Suppr超能文献

氧化苦参碱基于SOCS1/JAK-STAT3通路对小鼠特应性皮炎的作用机制

The mechanism of oxymatrine on atopic dermatitis in mice based on SOCS1/JAK-STAT3 pathway.

作者信息

Han Xianwei, Ma Tianming, Wang Qiang, Jin Chunlin, Han Yusheng, Liu Guijun, Li Hao

机构信息

Department of Dermatology, The Seventh People's Hospital of Shenyang, Shenyang, China.

The Second Hospital of Heilongjiang University of Chinese Medicine, Harbin, China.

出版信息

Front Pharmacol. 2023 Jan 10;13:1091090. doi: 10.3389/fphar.2022.1091090. eCollection 2022.

Abstract

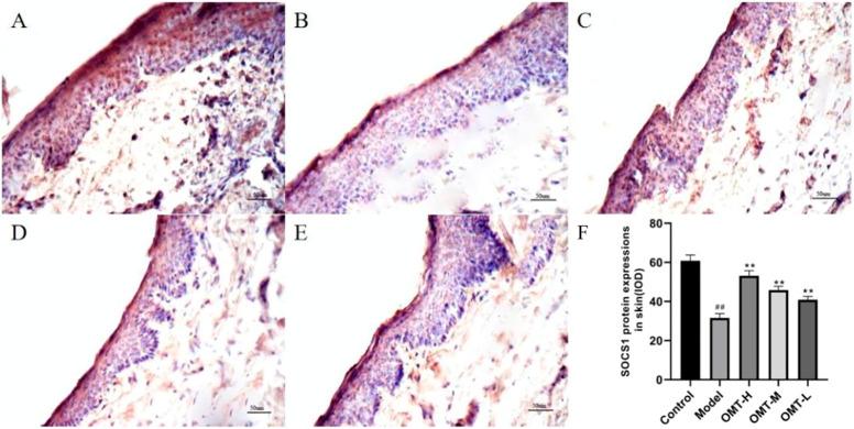
Based on the suppressor of cytokine signaling 1 (SOCS1)/Janus kinase (JAK)/signal transducer and activator of transcription 3 (STAT3) pathway, the mechanism of oxymatrine in the treatment of atopic dermatitis (AD) was preliminarily explored in this study. C57BL/6 mice were induced to establish AD model by smearing carbotriol (MC903) on their back. The AD mice were randomly divided into model group, oxymatrine groups with three dosages (25, 50 and 100 mg/kg), ( = 10). Oxymatrine groups were intragastric administered once daily for 14 days. The same volume of saline was given in the normal control group and model group once daily for 14 days. Subsequently, HE staining was used to observe the pathological changes of skin tissue, ELISA was used to detect the levels of serum inflammatory factors including interleukin-4, 6 and 17 (IL-4, IL-6, and IL-17), tumor necrosis factor-α (TNF-α) and immunoglobulin E (IgE). Immunohistochemistry was used to detect the expression of suppressor of cytokine signaling 1 and CD3 in skin tissue, and Western blotting was used to detect the proteins in suppressor of cytokine signaling 1/JAK-STAT3 pathway. Compared with the normal control group, the pathological damage of mice in the model group, such as skin hyperplasia, edema, congestion and inflammatory infiltration, aggravated increased significantly. And the expression of serum inflammatory factors, CD3 positive expression and JAK-STAT3 pathway protein in the model group were increased ( < .05), and the expression of suppressor of cytokine signaling 1 protein ( < .05) was decreased. Compared with the model group, the above pathological damage of the mice was reduced, and the serum inflammatory factors, JAK-STAT3 pathway protein, and CD3 positive expression were decreased as a dose-dependant manner ( < .05), and the expression of suppressor of cytokine signaling 1 protein was increased as a dose-dependent manner ( < .05). Oxymatrine can improve the skin inflammation symptoms of AD mice by up regulating the expression of suppressor of cytokine signaling 1, inhibiting the activation of JAK-STAT3 pathway and blocking the activation of T lymphocytes.

摘要

基于细胞因子信号转导抑制因子1(SOCS1)/Janus激酶(JAK)/信号转导子和转录激活子3(STAT3)通路,本研究初步探讨了氧化苦参碱治疗特应性皮炎(AD)的机制。通过在C57BL/6小鼠背部涂抹卡泊三醇(MC903)诱导建立AD模型。将AD小鼠随机分为模型组、三个剂量(25、50和100mg/kg)的氧化苦参碱组(每组n = 10)。氧化苦参碱组每天灌胃给药1次,连续14天。正常对照组和模型组每天给予相同体积的生理盐水,连续14天。随后,采用苏木精-伊红(HE)染色观察皮肤组织的病理变化,采用酶联免疫吸附测定(ELISA)检测血清中白细胞介素-4、6和17(IL-4、IL-6和IL-17)、肿瘤坏死因子-α(TNF-α)和免疫球蛋白E(IgE)等炎症因子水平。采用免疫组织化学检测皮肤组织中细胞因子信号转导抑制因子1和CD3的表达,采用蛋白质印迹法检测细胞因子信号转导抑制因子1/JAK-STAT3通路中的蛋白。与正常对照组相比,模型组小鼠皮肤增生、水肿、充血和炎症浸润等病理损伤明显加重。模型组血清炎症因子表达、CD3阳性表达及JAK-STAT3通路蛋白表达均升高(P < 0.05),细胞因子信号转导抑制因子1蛋白表达降低(P < 0.05)。与模型组相比,小鼠上述病理损伤减轻,血清炎症因子、JAK-STAT3通路蛋白及CD3阳性表达呈剂量依赖性降低(P < 0.05),细胞因子信号转导抑制因子1蛋白表达呈剂量依赖性升高(P < 0.05)。氧化苦参碱可通过上调细胞因子信号转导抑制因子1的表达、抑制JAK-STAT3通路的激活以及阻断T淋巴细胞的活化来改善AD小鼠的皮肤炎症症状。

https://cdn.ncbi.nlm.nih.gov/pmc/blobs/f294/9872557/89919381a456/fphar-13-1091090-g001.jpg

文献AI研究员

20分钟写一篇综述,助力文献阅读效率提升50倍。

立即体验

用中文搜PubMed

大模型驱动的PubMed中文搜索引擎

马上搜索

文档翻译

学术文献翻译模型,支持多种主流文档格式。

立即体验