Suppr超能文献

胰腺混合性神经内分泌-非神经内分泌肿瘤与胰腺导管腺癌及神经内分泌肿瘤的CT和MR成像特征比较

CT and MR imaging features of mixed neuroendocrine-non-neuroendocrine neoplasm of the pancreas compared with pancreatic ductal adenocarcinoma and neuroendocrine tumor.

作者信息

Zhong Yanqi, Zhang Heng, Wang Xian, Sun Zongqiong, Ge Yuxi, Dou Weiqiang, Hu Shudong

机构信息

Department of Radiology, Affiliated Hospital, Jiangnan University, No. 1000, Hefeng Road, Wuxi, 214122, Jiangsu, China.

Department of Radiology, Affiliated Renmin Hospital, Jiangsu University, No. 8, Dianli Road, Zhenjiang, 212002, Jiangsu, China.

出版信息

Insights Imaging. 2023 Jan 24;14(1):15. doi: 10.1186/s13244-023-01366-0.

Abstract

OBJECTIVE

This study aimed to assess the computed tomography (CT) and magnetic resonance imaging (MRI) features of pancreatic mixed neuroendocrine-non-neuroendocrine neoplasm (MiNEN) and compare them with those of pancreatic ductal adenocarcinoma (PDAC) and neuroendocrine tumor (NET).

METHODS

Twelve patients with pancreatic MiNEN, 24 patients with PDAC, and 24 patients with NET, who underwent both contrast-enhanced CT and MRI, were included. Clinical data and the key imaging features were retrospectively evaluated by two independent readers and compared between MiNEN and PDAC or NET. Univariate and multivariable logistic regression analyses were performed to obtain predictors for pancreatic MiNEN.

RESULTS

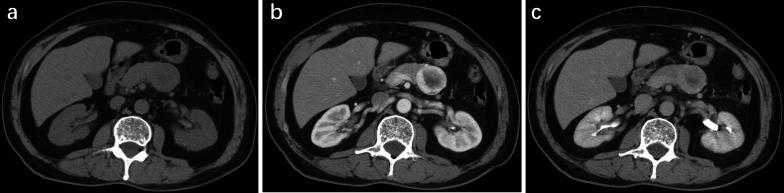
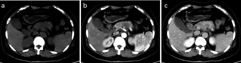
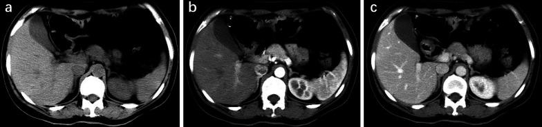
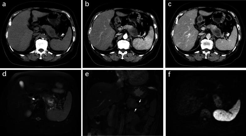
Patients with pancreatic MiNEN more frequently presented with large size and heterogeneous and cystic components compared with PDAC (p < 0.031) and ill-defined irregular margins, progressive enhancement, and adjacent organ involvement compared with NET (p < 0.036). However, vascular invasion was less commonly seen in MiNEN than PDAC (p = 0.010). Moderate enhancement was observed more frequently in MiNEN than in PDAC or NET (p < 0.001). Multivariate logistic analyses demonstrated that moderate enhancement and ill-defined irregular margin were the most valuable features for the prediction of pancreatic MiNEN (p ≤ 0.044). The combination of the two features resulted in a specificity of 93.8%, sensitivity of 83.3%, and accuracy of 91.7%.

CONCLUSIONS

We have mainly described the radiological findings of pancreatic MiNEN with ill-defined irregular margin and moderate enhancement compared with PDAC and NET. The combination of imaging features could improve diagnostic efficiency and help in the selection of the correct treatment method.

摘要

目的

本研究旨在评估胰腺混合性神经内分泌-非神经内分泌肿瘤(MiNEN)的计算机断层扫描(CT)和磁共振成像(MRI)特征,并将其与胰腺导管腺癌(PDAC)和神经内分泌肿瘤(NET)的特征进行比较。

方法

纳入12例接受了增强CT和MRI检查的胰腺MiNEN患者、24例PDAC患者和24例NET患者。两名独立阅片者对临床资料和关键影像特征进行回顾性评估,并比较MiNEN与PDAC或NET之间的差异。进行单因素和多因素逻辑回归分析以获得胰腺MiNEN的预测因素。

结果

与PDAC相比,胰腺MiNEN患者更常表现为肿瘤体积大、成分不均匀及有囊性成分(p < 0.031);与NET相比,MiNEN患者更常表现为边界不清的不规则边缘、渐进性强化及累及相邻器官(p < 0.036)。然而,MiNEN中血管侵犯的发生率低于PDAC(p = 0.010)。MiNEN中观察到中度强化的频率高于PDAC或NET(p < 0.001)。多因素逻辑分析表明,中度强化和边界不清的不规则边缘是预测胰腺MiNEN最有价值的特征(p≤0.044)。这两个特征的联合应用导致特异性为93.8%,敏感性为83.3%,准确性为91.7%。

结论

我们主要描述了与PDAC和NET相比,具有边界不清的不规则边缘和中度强化的胰腺MiNEN的影像学表现。影像特征的联合应用可提高诊断效率,并有助于选择正确的治疗方法。

https://cdn.ncbi.nlm.nih.gov/pmc/blobs/b36b/9871080/00e7224d308b/13244_2023_1366_Fig1_HTML.jpg

文献AI研究员

20分钟写一篇综述,助力文献阅读效率提升50倍。

立即体验

用中文搜PubMed

大模型驱动的PubMed中文搜索引擎

马上搜索

文档翻译

学术文献翻译模型,支持多种主流文档格式。

立即体验