Suppr超能文献

叶水醇提取物对暴露于香烟烟雾的Wistar大鼠睾丸中芳烃受体表达的影响。

The effect of hydroalcoholic extract of leaf on aryl hydrocarbon receptor expression in the testis of Wistar rats exposed to cigarette smoke.

作者信息

Hashemi Maryam, Azarnia Mahnaz, Hajebrahimi Zahra, Nejad Ebrahimi Samad

机构信息

Department of Animal Biology, Faculty of Biological Sciences, Kharazmi University, Tehran, Iran.

A&S Research Institute, Ministry of Science Research and Technology, Tehran, Iran Department of Phytochemistry, Medicinal Plants and Drugs Research Institute, Shahid Beheshti University, G. C., Evin, Tehran, IranDepartment of Phytochemistry, Medicinal Plants and Drugs Research Institute, Shahid Beheshti University, G. C., Evin, Tehran, Iran Department of Phytochemistry, Medicinal Plants and Drugs Research Institute, Shahid Beheshti University, G. C., Evin, Tehran, Iran Department of Phytochemistry, Medicinal Plants and Drugs Research Institute, Shahid Beheshti University, G. C., Evin, Tehran, Iran.

出版信息

Avicenna J Phytomed. 2023 Jan-Feb;13(1):58-69. doi: 10.22038/AJP.2022.21307.

Abstract

OBJECTIVE

Cigarette smoke (CS) contains compounds such as reactive oxygen species (ROS). Oxidative stress caused by excessive ROS eventually leads to germ cell apoptosis and male infertility. The leaves of (chicory) are rich in natural antioxidants, but their protective effects on the adverse effects of CS on testicular tissue have not been studied.

MATERIALS AND METHODS

24 Wistar rats were classified into four groups: control, extract: treatment with chicory extract (200 mg/kg body weight/day) for 13 weeks, smoke: exposed to CS for 13 weeks, and smoke + extract: exposed to CS and treated with the C. extract. Histological and biochemical analyses and apoptosis assay were done, and and expression was determined.

RESULTS

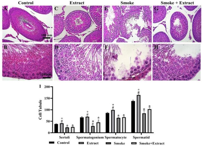
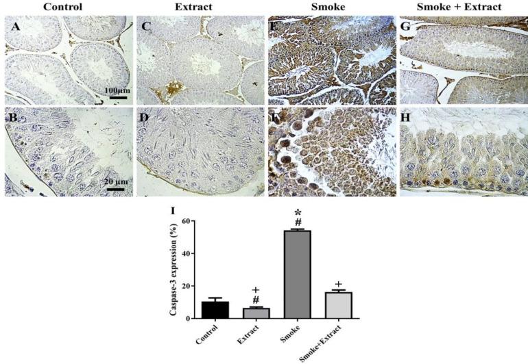
Treatment with compensated for the reduction of Sertoli cells, spermatogonia, spermatocytes, and spermatids caused by CS. Chicory extract reduced free radicals and improved antioxidant status. The lowest and highest percentage of apoptotic cells was observed in the extract and smoke groups, respectively, while simultaneous treatment with extract led to a significant reduction of apoptotic cells. The mean levels in the control, extract, smoke and smoke + extract groups were 1.00±0.57, 1.93±0.25, 5.98±0.42, and 0.62±0.22, respectively (p˂0.05). The mean levels of expression in the control, extract, smoke and smoke + extract groups were 1.00±0.31, 2.28±0.65, 5.55±0.40, and 0.21±0.23 (p˂0.05).

CONCLUSION

The extract probably affected expression by downregulation of These led to a decrease in free radicals and apoptosis, and an improvement in antioxidant status.

摘要

目的

香烟烟雾(CS)中含有活性氧(ROS)等化合物。过量ROS引起的氧化应激最终导致生殖细胞凋亡和男性不育。菊苣叶富含天然抗氧化剂,但其对CS对睾丸组织的不良影响的保护作用尚未得到研究。

材料与方法

将24只Wistar大鼠分为四组:对照组、提取物组:用菊苣提取物(200mg/kg体重/天)处理13周、烟雾组:暴露于CS中13周、烟雾+提取物组:暴露于CS并同时用菊苣提取物处理。进行组织学和生化分析以及凋亡检测,并测定相关基因表达。

结果

菊苣提取物处理可补偿CS导致的支持细胞、精原细胞、精母细胞和精子细胞数量减少。菊苣提取物可减少自由基并改善抗氧化状态。凋亡细胞百分比最低和最高的分别是提取物组和烟雾组,而同时用菊苣提取物处理可导致凋亡细胞显著减少。对照组、提取物组、烟雾组和烟雾+提取物组的平均相关基因水平分别为1.00±0.57、1.93±0.25、5.98±0.42和0.62±0.22(p<0.05)。对照组、提取物组、烟雾组和烟雾+提取物组的相关基因表达平均水平分别为1.00±0.31、2.28±0.65、5.55±0.40和0.21±0.23(p<0.05)。

结论

菊苣提取物可能通过下调相关基因表达发挥作用。这些作用导致自由基减少和凋亡减少,并改善了抗氧化状态。

https://cdn.ncbi.nlm.nih.gov/pmc/blobs/dc42/9840776/e7828cc6ecd9/AJP-13-58-g001.jpg

文献AI研究员

20分钟写一篇综述,助力文献阅读效率提升50倍。

立即体验

用中文搜PubMed

大模型驱动的PubMed中文搜索引擎

马上搜索

文档翻译

学术文献翻译模型,支持多种主流文档格式。

立即体验