Suppr超能文献

肌炎相关性间质性肺疾病患者的临床特征与预后

Clinical features and outcomes of patients with myositis associated-interstitial lung disease.

作者信息

Karampitsakos Theodoros, Tzilas Vasilios, Papaioannou Ourania, Chrysikos Serafeim, Vasarmidi Eirini, Juge Pierre-Antoine, Vizirianaki Styliani, Bibaki Eleni, Reppa Argyro, Sidiropoulos Prodromos, Katsaras Matthaios, Sotiropoulou Vasilina, Tsiri Panagiota, Koulousousa Electra, Theochari Eva, Tsirikos Georgios, Christopoulos Ioannis, Malakounidou Elli, Zarkadi Eirini, Sampsonas Fotios, Hillas Georgios, Karageorgas Theofanis, Daoussis Dimitrios, Kalogeropoulou Christina, Dimakou Katerina, Tzanakis Nikolaos, Borie Raphael, Dieudé Philippe, Antoniou Katerina, Crestani Bruno, Bouros Demosthenes, Tzouvelekis Argyris

机构信息

Department of Respiratory Medicine, University Hospital of Patras, Patras, Greece.

5th Department of Pneumonology, General Hospital for Thoracic Diseases Sotiria, Athens, Greece.

出版信息

Front Med (Lausanne). 2023 Jan 9;9:1096203. doi: 10.3389/fmed.2022.1096203. eCollection 2022.

Abstract

INTRODUCTION

Myositis associated interstitial lung disease (ILD) seems to be an under-recognized entity.

METHODS

In this multicenter, retrospective study, we recorded between 9/12/2019 and 30/9/2021 consecutive patients who presented in five different ILD centers from two European countries (Greece, France) and received a multidisciplinary diagnosis of myositis associated-ILD. The primary outcome was all-cause mortality over 1 year in specific subgroups of patients. Secondary outcomes included comparison of disease characteristics between patients diagnosed with the amyopathic subtype and patients with evidence of myopathy at diagnosis.

RESULTS

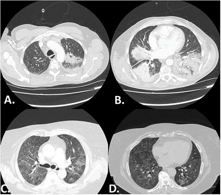
We identified 75 patients with myositis associated-ILD. Median age (95% CI) at the time of diagnosis was 64.0 (61.0-65.0) years. Antinuclear antibody testing was positive in 40% of the cohort ( = 30/75). Myopathy onset occurred first in 40.0% of cases ( = 30), ILD without evidence of myopathy occurred in 29 patients (38.7%), while 16 patients (21.3%) were diagnosed concomitantly with ILD and myopathy. The commonest radiographic pattern was cellular non-specific interstitial pneumonia (NSIP) and was observed in 29 patients (38.7%). The radiographic pattern of organizing pneumonia was significantly more common in patients diagnosed with the amyopathic subtype compared to patients that presented with myopathy [24.1% ( = 7/29) vs. 6.5% ( = 3/46), = 0.03]. One year survival was 86.7% in the overall population. Kaplan-Meier analysis demonstrated significantly higher all-cause 1-year mortality in patients with the amyopathic subtype compared to patients with evidence of myopathy [H R 4.24 (95% CI: 1.16-15.54), = 0.03]. Patients diagnosed following hospitalization due to acute respiratory failure experienced increased risk of 1-year all-cause mortality compared to patients diagnosed in outpatient setting [HR 6.70 (95% CI: 1.19-37.81), = 0.03]. Finally, patients with positive anti-MDA5 presented with higher 1-year all-cause mortality compared to anti-MDA5 negative patients [HR 28.37 (95% CI: 5.13-157.01), = 0.0001].

CONCLUSION

Specific ILD radiographic patterns such as NSIP and organizing pneumonia may herald underlying inflammatory myopathies. Hospitalized patients presenting with bilateral organizing pneumonia refractory to antibiotics should be meticulously evaluated for myositis associated-ILD even if there is no overt muscular involvement. Incorporation of ILD radiological patterns in the diagnostic criteria of inflammatory myopathies may lead to timely therapeutic interventions and positively impact patients' survival.

摘要

引言

肌炎相关间质性肺疾病(ILD)似乎是一个未得到充分认识的实体。

方法

在这项多中心回顾性研究中,我们记录了2019年12月9日至2021年9月30日期间,来自两个欧洲国家(希腊、法国)五个不同ILD中心的连续患者,这些患者接受了肌炎相关ILD的多学科诊断。主要结局是特定亚组患者1年内的全因死亡率。次要结局包括比较诊断为无肌病亚型的患者与诊断时有肌病证据的患者之间的疾病特征。

结果

我们确定了75例肌炎相关ILD患者。诊断时的中位年龄(95%CI)为64.0(61.0 - 65.0)岁。40%的队列(n = 30/75)抗核抗体检测呈阳性。40.0%的病例(n = 30)肌病首发,29例患者(38.7%)出现无肌病证据的ILD,而16例患者(21.3%)同时诊断为ILD和肌病。最常见的影像学模式是细胞性非特异性间质性肺炎(NSIP),29例患者(38.7%)出现此模式。与有肌病表现的患者相比,诊断为无肌病亚型的患者中机化性肺炎的影像学模式明显更常见[24.1%(n = 7/29)对6.5%(n = 3/46),p = 0.03]。总体人群1年生存率为86.7%。Kaplan - Meier分析表明,与有肌病证据的患者相比,无肌病亚型患者1年全因死亡率显著更高[HR 4.24(95%CI:1.16 - 15.54),p = 0.03]。因急性呼吸衰竭住院后诊断的患者与门诊诊断的患者相比,1年全因死亡风险增加[HR 6.70(95%CI:1.19 - 37.81),p = 0.03]。最后,抗MDA5阳性的患者与抗MDA5阴性的患者相比,1年全因死亡率更高[HR 28.37(95%CI:5.13 - 157.01),p = 0.0001]。

结论

特定的ILD影像学模式,如NSIP和机化性肺炎,可能预示潜在的炎性肌病。即使没有明显的肌肉受累,对于出现双侧机化性肺炎且对抗生素治疗无效的住院患者,也应仔细评估是否为肌炎相关ILD。将ILD影像学模式纳入炎性肌病的诊断标准可能会导致及时的治疗干预,并对患者的生存产生积极影响。

https://cdn.ncbi.nlm.nih.gov/pmc/blobs/fe12/9868310/08bc6d77364f/fmed-09-1096203-g001.jpg

文献AI研究员

20分钟写一篇综述,助力文献阅读效率提升50倍。

立即体验

用中文搜PubMed

大模型驱动的PubMed中文搜索引擎

马上搜索

文档翻译

学术文献翻译模型,支持多种主流文档格式。

立即体验