Suppr超能文献

由……引起的阿米巴肝脓肿 。 你提供的原文“Amebic liver abscess by.”似乎不太完整,翻译可能不太准确,你可以检查下原文内容,以便我能更精准地为你翻译。

Amebic liver abscess by .

作者信息

Usuda Daisuke, Tsuge Shiho, Sakurai Riki, Kawai Kenji, Matsubara Shun, Tanaka Risa, Suzuki Makoto, Takano Hayabusa, Shimozawa Shintaro, Hotchi Yuta, Tokunaga Shungo, Osugi Ippei, Katou Risa, Ito Sakurako, Mishima Kentaro, Kondo Akihiko, Mizuno Keiko, Takami Hiroki, Komatsu Takayuki, Oba Jiro, Nomura Tomohisa, Sugita Manabu

机构信息

Department of Emergency and Critical Care Medicine, Juntendo University Nerima Hospital, Nerima 177-8521, Tokyo, Japan.

Department of Sports Medicine, Faculty of Medicine, Juntendo University, Bunkyo 113-8421, Tokyo, Japan.

出版信息

World J Clin Cases. 2022 Dec 26;10(36):13157-13166. doi: 10.12998/wjcc.v10.i36.13157.

Abstract

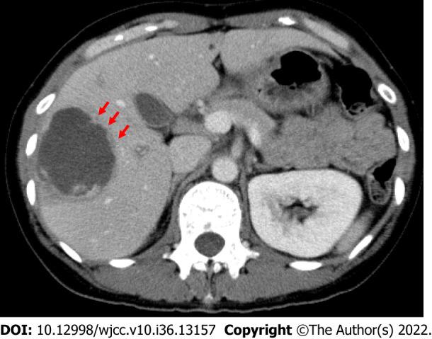
Amebic liver abscesses (ALAs) are the most commonly encountered extraintestinal manifestation of human invasive amebiasis, which results from () spreading extraintestinally. Amebiasis can be complicated by liver abscess in 9% of cases, and ALAs led to almost 50000 fatalities worldwide in 2010. Although there have been fewer and fewer cases in the past several years, ALAs remain an important public health problem in endemic areas. causes both amebic colitis and liver abscess by breaching the host's innate defenses and invading the intestinal mucosa. Trophozoites often enter the circulatory system, where they are filtered in the liver and produce abscesses, and develop into severe invasive diseases such as ALAs. The clinical presentation can appear to be colitis, including upper-right abdominal pain accompanied by a fever in ALA cases. Proper diagnosis requires nonspecific liver imaging as well as detecting anti- antibodies; however, these antibodies cannot be used to distinguish between a previous infection and an acute infection. Therefore, diagnostics primarily aim to use PCR or enzyme-linked immunosorbent assay to detect . ALAs can be treated medically, and percutaneous catheter drainage is only necessary in approximately 15% of cases. The indicated treatment is to administer an amebicidal drug (such as tinidazole or metronidazole) and paromomycin or other luminal cysticidal agent for clinical disease. Prognosis is good with almost universal recovery. Establishing which diagnostic methods are most efficacious will necessitate further analysis of similar clinical cases.

摘要

阿米巴肝脓肿(ALAs)是人类侵袭性阿米巴病最常见的肠外表现,它是由()在肠道外扩散引起的。阿米巴病在9%的病例中可并发肝脓肿,2010年全球范围内,阿米巴肝脓肿导致近50000人死亡。尽管在过去几年中病例越来越少,但在流行地区,阿米巴肝脓肿仍然是一个重要的公共卫生问题。()通过突破宿主的固有防御并侵入肠黏膜,引发阿米巴结肠炎和肝脓肿。滋养体常常进入循环系统,在肝脏中被过滤并产生脓肿,进而发展成严重的侵袭性疾病,如阿米巴肝脓肿。临床表现可能类似结肠炎,在阿米巴肝脓肿病例中包括右上腹疼痛并伴有发热。正确的诊断需要非特异性肝脏成像以及检测抗()抗体;然而,这些抗体不能用于区分既往感染和急性感染。因此,诊断主要旨在使用聚合酶链反应(PCR)或酶联免疫吸附测定(ELISA)来检测()。阿米巴肝脓肿可以通过药物治疗,仅约15%的病例需要经皮导管引流。指定的治疗方法是针对临床疾病给予一种杀阿米巴药物(如替硝唑或甲硝唑)以及巴龙霉素或其他肠腔杀包囊剂。预后良好,几乎普遍康复。确定哪些诊断方法最有效将需要对类似临床病例进行进一步分析。

https://cdn.ncbi.nlm.nih.gov/pmc/blobs/9de2/9851013/7f22af3c3f7e/WJCC-10-13157-g001.jpg

文献AI研究员

20分钟写一篇综述,助力文献阅读效率提升50倍。

立即体验

用中文搜PubMed

大模型驱动的PubMed中文搜索引擎

马上搜索

文档翻译

学术文献翻译模型,支持多种主流文档格式。

立即体验