Suppr超能文献

致癌基因通过细胞外信号调节激酶诱导小胶质细胞增殖,并通过c-Jun氨基末端激酶诱导神经元死亡。

Oncogenic induces microglial proliferation through extracellular signal-regulated kinase and neuronal death through c-Jun N-terminal kinase.

作者信息

Ye Qing, Srivastava Pranay, Al-Kuwari Nasser, Chen Xiqun

机构信息

Department of Neurology, Massachusetts General Hospital, Harvard Medical School, Charlestown, MA, USA; Department of Neurology, Longhua Hospital, Shanghai University of Traditional Chinese Medicine, Shanghai, China.

Department of Neurology, Massachusetts General Hospital, Harvard Medical School, Charlestown, MA; Aligning Science Across Parkinson's (ASAP) Collaborative Research Network, Chevy Chase, MD, USA.

出版信息

Neural Regen Res. 2023 Jul;18(7):1613-1622. doi: 10.4103/1673-5374.361516.

Abstract

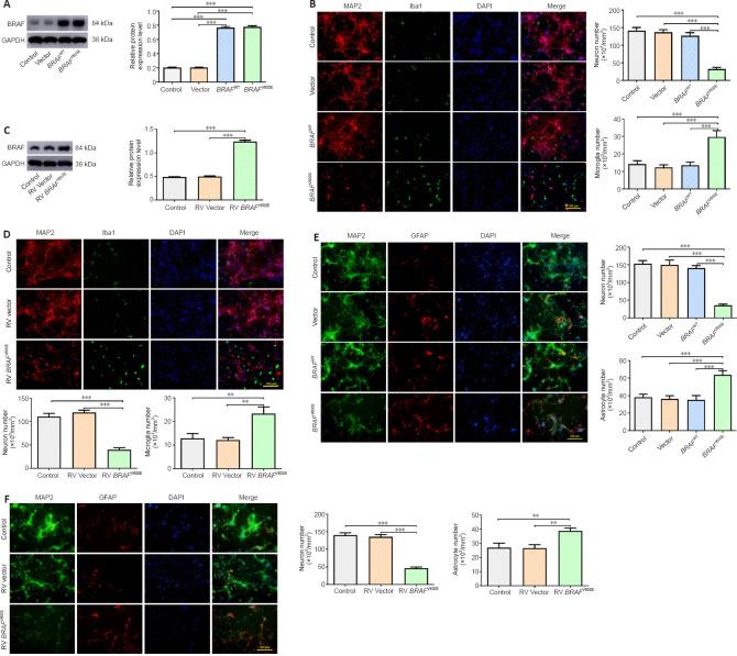
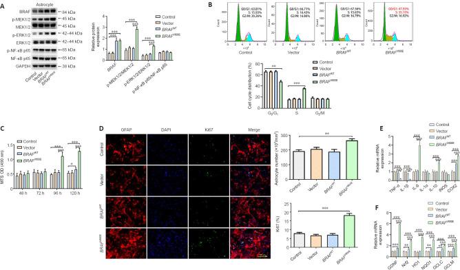
Activating V600E in v-Raf murine sarcoma viral oncogene homolog B (BRAF) is a common driver mutation in cancers of multiple tissue origins, including melanoma and glioma. BRAF has also been implicated in neurodegeneration. The present study aims to characterize BRAF during cell death and proliferation of three major cell types of the central nervous system: neurons, astrocytes, and microglia. Multiple primary cultures (primary cortical mixed culture) and cell lines of glial cells (BV2) and neurons (SH-SY5Y) were employed. BRAF and BRAF expression was mediated by lentivirus or retrovirus. Blockage of downstream effectors (extracellular signal-regulated kinase 1/2 and JNK1/2) were achieved by siRNA. In astrocytes and microglia, BRAF induces cell proliferation, and the proliferative effect in microglia is mediated by activated extracellular signal-regulated kinase, but not c-Jun N-terminal kinase. Conditioned medium from BRAF-expressing microglia induced neuronal death. In neuronal cells, BRAF directly induces neuronal death, through c-Jun N-terminal kinase but not extracellular signal-regulated kinase. We further show that BRAF-related genes are enriched in pathways in patients with Parkinson's disease. Our study identifies distinct consequences mediated by distinct downstream effectors in dividing glial cells and in neurons following the same BRAF mutational activation and a causal link between BRAF-activated microglia and neuronal cell death that does not require physical proximity. It provides insight into a possibly important role of BRAF in neurodegeneration as a result of either dysregulated BRAF in neurons or its impact on glial cells.

摘要

激活v-Raf鼠肉瘤病毒癌基因同源物B(BRAF)中的V600E是多种组织起源癌症的常见驱动突变,包括黑色素瘤和神经胶质瘤。BRAF也与神经退行性变有关。本研究旨在表征BRAF在中枢神经系统三种主要细胞类型(神经元、星形胶质细胞和小胶质细胞)的细胞死亡和增殖过程中的作用。使用了多种原代培养物(原代皮质混合培养物)以及胶质细胞(BV2)和神经元(SH-SY5Y)的细胞系。BRAF和BRAF表达由慢病毒或逆转录病毒介导。通过小干扰RNA实现对下游效应器(细胞外信号调节激酶1/2和JNK1/2)的阻断。在星形胶质细胞和小胶质细胞中,BRAF诱导细胞增殖,小胶质细胞中的增殖效应由激活的细胞外信号调节激酶介导,而非c-Jun氨基末端激酶。表达BRAF的小胶质细胞的条件培养基诱导神经元死亡。在神经元细胞中,BRAF通过c-Jun氨基末端激酶而非细胞外信号调节激酶直接诱导神经元死亡。我们进一步表明,BRAF相关基因在帕金森病患者的通路中富集。我们的研究确定了在相同BRAF突变激活后,不同下游效应器在分裂的胶质细胞和神经元中介导的不同后果,以及BRAF激活的小胶质细胞与神经元细胞死亡之间的因果联系,且这种联系不需要物理接触。它为BRAF在神经退行性变中可能发挥的重要作用提供了见解,这可能是由于神经元中BRAF失调或其对胶质细胞的影响所致。

https://cdn.ncbi.nlm.nih.gov/pmc/blobs/fc5d/10075110/9afef255f3d8/NRR-18-1613-g002.jpg

文献AI研究员

20分钟写一篇综述,助力文献阅读效率提升50倍。

立即体验

用中文搜PubMed

大模型驱动的PubMed中文搜索引擎

马上搜索

文档翻译

学术文献翻译模型,支持多种主流文档格式。

立即体验