Suppr超能文献

小鼠单侧纹状体内6-羟基多巴胺损伤模型后运动功能的纵向评估

Longitudinal assessment of motor function following the unilateral intrastriatal 6-hydroxydopamine lesion model in mice.

作者信息

Sun Xiuping, Li Xianglei, Zhang Ling, Zhang Yu, Qi Xiaolong, Wang Siyuan, Qin Chuan

机构信息

National Health Commission Key Laboratory of Human Disease Comparative Medicine, Beijing Engineering Research Center for Experimental Animal Models of Human Critical Diseases, National Center of Technology Innovation for Animal Model, Institute of Laboratory Animal Sciences, Chinese Academy of Medical Sciences (CAMS) & Peking Union Medical College (PUMC), Beijing, China.

Changping National Laboratory (CPNL), Beijing, China.

出版信息

Front Behav Neurosci. 2022 Nov 24;16:982218. doi: 10.3389/fnbeh.2022.982218. eCollection 2022.

Abstract

INTRODUCTION

Despite the widespread use of the unilateral striatal 6-hydroxydopamine (6-OHDA) lesion model in mice in recent years, the stability of behavioral deficits in the 6-OHDA striatal mouse model over time is not yet clear, raising concerns about using this model to evaluate a compound's long-term therapeutic effects.

MATERIALS AND METHODS

In the current study, mice were tested at regular intervals in the cylinder test and gait analysis beginning 3 days after 6-OHDA injection of 4 and 8 μg and lasting until 56 days post-lesion. Apomorphine-induced rotational test and rotarod test were also performed on Day 23 and 43 post-lesion, respectively. Immunohistochemistry for dopaminergic neurons stained by tyrosine hydroxylase (TH) was also performed.

RESULTS

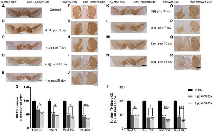
Our results showed that both the 4 and 8 μg 6-OHDA lesion groups exhibited forelimb use asymmetry with a preference for the ipsilateral (injection) side on Day 3 and until Day 21 post-lesion, but did not show forelimb asymmetry on Day 28 to 56 post-lesion. The 8 μg 6-OHDA lesion group still exhibited forelimb asymmetry on Day 28 and 42 post-lesion, but not on Day 56. The gait analysis showed that the contralateral front and hind step cycles increased from Day 3 to 42 post-lesion and recovered on Day 56 post-lesion. In addition, our results displayed a dose-dependent reduction in TH cells and TH fibers, as well as dose-dependent apomorphine-induced rotations. In the rotarod test, the 8 μg 6-OHDA lesion group, but not the 4 μg group, decreased the latency to fall on the rotarod on Day 43 post-lesion.

CONCLUSION

In summary, unilateral striatal 6-OHDA injections of 4 and 8 μg induced spontaneous motor impairment in mice, which partially recovered starting on Day 28 post-lesion. Forced motor deficits were observed in the 8 g 6-OHDA lesion group, which remained stable on Day 43 post-lesion. In addition, the rotarod test and apomorphine-induced rotational test can distinguish between lesions of different extents and are useful tools for the assessment of functional recovery in studies screening novel potential therapies.

摘要

引言

尽管近年来单侧纹状体6-羟基多巴胺(6-OHDA)损伤模型在小鼠中得到广泛应用,但6-OHDA纹状体小鼠模型中行为缺陷随时间的稳定性尚不清楚,这引发了对使用该模型评估化合物长期治疗效果的担忧。

材料与方法

在本研究中,小鼠在注射4μg和8μg 6-OHDA后3天开始,定期进行圆筒试验和步态分析,持续至损伤后56天。在损伤后第23天和第43天分别进行阿扑吗啡诱导的旋转试验和转棒试验。还进行了酪氨酸羟化酶(TH)染色的多巴胺能神经元免疫组织化学分析。

结果

我们的结果表明,4μg和8μg 6-OHDA损伤组在损伤后第3天至第21天均表现出前肢使用不对称,偏好同侧(注射)侧,但在损伤后第28天至第56天未表现出前肢不对称。8μg 6-OHDA损伤组在损伤后第28天和第42天仍表现出前肢不对称,但在第56天未出现。步态分析表明,对侧前肢和后肢步周期从损伤后第3天至第42天增加,并在损伤后第56天恢复。此外,我们的结果显示TH细胞和TH纤维呈剂量依赖性减少,以及阿扑吗啡诱导的旋转呈剂量依赖性。在转棒试验中,8μg 6-OHDA损伤组在损伤后第43天缩短了在转棒上掉落的潜伏期,而4μg组未出现。

结论

总之,单侧纹状体注射4μg和8μg 6-OHDA可诱导小鼠自发运动障碍,从损伤后第28天开始部分恢复。在8μg 6-OHDA损伤组中观察到强迫性运动缺陷,在损伤后第43天保持稳定。此外,转棒试验和阿扑吗啡诱导的旋转试验可以区分不同程度的损伤,是筛选新型潜在疗法研究中评估功能恢复的有用工具。

https://cdn.ncbi.nlm.nih.gov/pmc/blobs/d70f/9730519/bc4681bb0052/fnbeh-16-982218-g001.jpg

文献AI研究员

20分钟写一篇综述,助力文献阅读效率提升50倍。

立即体验

用中文搜PubMed

大模型驱动的PubMed中文搜索引擎

马上搜索

文档翻译

学术文献翻译模型,支持多种主流文档格式。

立即体验