Suppr超能文献

来泽替尼成功治疗一名晚期肺腺癌(EGFR-T790M和C797S顺式)患者:病例报告及文献综述

Successful treatment of a patient with advanced lung adenocarcinoma (EGFR-T790M and C797S cis) with lazertinib: A case report and literature review.

作者信息

Fang Yue, Zhang Qiankun, Wang Weimin, Tong Juanjuan, Li Xialin

机构信息

Hefei Cancer Hospital, Chinese Academy of Sciences, Hefei, China.

出版信息

Front Oncol. 2023 Jan 9;12:1037964. doi: 10.3389/fonc.2022.1037964. eCollection 2022.

Abstract

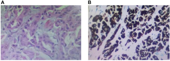
Lazertinib has been shown to treat non-small cell lung cancer (NSCLC) patients with EGFR-T790M, Ex19del, and L858R mutations. However, there are still no studies to prove that lazertinib could be used in patients with EGFR-T790M and C797s cis mutations in NSCLC. We report a case of a patient with advanced lung adenocarcinoma with EGFR-T790M and C797s cis mutations who were treated with lazertinib and achieved satisfactory efficacy without serious side effects. And the scratch assay and colony-forming unit assay were performed using lung adenocarcinoma cells from patients, the results showed that both lazertinib and amivantamab could inhibit the proliferation and migration of lung adenocarcinoma cells to some extent, and the inhibitory effect of lazertinib was better than that of amivantamab ( < 0. 01), while the inhibitory effect of lazertinib combined with amivantamab was not statistically different from that of lazertinib alone(>0.05). This finding suggests that lazertinib may be an effective treatment option for patients with lung adenocarcinoma presenting with EGFR-T790M and C797s cis mutations.

摘要

拉泽替尼已被证明可治疗具有表皮生长因子受体(EGFR)-T790M、外显子19缺失和L858R突变的非小细胞肺癌(NSCLC)患者。然而,目前仍没有研究证明拉泽替尼可用于NSCLC中具有EGFR-T790M和C797s顺式突变的患者。我们报告了1例患有晚期肺腺癌且具有EGFR-T790M和C797s顺式突变的患者,该患者接受了拉泽替尼治疗,疗效满意且无严重副作用。并且使用患者的肺腺癌细胞进行了划痕试验和集落形成单位试验,结果显示拉泽替尼和阿美替尼均能在一定程度上抑制肺腺癌细胞的增殖和迁移,且拉泽替尼的抑制作用优于阿美替尼(<0.01),而拉泽替尼联合阿美替尼的抑制作用与单独使用拉泽替尼相比无统计学差异(>0.05)。这一发现表明,拉泽替尼可能是治疗具有EGFR-T790M和C797s顺式突变的肺腺癌患者的一种有效治疗选择。

https://cdn.ncbi.nlm.nih.gov/pmc/blobs/3aa9/9868826/0898233dd686/fonc-12-1037964-g001.jpg

文献AI研究员

20分钟写一篇综述,助力文献阅读效率提升50倍。

立即体验

用中文搜PubMed

大模型驱动的PubMed中文搜索引擎

马上搜索

文档翻译

学术文献翻译模型,支持多种主流文档格式。

立即体验