Suppr超能文献

军团菌长滩效应蛋白 RavZ 抑制自噬并调节感染期间吞噬体泛素化。

Legionella longbeachae effector protein RavZ inhibits autophagy and regulates phagosome ubiquitination during infection.

机构信息

State Key Laboratory for Zoonotic Diseases, Key Laboratory for Zoonosis Research of the Ministry of Education, College of Veterinary Medicine, Jilin University, Changchun, China.

Purdue Institute for Inflammation, Immunology and Infectious Disease and Department of Biological Sciences, Purdue University, West Lafayette, Indiana, United States of America.

出版信息

PLoS One. 2023 Feb 9;18(2):e0281587. doi: 10.1371/journal.pone.0281587. eCollection 2023.

Abstract

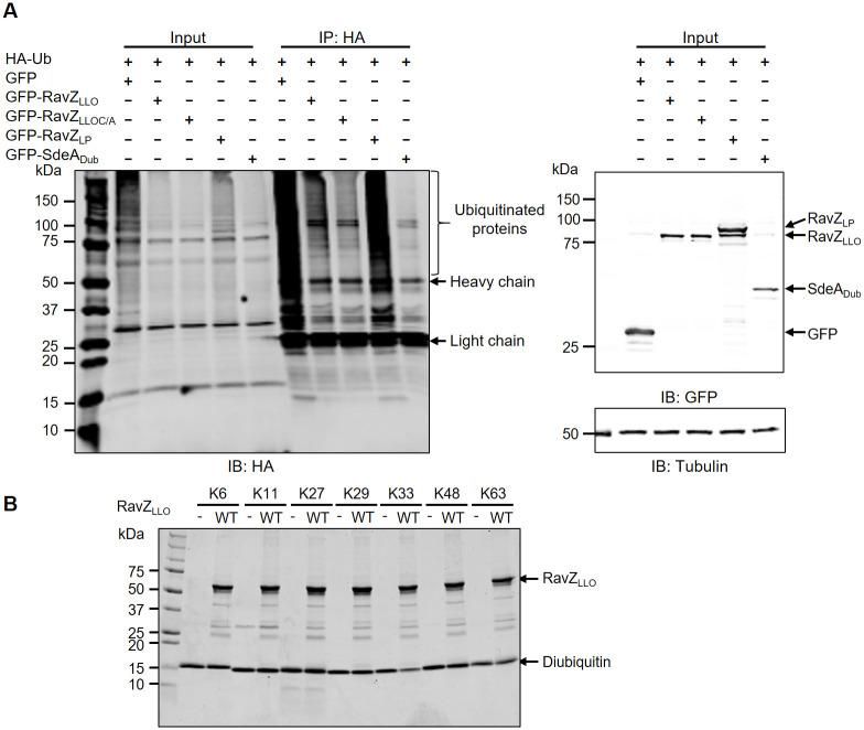
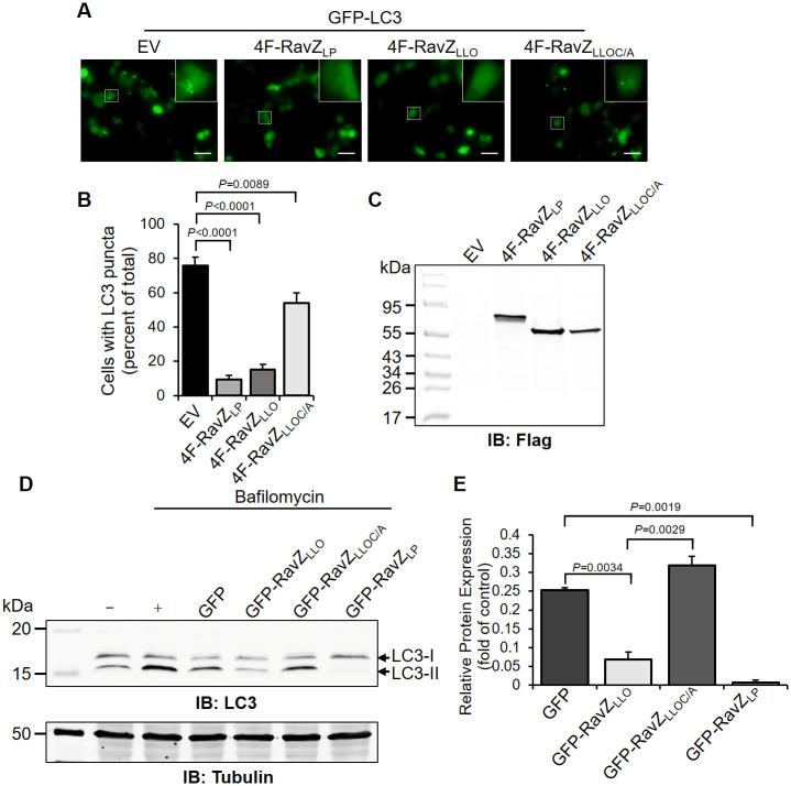
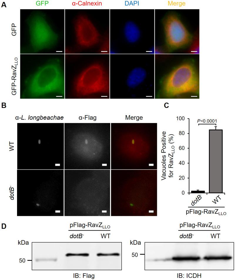
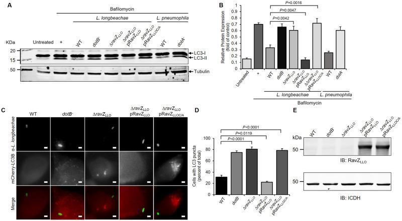
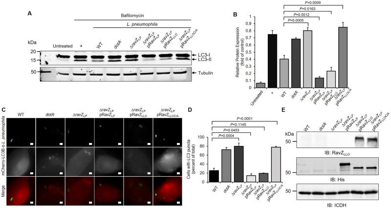
Legionella organisms are ubiquitous environmental bacteria that are responsible for human Legionnaires' disease, a fatal form of severe pneumonia. These bacteria replicate intracellularly in a wide spectrum of host cells within a distinct compartment termed the Legionella-containing vacuole (LCV). Effector proteins translocated by the Dot/Icm apparatus extensively modulate host cellular functions to aid in the biogenesis of the LCV and intracellular proliferation. RavZ is an L. pneumophila effector that functions as a cysteine protease to hydrolyze lipidated LC3, thereby compromising the host autophagic response to bacterial infection. In this study, we characterized the RavZ (RavZLP) ortholog in L. longbeachae (RavZLLO), the second leading cause of Legionella infections in the world. RavZLLO and RavZLP share approximately 60% sequence identity and a conserved His-Asp-Cys catalytic triad. RavZLLO is recognized by the Dot/Icm systems of both L. pneumophila and L. longbeachae. Upon translocation into the host, it suppresses autophagy signaling in cells challenged with both species, indicating the functional redundancy of RavZLLO and RavZLP. Additionally, ectopic expression of RavZLLO but not RavZLP in mammalian cells reduces the levels of cellular polyubiquitinated and polyneddylated proteins. Consistent with this process, RavZLLO regulates the accumulation of polyubiquitinated species on the LCV during L. longbeachae infection.

摘要

军团菌是一种无处不在的环境细菌,可引起人类军团病,这是一种致命性严重肺炎。这些细菌在称为军团菌包含空泡(LCV)的特定隔室中在广泛的宿主细胞内进行细胞内复制。由 Dot/Icm 装置易位的效应蛋白广泛调节宿主细胞功能,以辅助 LCV 的生物发生和细胞内增殖。RavZ 是一种 L. pneumophila 效应蛋白,作为半胱氨酸蛋白酶起作用,可水解脂质化的 LC3,从而损害宿主对细菌感染的自噬反应。在这项研究中,我们对 L. longbeachae 中的 RavZ(RavZLLO)进行了表征,这是世界上导致 Legionella 感染的第二大原因。RavZLLO 和 RavZLP 大约有 60%的序列同一性和保守的 His-Asp-Cys 催化三联体。RavZLLO 被 L. pneumophila 和 L. longbeachae 的 Dot/Icm 系统识别。易位到宿主后,它抑制了两种物种攻击的细胞中的自噬信号,表明 RavZLLO 和 RavZLP 的功能冗余。此外,在哺乳动物细胞中外源表达 RavZLLO 而不是 RavZLP 会降低细胞中多聚泛素化和多聚 neddylated 蛋白的水平。与这一过程一致,RavZLLO 调节 L. longbeachae 感染期间 LCV 上多聚泛素化物质的积累。

https://cdn.ncbi.nlm.nih.gov/pmc/blobs/8c3e/9910735/72e661818f5d/pone.0281587.g001.jpg

文献AI研究员

20分钟写一篇综述,助力文献阅读效率提升50倍。

立即体验

用中文搜PubMed

大模型驱动的PubMed中文搜索引擎

马上搜索

文档翻译

学术文献翻译模型,支持多种主流文档格式。

立即体验