Suppr超能文献

一种反向激动剂 GSK5182 通过抑制泛素化增加孤儿核受体 ERRγ 的蛋白稳定性。

An Inverse Agonist GSK5182 Increases Protein Stability of the Orphan Nuclear Receptor ERRγ via Inhibition of Ubiquitination.

机构信息

School of Biological Sciences and Technology, Chonnam National University, Gwangju 61186, Republic of Korea.

Department of Integrative Food, Bioscience and Biotechnology, Chonnam National University, Gwangju 61186, Republic of Korea.

出版信息

Int J Mol Sci. 2022 Dec 21;24(1):96. doi: 10.3390/ijms24010096.

Abstract

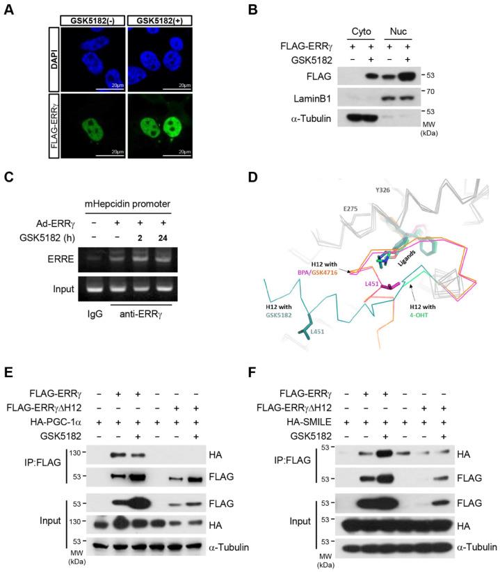
The orphan nuclear receptor, estrogen-related receptor γ (ERRγ) is a constitutively active transcription factor involved in mitochondrial metabolism and energy homeostasis. GSK5182, a specific inverse agonist of ERRγ that inhibits transcriptional activity, induces a conformational change in ERRγ, resulting in a loss of coactivator binding. However, the molecular mechanism underlying the stabilization of the ERRγ protein by its inverse agonist remains largely unknown. In this study, we found that GSK5182 inhibited ubiquitination of ERRγ, thereby stabilizing the ERRγ protein, using cell-based assays and confocal image analysis. Y326 of ERRγ was essential for stabilization by GSK5182, as ligand-induced stabilization of ERRγ was not observed with the ERRγ-Y326A mutant. GSK5182 suppressed ubiquitination of ERRγ by the E3 ligase Parkin and subsequent degradation. The inhibitory activity of GSK5182 was strong even when the ERRγ protein level was elevated, as ERRγ bound to GSK5182 recruited a corepressor, small heterodimer partner-interacting leucine zipper (SMILE), through the activation function 2 (AF-2) domain, without alteration of the nuclear localization or DNA-binding ability of ERRγ. In addition, the AF-2 domain of ERRγ was critical for the regulation of protein stability. Mutants in the AF-2 domain were present at higher levels than the wild type in the absence of GSK5182. Furthermore, the ERRγ-L449A/L451A mutant was no longer susceptible to GSK5182. Thus, the AF-2 domain of ERRγ is responsible for the regulation of transcriptional activity and protein stability by GSK5182. These findings suggest that GSK5182 regulates ERRγ by a unique molecular mechanism, increasing the inactive form of ERRγ via inhibition of ubiquitination.

摘要

孤儿核受体雌激素相关受体 γ(ERRγ)是一种组成型激活的转录因子,参与线粒体代谢和能量稳态。GSK5182 是 ERRγ 的特异性反向激动剂,可抑制转录活性,诱导 ERRγ构象发生变化,导致共激活因子结合丧失。然而,其反向激动剂稳定 ERRγ 蛋白的分子机制在很大程度上尚不清楚。在这项研究中,我们发现 GSK5182 通过细胞测定和共聚焦图像分析抑制 ERRγ 的泛素化,从而稳定 ERRγ 蛋白。ERRγ 的 Y326 对于 GSK5182 的稳定作用至关重要,因为用 ERRγ-Y326A 突变体观察不到配体诱导的 ERRγ 稳定。GSK5182 抑制 E3 连接酶 Parkin 介导的 ERRγ 泛素化和随后的降解。即使 ERRγ 蛋白水平升高,GSK5182 的抑制活性仍然很强,因为 ERRγ 与 GSK5182 结合通过激活功能 2(AF-2)结构域募集核心抑制因子小异二聚体伴侣相互作用亮氨酸拉链(SMILE),而不会改变 ERRγ 的核定位或 DNA 结合能力。此外,ERRγ 的 AF-2 结构域对于蛋白稳定性的调节至关重要。在没有 GSK5182 的情况下,AF-2 结构域的突变体比野生型存在的水平更高。此外,ERRγ-L449A/L451A 突变体不再对 GSK5182 敏感。因此,ERRγ 的 AF-2 结构域负责通过 GSK5182 调节转录活性和蛋白稳定性。这些发现表明,GSK5182 通过独特的分子机制调节 ERRγ,通过抑制泛素化增加 ERRγ 的无活性形式。

https://cdn.ncbi.nlm.nih.gov/pmc/blobs/4c97/9820335/a8c19a78c642/ijms-24-00096-g001.jpg

文献AI研究员

20分钟写一篇综述,助力文献阅读效率提升50倍。

立即体验

用中文搜PubMed

大模型驱动的PubMed中文搜索引擎

马上搜索

文档翻译

学术文献翻译模型,支持多种主流文档格式。

立即体验