Suppr超能文献

肠免疫细胞和基质金属蛋白酶在炎症性肠病中的作用。

The role of intestinal immune cells and matrix metalloproteinases in inflammatory bowel disease.

机构信息

Nanjing University of Chinese Medicine, Nanjing, China.

Department of Cardiothoracic Surgery, The Third Affiliated Hospital of Soochow University, Changzhou, China.

出版信息

Front Immunol. 2023 Jan 17;13:1067950. doi: 10.3389/fimmu.2022.1067950. eCollection 2022.

Abstract

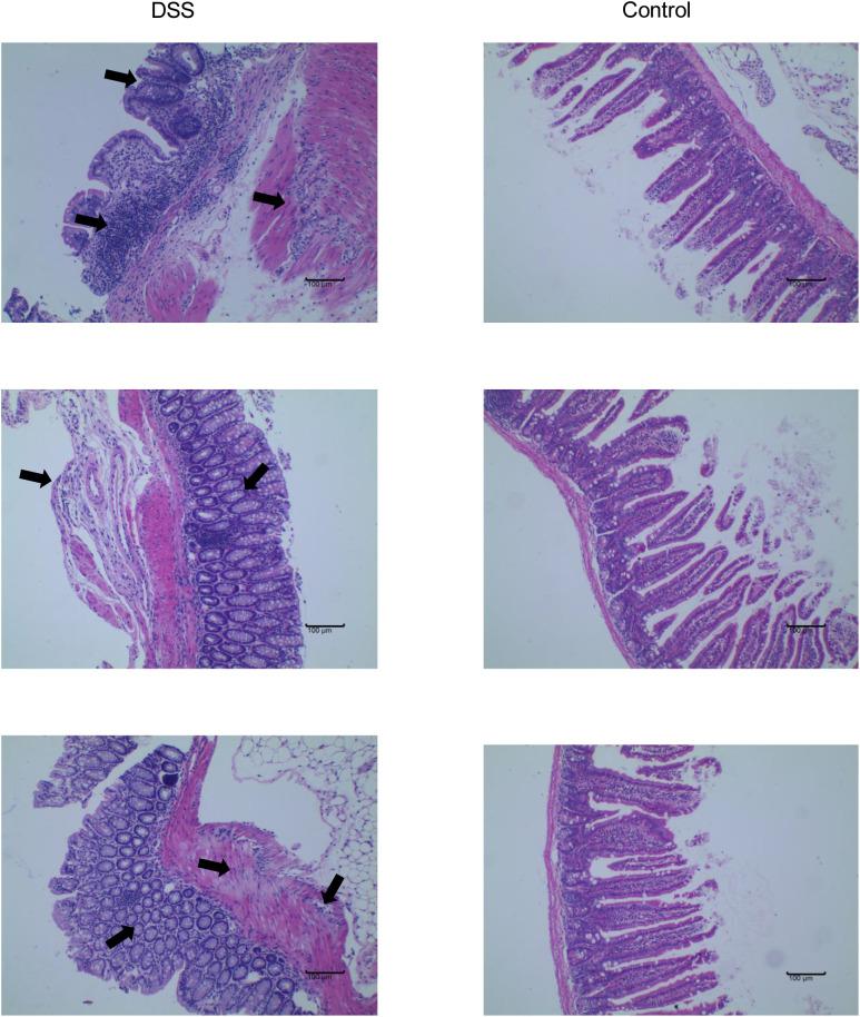
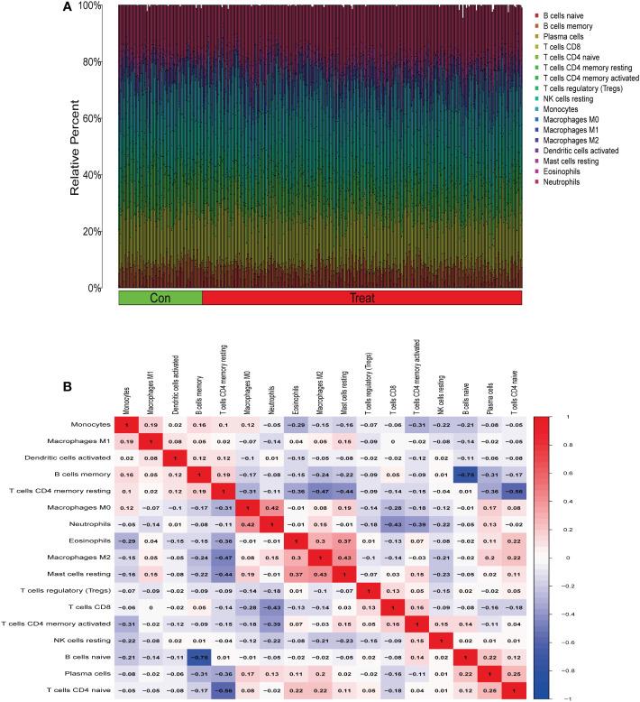
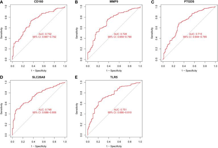
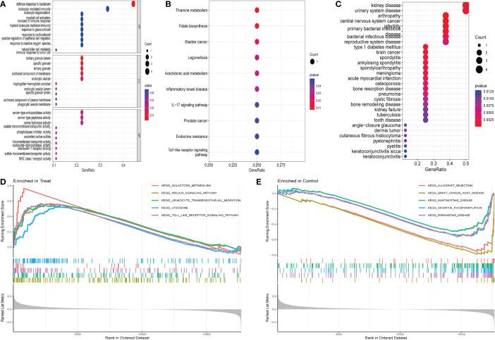
Inflammatory bowel disease (IBD) has become globally intractable. MMPs play a key role in many inflammatory diseases. However, little is known about the role of MMPs in IBD. In this study, IBD expression profiles were screened from public Gene Expression Omnibus datasets. Functional enrichment analysis revealed that IBD-related specific functions were associated with immune pathways. Five MMPS-related disease markers, namely MMP-9, CD160, PTGDS, SLC26A8, and TLR5, were selected by machine learning and the correlation between each marker and immune cells was evaluated. We then induced colitis in C57 mice using sodium dextran sulfate and validated model construction through HE staining of the mouse colon. WB and immunofluorescence experiments confirmed that the expression levels of MMP-9, PTGDS, SLC26A8, and CD160 in colitis were significantly increased, whereas that of TLR5 were decreased. Flow cytometry analysis revealed that MMPs regulate intestinal inflammation and immunity mainly through CD8 in colitis. Our findings reveal that MMPs play a crucial role in the pathogenesis of IBD and are related to the infiltration of immune cells, suggesting that MMPs may promote the development of IBD by activating immune infiltration and the immune response. This study provides insights for further studies on the occurrence and development of IBD.

摘要

炎症性肠病(IBD)已成为全球性难题。基质金属蛋白酶(MMPs)在许多炎症性疾病中发挥着关键作用。然而,关于 MMPs 在 IBD 中的作用知之甚少。在这项研究中,我们从公共基因表达综合数据库中筛选出 IBD 表达谱。功能富集分析表明,IBD 相关的特定功能与免疫途径相关。通过机器学习选择了五个与 MMP 相关的疾病标志物,即 MMP-9、CD160、PTGDS、SLC26A8 和 TLR5,并评估了每个标志物与免疫细胞的相关性。然后,我们使用葡聚糖硫酸钠诱导 C57 小鼠结肠炎,并通过对小鼠结肠的 HE 染色验证模型构建。WB 和免疫荧光实验证实,结肠炎中 MMP-9、PTGDS、SLC26A8 和 CD160 的表达水平显著升高,而 TLR5 的表达水平降低。流式细胞术分析表明,MMPs 通过结肠炎中的 CD8 调节肠道炎症和免疫。我们的研究结果表明,MMPs 在 IBD 的发病机制中起着至关重要的作用,并且与免疫细胞的浸润有关,这表明 MMPs 可能通过激活免疫浸润和免疫反应促进 IBD 的发展。本研究为进一步研究 IBD 的发生和发展提供了思路。

https://cdn.ncbi.nlm.nih.gov/pmc/blobs/0659/9888429/9f115bae5c02/fimmu-13-1067950-g001.jpg

文献AI研究员

20分钟写一篇综述,助力文献阅读效率提升50倍。

立即体验

用中文搜PubMed

大模型驱动的PubMed中文搜索引擎

马上搜索

文档翻译

学术文献翻译模型,支持多种主流文档格式。

立即体验