Suppr超能文献

靶向髓系细胞凝血信号可阻断 MAP 激酶/TGF-β1 驱动的缺血性心力衰竭中的纤维性重塑。

Targeting myeloid cell coagulation signaling blocks MAP kinase/TGF-β1-driven fibrotic remodeling in ischemic heart failure.

机构信息

Center for Thrombosis and Hemostasis and.

Department of Cardiology, University Medical Center Mainz, Mainz, Germany.

出版信息

J Clin Invest. 2023 Feb 15;133(4):e156436. doi: 10.1172/JCI156436.

Abstract

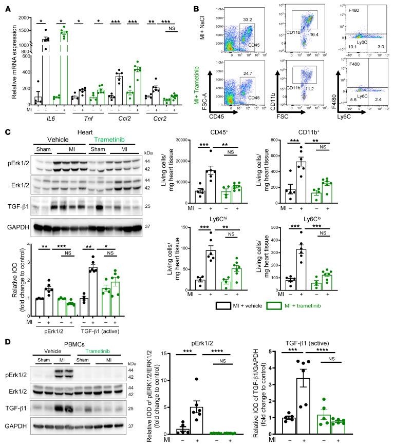
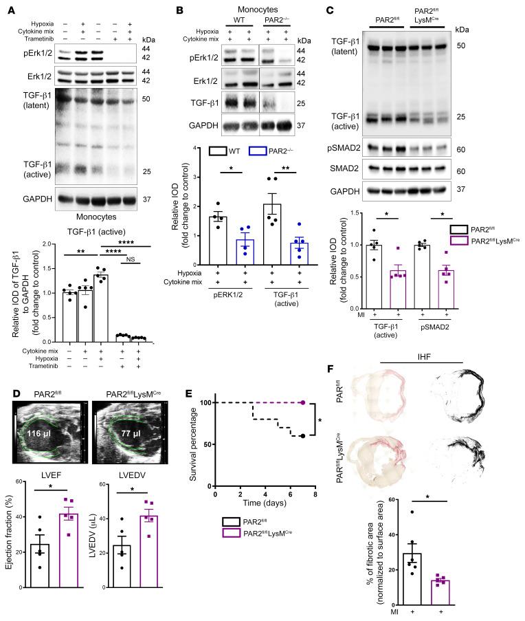
Despite major advances in acute interventions for myocardial infarction (MI), adverse cardiac remodeling and excess fibrosis after MI causing ischemic heart failure (IHF) remain a leading cause of death worldwide. Here we identify a profibrotic coagulation signaling pathway that can be targeted for improved cardiac function following MI with persistent ischemia. Quantitative phosphoproteomics of cardiac tissue revealed an upregulated mitogen-activated protein kinase (MAPK) pathway in human IHF. Intervention in this pathway with trametinib improves myocardial function and prevents fibrotic remodeling in a murine model of non-reperfused MI. MAPK activation in MI requires myeloid cell signaling of protease-activated receptor 2 linked to the cytoplasmic domain of the coagulation initiator tissue factor (TF). They act upstream of pro-oxidant NOX2 NADPH oxidase, ERK1/2 phosphorylation, and activation of profibrotic TGF-β1. Specific targeting with the TF inhibitor nematode anticoagulant protein c2 (NAPc2) starting 1 day after established experimental MI averts IHF. Increased TF cytoplasmic domain phosphorylation in circulating monocytes from patients with subacute MI identifies a potential thromboinflammatory biomarker reflective of increased risk for IHF and suitable for patient selection to receive targeted TF inhibition therapy.

摘要

尽管在心肌梗死 (MI) 的急性干预方面取得了重大进展,但 MI 后导致缺血性心力衰竭 (IHF) 的不良心脏重构和过度纤维化仍然是全球死亡的主要原因。在这里,我们发现了一种促纤维化的凝血信号通路,该通路可在持续缺血的 MI 后靶向改善心脏功能。心脏组织的定量磷酸化蛋白质组学显示,人类 IHF 中存在上调的丝裂原活化蛋白激酶 (MAPK) 通路。在非再灌注 MI 的小鼠模型中,用 trametinib 干预该通路可改善心肌功能并预防纤维化重构。MI 中的 MAPK 激活需要与凝血起始因子组织因子 (TF) 的细胞质结构域相连的髓样细胞信号传导的蛋白酶激活受体 2。它们位于促氧化剂 NOX2 NADPH 氧化酶、ERK1/2 磷酸化和促纤维化 TGF-β1 激活的上游。在实验性 MI 建立 1 天后,用 TF 抑制剂线虫抗凝蛋白 c2 (NAPc2) 进行特异性靶向治疗可避免 IHF。来自亚急性 MI 患者的循环单核细胞中 TF 细胞质结构域磷酸化增加,这表明存在潜在的血栓炎症生物标志物,反映出 IHF 风险增加,适合接受靶向 TF 抑制治疗的患者选择。

https://cdn.ncbi.nlm.nih.gov/pmc/blobs/7dcb/9927945/784934b0ac3d/jci-133-156436-g146.jpg

文献AI研究员

20分钟写一篇综述,助力文献阅读效率提升50倍。

立即体验

用中文搜PubMed

大模型驱动的PubMed中文搜索引擎

马上搜索

文档翻译

学术文献翻译模型,支持多种主流文档格式。

立即体验