Suppr超能文献

日粮预处理中药添加剂对后期蛋鸡生产性能、蛋品质、子宫组织病理学变化及抗氧化能力的影响

Effects of dietary pretreated Chinese herbal medicine supplementation on production performance, egg quality, uterine histopathological changes, and antioxidant capacity in late-phase laying hens.

作者信息

Yu Ao-Chuan, Wang Min-An, Chen Li, Long Cheng, Guo Yong, Sheng Xi-Hui, Wang Xiang-Guo, Xing Kai, Xiao Long-Fei, Ni He-Min, Li Jian-Tao, Qi Xiao-Long

机构信息

Animal Science and Technology College, Beijing University of Agriculture, Beijing, China.

Food Science and Engineering College, Beijing University of Agriculture, Beijing, China.

出版信息

Front Physiol. 2023 Jan 20;14:1110301. doi: 10.3389/fphys.2023.1110301. eCollection 2023.

Abstract

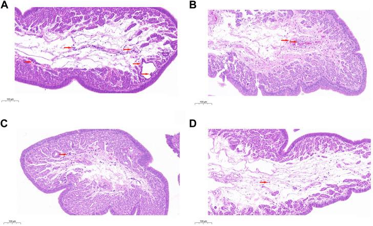
The study aimed to evaluate the effects of pretreated Chinese herbal medicine (PCHM) on egg quality, production performance, histopathological changes in the uterus, antiox idant capacity, and antioxidant gene expression in late-phase layers. Jinghong No.1 layers (n = 360, 68 weeks old) were assigned randomly to one of f our dietary interventions. Each treatment was replicated six times. Repeat 15 chickens per g roup. All birds were fed a diet composed of a corn-soybean meal-based diet supplemented with 0, 0.2, 0.4, or 0.8% PCHM for 6 weeks. Dietary PCHM supplementation had no significant effects on laying rate, feed con sumption, yolk color, and shape index. With increasing PCHM level the Haugh unit linearly increased (P < 0.05). Supplementation of 0.8% PCHM increased egg weight, compared with the control (P < 0.05). PCHM can effectively alleviated the pathological changes caused by aging in the uterus including hemorrhage, and many inflammatory cell infiltrations. Supplementation of 0.4% PCHM increased glutathione peroxidase (GSHPx) in liver, magnum, and plasm considerably, compared with the control (P < 0.05). Supplementation of PCHM decr ease in the liver, magnum, and uterus on malondialdehyde (MDA) content, compared with the control (P < 0.05). Compared with the control group, mRNA expressions of glutathione peroxidase 1 (GPX1), peroxidase 4 (GPX4), catalase (CAT), and nuclear factor E2-related factor 2 (Nrf2) in the magnum, liver, and uterus were dramatically rose in the 0.4% PCHM supplementation group (P < 0.05). In summary, dietary supplementation after PCHM increased egg weight and quality in late-phase laying hens. Dietary PCHM increased the antioxidative capacity of late-phase laying hens, which could be associated with increased mRNA expression of antioxidant enzymes and Nrf2. These findings provide potential for using PCHM to increase the production performance in late-phase laying hens.

摘要

本研究旨在评估预处理中药(PCHM)对后期蛋鸡的蛋品质、生产性能、子宫组织病理学变化、抗氧化能力及抗氧化基因表达的影响。将360只景洪1号蛋鸡(68周龄)随机分为4种日粮处理组之一。每个处理重复6次。每组重复15只鸡。所有鸡均饲喂以玉米-豆粕为基础的日粮,并添加0、0.2、0.4或0.8%的PCHM,持续6周。日粮中添加PCHM对产蛋率、采食量、蛋黄颜色和形状指数无显著影响。随着PCHM水平的升高,哈夫单位呈线性增加(P<0.05)。与对照组相比,添加0.8%PCHM可增加蛋重(P<0.05)。PCHM可有效缓解子宫衰老引起的病理变化,包括出血和大量炎性细胞浸润。与对照组相比,添加0.4%PCHM可显著提高肝脏、输卵管膨大部和血浆中的谷胱甘肽过氧化物酶(GSHPx)含量(P<0.05)。与对照组相比,添加PCHM可降低肝脏、输卵管膨大部和子宫中丙二醛(MDA)的含量(P<0.05)。与对照组相比,在添加0.4%PCHM的组中,输卵管膨大部、肝脏和子宫中谷胱甘肽过氧化物酶1(GPX1)、过氧化物酶4(GPX4)、过氧化氢酶(CAT)和核因子E2相关因子2(Nrf2)的mRNA表达显著升高(P<0.05)。综上所述,日粮中添加PCHM可提高后期蛋鸡的蛋重和品质。日粮中添加PCHM可提高后期蛋鸡的抗氧化能力,这可能与抗氧化酶和Nrf2的mRNA表达增加有关。这些发现为利用PCHM提高后期蛋鸡的生产性能提供了潜力。

https://cdn.ncbi.nlm.nih.gov/pmc/blobs/55d5/9895833/e8f4b7797c0a/fphys-14-1110301-g001.jpg

文献AI研究员

20分钟写一篇综述,助力文献阅读效率提升50倍。

立即体验

用中文搜PubMed

大模型驱动的PubMed中文搜索引擎

马上搜索

文档翻译

学术文献翻译模型,支持多种主流文档格式。

立即体验