Suppr超能文献

ω-3 脂肪酸与甲萘醌-7 联合应用有助于预防主动脉钙化,减少尿毒症大鼠骨破骨细胞面积和肌肉 Fox0 表达。

Omega-3 fatty acid and menaquinone-7 combination are helpful for aortic calcification prevention, reducing osteoclast area of bone and Fox0 expression of muscle in uremic rats.

机构信息

Department of Internal Medicine, College of Medicine, Dong-A University, Busan, Republic of Korea.

Department of Pathology, College of Medicine, Dong-A University, Busan, Republic of Korea.

出版信息

Ren Fail. 2022 Dec;44(1):1873-1885. doi: 10.1080/0886022X.2022.2142140.

Abstract

BACKGROUND

Osteopenia, sarcopenia, and vascular calcification (VC) are prevalent in patients with chronic kidney disease and often coexist. In the absence of proven therapies, it is necessary to develop therapeutic or preventive nutrients supplementation for osteopenia, sarcopenia, and VC. The present study investigated the effect of omega-3 fatty acid (FA) and menaquinone-7 (MK-7) on osteopenia, sarcopenia, and VC in adenine and low-protein diet-induced uremic rats.

METHODS

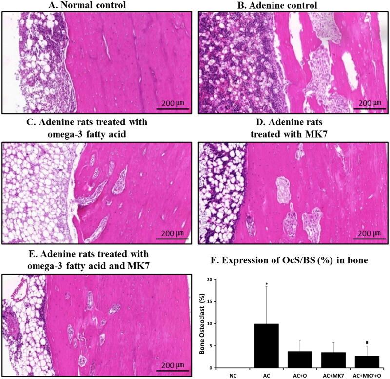
Thirty-two male Sprague-Dawley rats were fed diets containing 0.75% adenine and 2.5% protein for three weeks. Rats were randomly divided into four groups that were fed diets containing 2.5% protein for four weeks: adenine control (0.9% saline), omega-3 FA (300 mg/kg/day), MK-7 (50 µg/kg/day), and omega-3 FA/MK-7. Von Kossa staining for aortic calcification assessment was performed. Osteoclast surface/bone surface ratio (OcS/BS) of bone and muscle fiber were analyzed using hematoxylin and eosin staining. Osteoprotegerin (OPG) immunohistochemical staining was done in the aorta and bone. Molecules related with sarcopenia were analyzed using western blotting.

RESULTS

Compared to the normal control, OcS/BS and aortic calcification, and OPG staining in the aorta and bone were significantly increased in the adenine controls. OPG staining and aortic calcification progressed the least in the group supplemented with both omega-3 FA/MK-7. In the adenine controls, the regular arrangement of muscle fiber was severely disrupted, and inflammatory cell infiltration was more prominent. These findings were reduced after combined supplementation with omega-3 FA/MK-7. Furthermore, decreased mammalian target of rapamycin and increased Forkhead box protein 1 expression was significantly restored by combined supplementation.

CONCLUSIONS

Combined nutrients supplementation with omega-3 FA and MK-7 may be helpful for aortic VC prevention, reducing osteoclast activation and improving sarcopenia-related molecules in adenine and low-protein diet induced uremic rats.

摘要

背景

骨质疏松症、肌肉减少症和血管钙化(VC)在慢性肾脏病患者中很常见,且常同时存在。在缺乏经过验证的治疗方法的情况下,有必要开发针对骨质疏松症、肌肉减少症和 VC 的治疗或预防营养素补充剂。本研究旨在探讨 ω-3 脂肪酸(FA)和甲萘醌-7(MK-7)对腺嘌呤和低蛋白饮食诱导的尿毒症大鼠骨质疏松症、肌肉减少症和 VC 的影响。

方法

32 只雄性 Sprague-Dawley 大鼠喂食含 0.75%腺嘌呤和 2.5%蛋白质的饮食 3 周。大鼠随机分为 4 组,喂食含 2.5%蛋白质的饮食 4 周:腺嘌呤对照组(0.9%生理盐水)、ω-3 FA(300mg/kg/天)、MK-7(50μg/kg/天)和 ω-3 FA/MK-7。采用 Von Kossa 染色评估主动脉钙化情况。采用苏木精和伊红染色分析骨和肌肉纤维的破骨细胞表面/骨表面比(OcS/BS)。采用免疫组织化学染色检测主动脉和骨中的骨保护素(OPG)。采用 Western blot 分析与肌肉减少症相关的分子。

结果

与正常对照组相比,腺嘌呤对照组的 OcS/BS 和主动脉钙化以及主动脉和骨中的 OPG 染色显著增加。补充 ω-3 FA/MK-7 的大鼠主动脉钙化和 OPG 染色进展最小。在腺嘌呤对照组中,肌肉纤维的正常排列严重破坏,炎症细胞浸润更为明显。这些发现通过联合补充 ω-3 FA/MK-7 得到改善。此外,联合补充还显著恢复了哺乳动物雷帕霉素靶蛋白的表达下调和叉头框蛋白 1 的表达上调。

结论

联合补充 ω-3 FA 和 MK-7 可能有助于预防主动脉 VC,减少破骨细胞活化,并改善腺嘌呤和低蛋白饮食诱导的尿毒症大鼠的肌肉减少症相关分子。

https://cdn.ncbi.nlm.nih.gov/pmc/blobs/6383/9848285/8c5fa954a7c8/IRNF_A_2142140_F0001_C.jpg

文献AI研究员

20分钟写一篇综述,助力文献阅读效率提升50倍。

立即体验

用中文搜PubMed

大模型驱动的PubMed中文搜索引擎

马上搜索

文档翻译

学术文献翻译模型,支持多种主流文档格式。

立即体验