Suppr超能文献

抑制自噬和 MEK 促进 Lkb1 缺失的 Kras 驱动的肺肿瘤中的铁死亡。

Inhibition of autophagy and MEK promotes ferroptosis in Lkb1-deficient Kras-driven lung tumors.

机构信息

Rutgers Cancer Institute of New Jersey, New Brunswick, NJ, 08901, USA.

Department of Medicine, Rutgers Robert Wood Johnson Medical School, New Brunswick, NJ, 08901, USA.

出版信息

Cell Death Dis. 2023 Jan 26;14(1):61. doi: 10.1038/s41419-023-05592-8.

Abstract

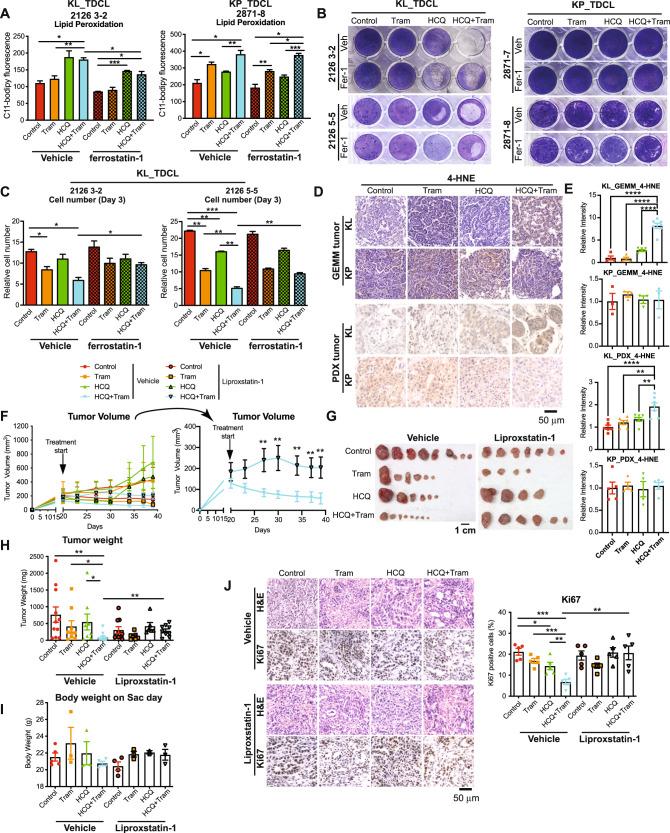
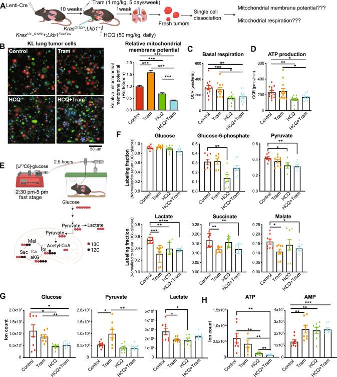
LKB1 and KRAS are the third most frequent co-mutations detected in non-small cell lung cancer (NSCLC) and cause aggressive tumor growth. Unfortunately, treatment with RAS-RAF-MEK-ERK pathway inhibitors has minimal therapeutic efficacy in LKB1-mutant KRAS-driven NSCLC. Autophagy, an intracellular nutrient scavenging pathway, compensates for Lkb1 loss to support Kras-driven lung tumor growth. Here we preclinically evaluate the possibility of autophagy inhibition together with MEK inhibition as a treatment for Kras-driven lung tumors. We found that the combination of the autophagy inhibitor hydroxychloroquine (HCQ) and the MEK inhibitor Trametinib displays synergistic anti-proliferative activity in KrasLkb1 (KL) lung cancer cells, but not in Krasp53 (KP) lung cancer cells. In vivo studies using tumor allografts, genetically engineered mouse models (GEMMs) and patient-derived xenografts (PDXs) showed anti-tumor activity of the combination of HCQ and Trametinib on KL but not KP tumors. We further found that the combination treatment significantly reduced mitochondrial membrane potential, basal respiration, and ATP production, while also increasing lipid peroxidation, indicative of ferroptosis, in KL tumor-derived cell lines (TDCLs) and KL tumors compared to treatment with single agents. Moreover, the reduced tumor growth by the combination treatment was rescued by ferroptosis inhibitor. Taken together, we demonstrate that autophagy upregulation in KL tumors causes resistance to Trametinib by inhibiting ferroptosis. Therefore, a combination of autophagy and MEK inhibition could be a novel therapeutic strategy to specifically treat NSCLC bearing co-mutations of LKB1 and KRAS.

摘要

LKB1 和 KRAS 是在非小细胞肺癌(NSCLC)中检测到的第三大常见共突变,导致肿瘤生长具有侵袭性。不幸的是,用 RAS-RAF-MEK-ERK 通路抑制剂治疗 LKB1 突变型 KRAS 驱动的 NSCLC 的疗效甚微。自噬是一种细胞内营养物质清除途径,可补偿 Lkb1 的缺失,以支持 Kras 驱动的肺肿瘤生长。在这里,我们在临床前评估了联合使用自噬抑制剂和 MEK 抑制剂作为治疗 Kras 驱动的肺肿瘤的可能性。我们发现,自噬抑制剂羟氯喹(HCQ)和 MEK 抑制剂 Trametinib 的组合在 KrasLkb1(KL)肺癌细胞中具有协同的抗增殖活性,但在 Krasp53(KP)肺癌细胞中没有。使用肿瘤同种异体移植物、基因工程小鼠模型(GEMMs)和患者来源的异种移植(PDXs)的体内研究表明,HCQ 和 Trametinib 的联合治疗对 KL 肿瘤而非 KP 肿瘤具有抗肿瘤活性。我们进一步发现,与单一药物治疗相比,联合治疗显著降低了 KL 肿瘤衍生细胞系(TDCLs)和 KL 肿瘤的线粒体膜电位、基础呼吸和 ATP 产生,同时增加了脂质过氧化,表明发生了铁死亡。此外,铁死亡抑制剂可挽救联合治疗引起的肿瘤生长减少。综上所述,我们证明了 KL 肿瘤中自噬的上调通过抑制铁死亡导致对 Trametinib 的耐药性。因此,自噬和 MEK 抑制的联合可能是一种治疗同时携带 LKB1 和 KRAS 突变的 NSCLC 的新的治疗策略。

https://cdn.ncbi.nlm.nih.gov/pmc/blobs/8476/9879981/2eb92591bbb2/41419_2023_5592_Fig1_HTML.jpg

文献AI研究员

20分钟写一篇综述,助力文献阅读效率提升50倍。

立即体验

用中文搜PubMed

大模型驱动的PubMed中文搜索引擎

马上搜索

文档翻译

学术文献翻译模型,支持多种主流文档格式。

立即体验