Suppr超能文献

新合成的钯(II)配合物诱导的细胞毒性导致MCF-7和MDA-MB-435癌细胞系死亡。

Cytotoxicity Induced by Newly Synthesized Palladium (II) Complexes Lead to the Death of MCF-7 and MDA-MB-435 Cancer Cell Lines.

作者信息

da Silva Bruna Alexandre Oliveira, Dias Isabela Spido, Sarto Luís Eduardo, de Gois Elba Pereira, Torres Claudia, de Almeida Eduardo Tonon, Gouvêa Cibele Marli Cação Paiva

机构信息

Institute of Natural Sciences, Federal University of Alfenas, Alfenas, Brazil.

Federal Institute of Education, Science and Technology of the South of Minas Gerais, Machado, Brazil.

出版信息

Adv Pharm Bull. 2023 Jan;13(1):160-169. doi: 10.34172/apb.2023.017. Epub 2021 Oct 10.

Abstract

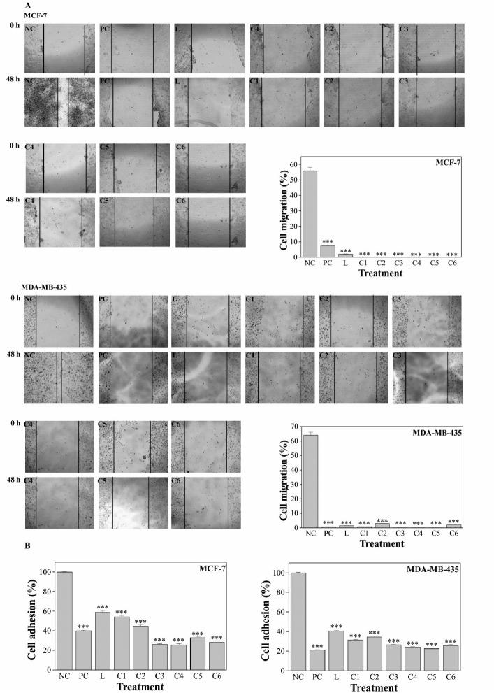
Breast cancer is the most common female malignancy and melanoma is the most lethal type of skin cancer. Traditional therapy for cancer treatment is far from satisfactory due to drug resistance and side effects, thus a search for new medicines is being emphasized. Palladium(II) complexes have been reported as anticancer potential agents. In this work, the anticancer activities and cell death induction of a new series of square-planar Pd(II) complexes were evaluated against MCF-7 and MDA-MB-435 cancer cells. MCF-7 (breast carcinoma) and MDA-MB-435 (melanoma) cells were cultivated, and treated with ligand and Pd(II) complexes. Cell growth, migration and adhesion inhibition, morphological alterations, cell death induction and, DNA interaction upon treatment were studied. Pd(II) complexes exhibited both short and long-term antiproliferative effects on both cell lines, reducing by 80% cell growth in the SRB assay and abolishing longterm proliferation, estimated by the clonogenic assay. Complexes reduced significantly (<0.05) cell migration and adhesion when compared to the control group. Complexes induced morphological alterations in cell lines and significant (<0.05) cellular shrinkage. Cell death was induced and the complexes were able to interact with DNA, inducing cleavage of double-stranded DNA, which may account for the complexes cytotoxic effects, observed against both MCF-7 and MDA-MB-435 cells. Overall, the complexes exhibited cytotoxic activities and induced cell death. These observations emphasize an anticancer role with a potential therapeutic value for Pd(II) complexes to improve the outcome of patients with breast cancer and melanoma.

摘要

乳腺癌是最常见的女性恶性肿瘤,黑色素瘤是最致命的皮肤癌类型。由于耐药性和副作用,传统的癌症治疗方法远不能令人满意,因此人们正在着重寻找新的药物。据报道,钯(II)配合物具有抗癌潜力。在这项工作中,评估了一系列新型平面正方形钯(II)配合物对MCF-7和MDA-MB-435癌细胞的抗癌活性和诱导细胞死亡的能力。培养MCF-7(乳腺癌)和MDA-MB-435(黑色素瘤)细胞,并用配体和钯(II)配合物进行处理。研究了处理后的细胞生长、迁移和黏附抑制、形态改变、细胞死亡诱导以及DNA相互作用。钯(II)配合物对两种细胞系均表现出短期和长期的抗增殖作用,在SRB测定中细胞生长减少了80%,通过克隆形成测定估计长期增殖被消除。与对照组相比,配合物显著降低(<0.05)细胞迁移和黏附。配合物诱导细胞系形态改变和显著(<0.05)的细胞收缩。诱导细胞死亡,并且配合物能够与DNA相互作用,诱导双链DNA断裂,这可能解释了观察到的配合物对MCF-7和MDA-MB-435细胞的细胞毒性作用。总体而言,这些配合物表现出细胞毒性活性并诱导细胞死亡。这些观察结果强调了钯(II)配合物具有抗癌作用,对改善乳腺癌和黑色素瘤患者的治疗效果具有潜在的治疗价值。

https://cdn.ncbi.nlm.nih.gov/pmc/blobs/0d79/9871269/76354638c4d0/apb-13-160-g001.jpg

文献AI研究员

20分钟写一篇综述,助力文献阅读效率提升50倍。

立即体验

用中文搜PubMed

大模型驱动的PubMed中文搜索引擎

马上搜索

文档翻译

学术文献翻译模型,支持多种主流文档格式。

立即体验