Suppr超能文献

晚期恶性胸膜间皮瘤患者接受铂类化疗时 ERCC1、RRM1 和胸苷酸合成酶的预测价值。

The Predictive Value of ERCC1, RRM1, and Thymidylate Synthase in Advanced Malignant Pleural Mesothelioma Patients Treated with Platinum-Based Chemotherapy.

机构信息

Department of Medical Oncology, National Cancer Institute, Cairo University, Egypt.

Department of Pathology, NCI, Cairo University, Egypt.

出版信息

Asian Pac J Cancer Prev. 2023 Jan 1;24(1):195-205. doi: 10.31557/APJCP.2023.24.1.195.

Abstract

BACKGROUND

A rare yet severe neoplasia called malignant pleural mesothelioma (MPM) typically manifests itself in advanced stages. Despite some improvements in the treatment of patients with MPM, this malignancy continues to have a detrimental prognosis . The primary goal of the present study was to assess the associatin between ERCC1, RRM1, and thymidylate synthase (TS) expression and disease outcome in patients with malignant pleural mesothelioma (MPM) treated with either pemetrexed plus cisplatin or gemcitabine plus cisplatin.

METHODS

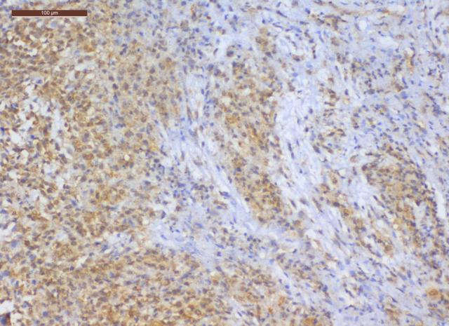
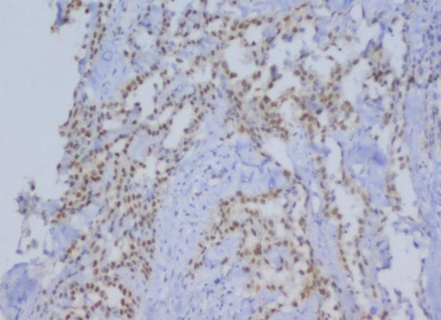
This prospective cohort study was done on ninety-one advanced MPM patients. The patients received either pemetrexed plus platinum (55 of 91) or gemcitabine plus platinum chemotherapy (36 of 91). Tissue biopsy was taken at time of diagnosis. Immunohistochemistry was used to assess the levels of ERCC1, RRM1, and TS transcription in tissue biopsies (paraffin embedded).

RESULTS

Based on the findings, 70% of patients with low expression of TS had low expression of ERCC1, and 68% of patients with high expression of TS had high expression of ERCC1, suggesting  a significat association between ERCC1 expression and TS expression (p=0.005). However, there was no relation between ERCC1 and RRM1 expression patterns (p= 0.296). In patients underwen platinum-based theraphy (n 91), a significant correlation was detected between low ERCC1 median High-scoring and longer progression time (TTP;9.6 v 5.3 months;P< .001) or overall survival (OS) (OS;18.1 v 9.1 months; P<0.001). A significant correlation was found between low TS protein expression and longer time progression (TTP; 11.8 v 5.4 months; P< .001) or OS (OS; 19.8 v 8.5 months; P <0.001) in patients undergoing pemetrexed plus platinum chemotherapy (n 55). Low RRM1 expression was accompanied by high progression free survival (TTP; 10.6 v 3.8 months) and OS (OS; 20.6 v 8.6 months) in patients receiving gemcitabine plus platinum chemotherapy. Based on the multivariate test results, the independent variables significantly affecting OS were tumor stage (HR: 2.3; 95% CI: 1.1-4.9; p= 0.021) and ERCC1 (HR: 2.7; 95% CI: 1.7-4.3; p < 0.001).

CONCLUSION

Decreased TS protein expression can be indicative of greater responsivness to pemtrexed and of longer TTP and OS in individuals with advanced MPM (locally progressed or metastatic) who are receiving pemetrexed-based chemotheraphy. Low ERCC1 expressions in individuals with advanced MPM can predict increased PFS and OS, as well as a better responsivness to platinum-based chemotherapy. In patients with progressed MPM receiving gemcitabine plus cisplatin chemotherapy, lower RRM1 expression was associated with a better prognosis, longer PFS, and longer OS.

摘要

背景

一种罕见但严重的肿瘤称为恶性胸膜间皮瘤(MPM),通常在晚期表现出来。尽管患者的治疗方法在某些方面有所改善,但这种恶性肿瘤的预后仍然不佳。本研究的主要目的是评估 ERCC1、RRM1 和胸苷酸合成酶(TS)表达与接受培美曲塞联合顺铂或吉西他滨联合顺铂治疗的恶性胸膜间皮瘤(MPM)患者疾病结局之间的关联。

方法

这是一项前瞻性队列研究,共纳入 91 例晚期 MPM 患者。患者接受培美曲塞联合铂类(91 例中的 55 例)或吉西他滨联合铂类化疗(91 例中的 36 例)。在诊断时取组织活检。免疫组织化学用于评估组织活检中 ERCC1、RRM1 和 TS 转录水平(石蜡包埋)。

结果

根据研究结果,70% TS 低表达的患者 ERCC1 低表达,68% TS 高表达的患者 ERCC1 高表达,提示 ERCC1 表达与 TS 表达之间存在显著关联(p=0.005)。然而,ERCC1 和 RRM1 表达模式之间没有关系(p=0.296)。在接受铂类治疗的患者(n=91)中,低 ERCC1 中位数高评分与更长的进展时间(TTP;9.6 与 5.3 个月;P<0.001)或总生存期(OS)(OS;18.1 与 9.1 个月;P<0.001)之间存在显著相关性。在接受培美曲塞联合铂类化疗的患者(n=55)中,低 TS 蛋白表达与更长的进展时间(TTP;11.8 与 5.4 个月;P<0.001)或 OS(OS;19.8 与 8.5 个月;P<0.001)之间存在显著相关性。在接受吉西他滨联合铂类化疗的患者中,低 RRM1 表达与更高的无进展生存期(TTP;10.6 与 3.8 个月)和 OS(OS;20.6 与 8.6 个月)相关。多变量检验结果表明,影响 OS 的独立变量有肿瘤分期(HR:2.3;95%CI:1.1-4.9;p=0.021)和 ERCC1(HR:2.7;95%CI:1.7-4.3;p<0.001)。

结论

在接受培美曲塞为基础化疗的晚期 MPM(局部进展或转移性)患者中,TS 蛋白表达降低可能预示着对培美曲塞的反应更好,TTP 和 OS 更长。在晚期 MPM 患者中,低 ERCC1 表达可预测 PFS 和 OS 延长,以及对铂类化疗的更好反应。在接受吉西他滨联合顺铂化疗的进展期 MPM 患者中,较低的 RRM1 表达与预后较好、PFS 延长和 OS 延长相关。

https://cdn.ncbi.nlm.nih.gov/pmc/blobs/7169/10152869/ed2639f9f974/APJCP-24-195-g001.jpg

文献AI研究员

20分钟写一篇综述,助力文献阅读效率提升50倍。

立即体验

用中文搜PubMed

大模型驱动的PubMed中文搜索引擎

马上搜索

文档翻译

学术文献翻译模型,支持多种主流文档格式。

立即体验