立即体验

用中文搜PubMed

大模型驱动的PubMed中文搜索引擎

马上搜索

文档翻译

学术文献翻译模型,支持多种主流文档格式。

立即体验