Suppr超能文献

针对鸟氨酸转氨酶缺乏症的肝脏定向基因治疗。

Liver-directed gene therapy for ornithine aminotransferase deficiency.

机构信息

Telethon Institute of Genetics and Medicine (TIGEM), Pozzuoli, Italy.

Department of Pharmacology and Biomolecular Sciences, University of Milan, Milan, Italy.

出版信息

EMBO Mol Med. 2023 Apr 11;15(4):e17033. doi: 10.15252/emmm.202217033. Epub 2023 Jan 17.

Abstract

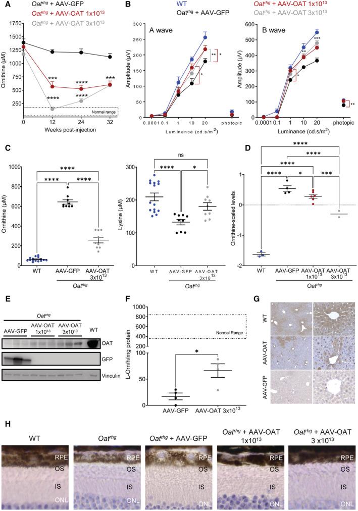
Gyrate atrophy of choroid and retina (GACR) is a chorioretinal degeneration caused by pathogenic variants in the gene encoding ornithine aminotransferase (OAT), an enzyme mainly expressed in liver. Affected patients have increased ornithine concentrations in blood and other body fluids and develop progressive constriction of vision fields leading to blindness. Current therapies are unsatisfactory and better treatments are highly needed. In two mouse models of OAT deficiency that recapitulates biochemical and retinal changes of GACR, we investigated the efficacy of an intravenously injected serotype 8 adeno-associated (AAV8) vector expressing OAT under the control of a hepatocyte-specific promoter. Following injections, OAT-deficient mice showed reductions of ornithine concentrations in blood and eye cups compared with control mice injected with a vector expressing green fluorescent protein. AAV-injected mice showed improved electroretinogram response and partial restoration of retinal structure up to one-year post-injection. In summary, hepatic OAT expression by AAV8 vector was effective at correction of hyperornithinemia and improved function and structure of the retina. In conclusion, this study provides proof-of-concept of efficacy of liver-directed AAV-mediated gene therapy of GACR.

摘要

鸟氨酸氨甲酰基转移酶缺乏相关脑视网膜病变(Gyrate atrophy of choroid and retina,GACR)是一种由编码鸟氨酸氨基甲酰转移酶(ornithine aminotransferase,OAT)的基因变异引起的脑视网膜退行性疾病,该酶主要在肝脏中表达。受影响的患者血液和其他体液中的鸟氨酸浓度增加,并逐渐出现视野收缩,最终导致失明。目前的治疗方法并不令人满意,因此非常需要更好的治疗方法。在两种模拟 GACR 生化和视网膜变化的 OAT 缺乏症小鼠模型中,我们研究了一种经静脉注射的、由肝脏特异性启动子控制表达 OAT 的血清型 8 腺相关病毒(adeno-associated virus,AAV8)载体的疗效。与注射表达绿色荧光蛋白载体的对照组相比,注射后 OAT 缺乏症小鼠的血液和眼杯中鸟氨酸浓度降低。接受 AAV 注射的小鼠表现出视网膜电图反应的改善和视网膜结构的部分恢复,这种改善可维持至注射后一年。总之,AAV8 载体的肝脏 OAT 表达可有效纠正高鸟氨酸血症,并改善视网膜的功能和结构。综上所述,本研究为肝靶向 AAV 介导的 GACR 基因治疗的疗效提供了概念验证。

https://cdn.ncbi.nlm.nih.gov/pmc/blobs/2007/10086579/d070b751a798/EMMM-15-e17033-g002.jpg

文献AI研究员

20分钟写一篇综述,助力文献阅读效率提升50倍。

立即体验

用中文搜PubMed

大模型驱动的PubMed中文搜索引擎

马上搜索

文档翻译

学术文献翻译模型,支持多种主流文档格式。

立即体验