Suppr超能文献

侵袭性肺炎球菌病与新型冠状病毒肺炎合并感染:重症监护病房收治的一系列病例

Invasive Pneumococcal Disease and COVID-19 Coinfection: A Series of Cases Admitted to an Intensive Care Unit.

作者信息

Almeida Manuel, Lavado Pedro, Cunha Lucie, Cordeiro Isa, Baptista Alexandre

机构信息

Intensive Care Unit, Centro Hospitalar Universitário do Algarve, Portimão, PRT.

出版信息

Cureus. 2022 Nov 25;14(11):e31876. doi: 10.7759/cureus.31876. eCollection 2022 Nov.

Abstract

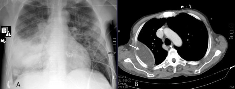
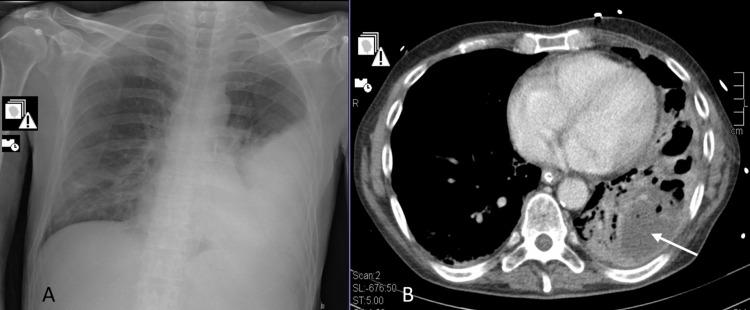
Pneumococcal infection is still a frequent disease. It can be classified as invasive when pneumococcus is isolated in a generally sterile fluid. Pneumonia is the most common infectious source of adult invasive pneumococcal disease (IPD), and several risk factors for IPD are well known. This case report presents three clinical cases of different manifestations of IPD. The two most severe cases had coinfection by SARS-CoV-2 at hospital admission.

摘要

肺炎球菌感染仍然是一种常见疾病。当在通常无菌的液体中分离出肺炎球菌时,可将其归类为侵袭性感染。肺炎是成人侵袭性肺炎球菌病(IPD)最常见的感染源,并且IPD的几种危险因素已为人熟知。本病例报告展示了IPD不同表现形式的三例临床病例。其中两例最严重的病例在入院时合并感染了SARS-CoV-2。

https://cdn.ncbi.nlm.nih.gov/pmc/blobs/c049/9790083/d1e7472ce264/cureus-0014-00000031876-i01.jpg

文献AI研究员

20分钟写一篇综述,助力文献阅读效率提升50倍。

立即体验

用中文搜PubMed

大模型驱动的PubMed中文搜索引擎

马上搜索

文档翻译

学术文献翻译模型,支持多种主流文档格式。

立即体验