Suppr超能文献

绿原酸对多囊卵巢综合征大鼠卵泡发育、激素状态及氧化应激生物标志物的影响。

Effect of chlorogenic acid on follicular development, hormonal status and biomarkers of oxidative stress in rats with polycystic ovary syndrome.

作者信息

Abedpour Neda, Zirak Javanmard Masoumeh, Karimipour Mojtaba, Pourmajed Liqvan Amirreza

机构信息

Department of Anatomy, Faculty of Medicine, Urmia University of Medical Sciences, Urmia, Iran.

Student Research Committee, Faculty of Medicine, Urmia University of Medical Sciences, Urmia, Iran.

出版信息

Vet Res Forum. 2022;13(4):513-520. doi: 10.30466/vrf.2021.530203.3179. Epub 2022 Dec 15.

Abstract

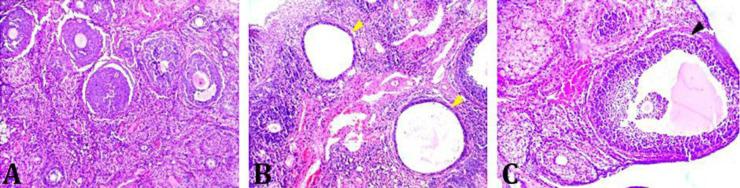
Polycystic ovarian syndrome (PCOS) is a complex endocrine and metabolic disorder. Chlorogenic acid (CGA) bears antioxidant properties with protective effects on different tissues. This study was conducted to evaluate the effect of CGA on follicular development, hormonal status and biomarkers of oxidative stress in a rat model of PCOS. In this experimental study, 18 rats were divided into three equal groups including: control, non-treated PCOS [(estradiol valerate (EV): 40.00 mg kg intramuscularly)], and PCOS-CGA (EV: 40.00 mg kg intramuscularly and CGA: 100 mg kg intraperitoneally once a week for eight consecutive weeks). At the end of treatment period, all rats were anesthetized. Then 5.00 mL blood samples of rats in the three groups were taken and prepared for hormonal analyses and their ovaries were isolated and dissected mechanically free of fat and mesentery. The ovaries underwent the following analyses: Morphological study with Hematoxylin and Eosin staining and biochemical study using the malondialdehyde (MDA) level and total antioxidant activity. Data were analyzed using one-way ANOVA and post hoc Tukey's test. The serum level of luteinizing hormone, estrogen, testosterone, antioxidant capacity, glutathione and the number of cystic follicles in the PCOS group treated with 100 mg kg Chlorogenic acid compared to the non-treated PCOS group were significantly decreased, however, the serum level of follicle stimulating hormone, progesterone, MDA and the number of secondary, graafian follicles and corpus luteum were significantly increased. Chlorogenic acid could be effective in ameliorating follicular development as well as hormonal and biochemical disorders in rats with PCOS.

摘要

多囊卵巢综合征(PCOS)是一种复杂的内分泌和代谢紊乱疾病。绿原酸(CGA)具有抗氧化特性,对不同组织有保护作用。本研究旨在评估CGA对PCOS大鼠模型卵泡发育、激素状态和氧化应激生物标志物的影响。在这项实验研究中,18只大鼠被分为三组,每组数量相等,包括:对照组、未治疗的PCOS组[戊酸雌二醇(EV):40.00 mg/kg肌肉注射]和PCOS-CGA组(EV:40.00 mg/kg肌肉注射,CGA:100 mg/kg腹腔注射,每周一次,连续八周)。治疗期结束时,所有大鼠均被麻醉。然后采集三组大鼠5.00 mL血液样本,准备进行激素分析,并分离其卵巢,机械去除脂肪和肠系膜。对卵巢进行以下分析:苏木精和伊红染色的形态学研究以及使用丙二醛(MDA)水平和总抗氧化活性的生化研究。数据采用单因素方差分析和事后Tukey检验进行分析。与未治疗的PCOS组相比,用100 mg/kg绿原酸治疗的PCOS组血清促黄体生成素、雌激素、睾酮、抗氧化能力、谷胱甘肽水平以及囊性卵泡数量显著降低,然而,血清促卵泡生成素、孕酮、MDA水平以及次级卵泡、格拉夫卵泡和黄体数量显著增加。绿原酸可能对改善PCOS大鼠的卵泡发育以及激素和生化紊乱有效。

https://cdn.ncbi.nlm.nih.gov/pmc/blobs/c170/9840803/26cfef25ca34/vrf-13-513-g001.jpg

文献AI研究员

20分钟写一篇综述,助力文献阅读效率提升50倍。

立即体验

用中文搜PubMed

大模型驱动的PubMed中文搜索引擎

马上搜索

文档翻译

学术文献翻译模型,支持多种主流文档格式。

立即体验