Suppr超能文献

中国眼咽型肌营养不良症患者的表型和基因型特征。

The phenotypic and genotypic features of Chinese patients with oculopharyngeal muscular dystrophy.

机构信息

Department of Neurology and Institute of Neurology, First Affiliated Hospital, Fujian Medical University, 350005, Fujian, Fuzhou, China.

Fujian Key Laboratory of Molecular Neurology, 350005, Fuzhou, China.

出版信息

Ann Clin Transl Neurol. 2023 Mar;10(3):426-439. doi: 10.1002/acn3.51733. Epub 2023 Jan 23.

Abstract

OBJECTIVE

Oculopharyngeal muscular dystrophy (OPMD) is a late-onset inherited neuromuscular disorder, with progressive ptosis and dysphagia as common manifestations. To date, OPMD has rarely been reported among East Asians. The present study summarizes the phenotypic and genotypic features of Chinese patients with OPMD.

METHODS

Twenty-one patients with molecularly confirmed OPMD from 9 unrelated families were identified by direct sequencing of the polyadenlyate binding protein nuclear-1 (PABPN1) gene. Immunofluorescence staining of muscle biopsies was conducted to identify the components of protein degradation pathways involved in OPMD.

RESULTS

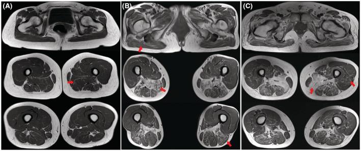
In our cohort, the genetically confirmed OPMD group had a mean age at onset of 50.6 ± 4.2 years (range 45-60 years). Ptosis (42.9%) was the most common initial symptom; patients with ptosis as the first symptom subsequently developed dysphagia within a median time of 5.5 years (range 1-19 years). Evidence of external ophthalmoplegia was found in 38.1% of patients. A total of 33.3% of the patients developed muscle weakness at a median age at onset of 66 years (range 50-70 years), with neck flexor involvement in all patients. Five genotypes were observed in our cohort, including classical (GCG)9-11 repeats in 7 families and non-GCG elongations with additional GCA expansions in 2 families. OPMD muscle biopsies revealed rimmed vacuoles and intranuclear filamentous inclusions. The PABPN1 protein showed substantial accumulation in the nuclei of muscle fiber aggregates and closely colocalized with p62, LC3B and FK2.

INTERPRETATION

Our findings indicate wide genetic heterogeneity in OPMD in the Chinese population and demonstrate abnormalities in protein degradation pathways in this disease.

摘要

目的

眼咽型肌营养不良症(OPMD)是一种迟发性遗传性神经肌肉疾病,以进行性上睑下垂和吞咽困难为常见表现。迄今为止,东亚人群中 OPMD 的报道较少。本研究总结了中国 OPMD 患者的表型和基因型特征。

方法

通过直接测序多聚腺苷酸结合蛋白核-1(PABPN1)基因,确定了 9 个无关家系中 21 例分子确诊的 OPMD 患者。对肌肉活检进行免疫荧光染色,以鉴定参与 OPMD 的蛋白降解途径的成分。

结果

在我们的队列中,基因确诊的 OPMD 组发病年龄的平均值为 50.6±4.2 岁(范围 45-60 岁)。上睑下垂(42.9%)是最常见的首发症状;首发症状为上睑下垂的患者随后在中位数 5.5 年内(范围 1-19 年)发展为吞咽困难。38.1%的患者存在外眼肌麻痹的证据。33.3%的患者在中位数发病年龄 66 岁(范围 50-70 岁)时出现肌肉无力,所有患者均有颈屈肌无力。我们的队列中观察到 5 种基因型,包括 7 个家系中的经典(GCG)9-11 重复和 2 个家系中的非 GCG 延长伴额外的 GCA 扩展。OPMD 肌肉活检显示边缘空泡和核内丝状包涵体。PABPN1 蛋白在肌纤维聚集物的核内大量堆积,并与 p62、LC3B 和 FK2 紧密共定位。

结论

我们的研究结果表明,中国人群中 OPMD 的遗传异质性广泛,并证明了该疾病中蛋白降解途径的异常。

https://cdn.ncbi.nlm.nih.gov/pmc/blobs/2dfe/10014010/c15c20cc815f/ACN3-10-426-g005.jpg

文献AI研究员

20分钟写一篇综述,助力文献阅读效率提升50倍。

立即体验

用中文搜PubMed

大模型驱动的PubMed中文搜索引擎

马上搜索

文档翻译

学术文献翻译模型,支持多种主流文档格式。

立即体验