Suppr超能文献

Par14 与雄激素受体相互作用,增强其转录活性和前列腺癌增殖。

Par14 interacts with the androgen receptor, augmenting both its transcriptional activity and prostate cancer proliferation.

机构信息

Department of Medical Chemistry, Graduate School of Biomedical and Health Sciences, Hiroshima University, Hiroshima, Hiroshima, Japan.

Department of Urology, Graduate School of Biomedical and Health Sciences, Hiroshima University, Hiroshima, Hiroshima, Japan.

出版信息

Cancer Med. 2023 Apr;12(7):8464-8475. doi: 10.1002/cam4.5587. Epub 2022 Dec 30.

Abstract

BACKGROUND

Prostate cancer (PCa) is a major cause of cancer morbidity and mortality for men globally, and androgen signaling clearly drives its onset and progression. Androgen receptor (AR) regulation is complex and remains elusive, despite several studies tackling these issues. Therefore, elucidating the mechanism(s) underlying AR regulation is a potentially promising approach to suppressing PCa.

METHODS

We report that Par14, one isoform of the prolyl isomerases homologous to Pin1, is a critical regulator of AR transcriptional activity and is essential for PCa cell growth.

RESULTS

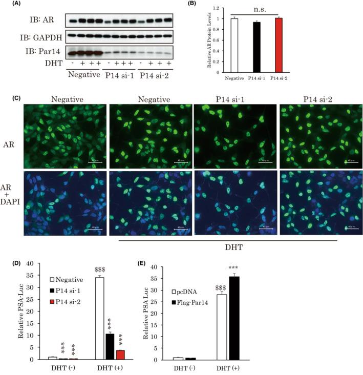
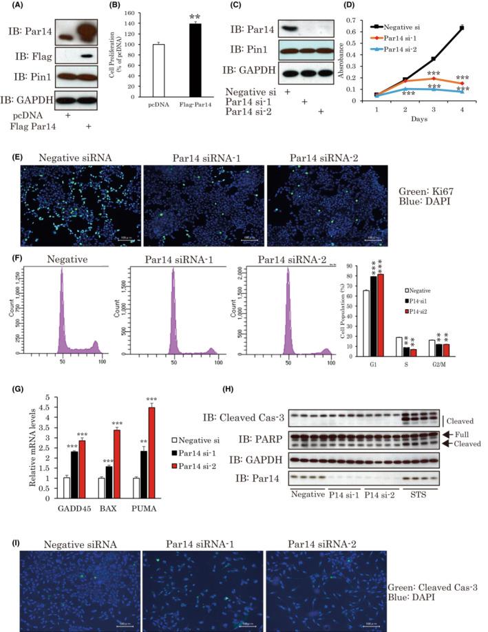
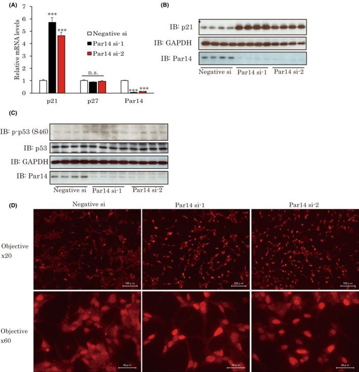
Par14 was shown to be overexpressed in PCa, based on analyses of deposited data. Importantly, overexpression of Par14 significantly enhanced androgen-sensitive LNCap cell growth. In contrast, silencing of Par14 dramatically decreased cell growth in LNCap cells by causing cell cycle arrest. Mechanistically, silencing of the Par14 gene dramatically induced cyclin-dependent kinase inhibitor p21 at both the mRNA and the protein level through modulating the localization of p53. In addition, suppression of Par14 in LNCap cells was shown to downregulate the expressions of androgen response genes, at both the mRNA and the protein level, induced by dihydrotestosterone. Par14 was shown to directly associate with AR in nuclei via its DNA-binding domain and augment AR transcriptional activity.

CONCLUSION

Thus, Par14 plays a critical role in PCa progression, and its enhancing effects on AR signaling are likely to be involved in the underlying molecular mechanisms. These findings suggest Par14 to be a promising therapeutic target for PCa.

摘要

背景

前列腺癌(PCa)是全球男性癌症发病率和死亡率的主要原因,雄激素信号明确驱动其发生和进展。尽管有几项研究探讨了这些问题,但雄激素受体(AR)的调节仍然很复杂,难以捉摸。因此,阐明 AR 调节的机制可能是抑制 PCa 的一种很有前途的方法。

方法

我们报告 Par14,一种与 Pin1 同源的脯氨酰异构酶同工型,是 AR 转录活性的关键调节因子,是 PCa 细胞生长所必需的。

结果

根据已发表数据的分析,Par14 在 PCa 中过表达。重要的是,Par14 的过表达显着增强了雄激素敏感的 LNCap 细胞的生长。相比之下,通过调节 p53 的定位,Par14 基因的沉默显着诱导了细胞周期停滞,从而导致 LNCap 细胞的生长急剧下降。在机制上,通过调节 p53 的定位,Par14 基因的沉默在 mRNA 和蛋白质水平上显着诱导细胞周期蛋白依赖性激酶抑制剂 p21 的表达。此外,在 LNCap 细胞中抑制 Par14 表达可下调二氢睾酮诱导的雄激素反应基因的 mRNA 和蛋白质水平的表达。Par14 被证明通过其 DNA 结合结构域直接与核内的 AR 结合,并增强 AR 转录活性。

结论

因此,Par14 在 PCa 进展中起着关键作用,其对 AR 信号的增强作用可能涉及潜在的分子机制。这些发现表明 Par14 可能成为治疗 PCa 的有前途的靶点。

https://cdn.ncbi.nlm.nih.gov/pmc/blobs/3805/10134346/4295d0cd4af8/CAM4-12-8464-g003.jpg

文献AI研究员

20分钟写一篇综述,助力文献阅读效率提升50倍。

立即体验

用中文搜PubMed

大模型驱动的PubMed中文搜索引擎

马上搜索

文档翻译

学术文献翻译模型,支持多种主流文档格式。

立即体验