Suppr超能文献

假性视杯样黄斑病变伴双等位基因突变。

Pseudocoloboma-like maculopathy with biallelic missense mutations.

机构信息

Department of Ophthalmology, Taipei Veterans General Hospital, Taipei, Taiwan.

Department of Ophthalmology, National Yang Ming Chiao Tung University, Taipei, Taiwan.

出版信息

J Med Genet. 2023 Sep;60(9):859-865. doi: 10.1136/jmg-2022-108918. Epub 2023 Jan 23.

Abstract

BACKGROUND

Hereditary maculopathy is a group of clinically and genetically heterogeneous disorders. With distinctive clinical features, subtypes of macular atrophy may correlate with their genetic defects.

METHODS

Seven patients from six families with adolescent/adult-onset maculopathy were examined in this clinical case series. A detailed medical history and eye examination were performed. Genomic DNA sequencing was performed using whole exome sequencing or direct sequencing of retinol dehydrogenase 12 () coding exons.

RESULTS

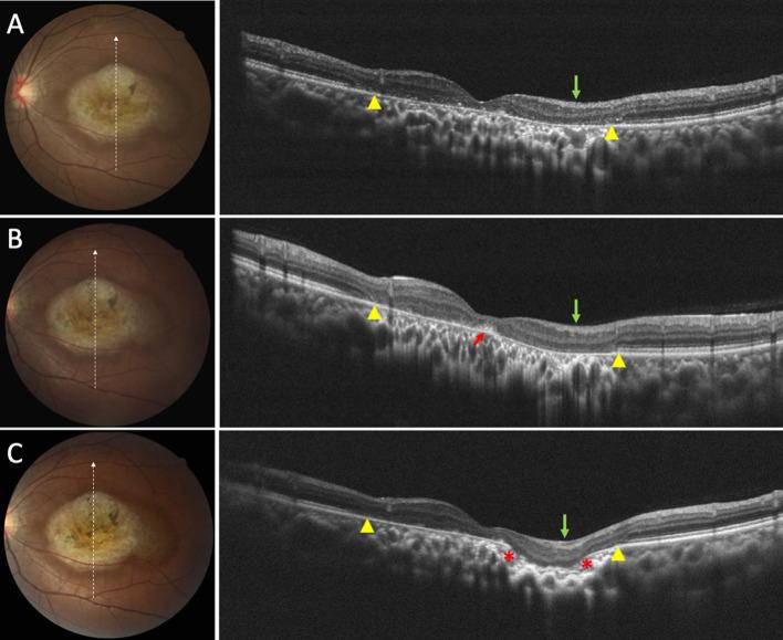
Seven patients, including one male and six female patients, with pseudocoloboma-like maculopathy had biallelic missense mutations. The most common mutant allele found in six of the seven patients was p.Ala269Gly. The average disease onset was at age 19.3 years, and visual acuity ranged from count fingers to 1.0. Most of the patients had mild myopic refraction. Common findings on fundus examination and spectral-domain optical coherence tomography include discrete margins of pseudocoloboma-like macular lesions with variable degrees of chorioretinal atrophy, excavation of retinal tissue and pigmentary changes mainly in the macular area. The electroretinograms were relatively normal to subnormal in all participants.

CONCLUSIONS

Progressive macular degeneration with a relatively normal peripheral retina and subsequent development of a pseudocoloboma-like appearance were the main clinical features in patients with compound heterozygous missense mutations. Genetic testing may be crucial for early diagnosis and may play a key role in the development of future treatment strategies.

摘要

背景

遗传性黄斑病变是一组具有临床和遗传异质性的疾病。具有独特临床特征的黄斑萎缩亚型可能与其遗传缺陷相关。

方法

本临床病例系列研究纳入了 6 个家系的 7 名青少年/成年发病的黄斑病变患者。对每位患者进行详细的病史采集和眼部检查。对所有患者均进行全外显子组测序或视黄醇脱氢酶 12()编码外显子的直接测序。

结果

7 名患者(1 名男性和 6 名女性)均存在假黄斑裂孔样病变,携带双等位基因错义 突变。7 名患者中有 6 名携带 p.Ala269Gly 最常见的突变等位基因。平均发病年龄为 19.3 岁,视力从指数至 1.0 不等。大多数患者存在轻度近视。眼底检查和频域光相干断层扫描的常见表现包括边界清晰的假黄斑裂孔样黄斑病变,伴不同程度的脉络膜视网膜萎缩、视网膜组织凹陷和主要位于黄斑区的色素改变。所有患者的视网膜电图均为大致正常或轻度异常。

结论

具有相对正常的周边视网膜和随后出现假黄斑裂孔样外观的进行性黄斑变性是复合杂合 错义突变患者的主要临床特征。基因检测可能对早期诊断至关重要,并可能对未来治疗策略的制定发挥关键作用。

https://cdn.ncbi.nlm.nih.gov/pmc/blobs/51e1/10447408/90285945edfb/jmg-2022-108918f01.jpg

文献AI研究员

20分钟写一篇综述,助力文献阅读效率提升50倍。

立即体验

用中文搜PubMed

大模型驱动的PubMed中文搜索引擎

马上搜索

文档翻译

学术文献翻译模型,支持多种主流文档格式。

立即体验