Suppr超能文献

使用下一代测序技术检测致病细菌的磁共振波谱在妇科盆腔脓肿中的临床应用

Clinical utility of MR spectroscopy for gynecological pelvic abscesses using next-generation sequencing technology for the detection of causative bacteria.

作者信息

Nogami Yuya, Banno Kouji, Kobayashi Yusuke, Tominaga Eiichiro, Okuda Shigeo, Aoki Daisuke

机构信息

Department of Obstetrics and Gynecology, Keio University School of Medicine, Tokyo 160-8582, Japan.

Department of Radiology, Keio University School of Medicine, Tokyo 160-8582, Japan.

出版信息

Exp Ther Med. 2023 Jan 12;25(2):96. doi: 10.3892/etm.2023.11796. eCollection 2023 Feb.

Abstract

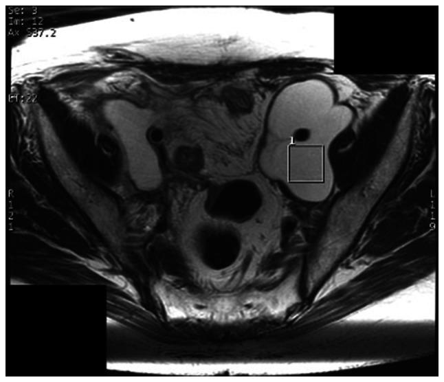
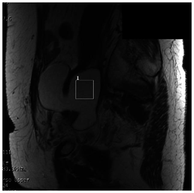
Due to the invasiveness of sample collection, treatment for an abscess in the pelvis, such as a gynecological abscess, is often started without a culture test. A test that could predict the appropriate antibiotic and clinical course without invasiveness prior to treatment initiation would be useful. Magnetic resonance spectroscopy (MRS) can be used to detect metabolites in an abscess and has the potential for evaluation of gynecological abscesses. The present study investigated the use of MRS for the evaluation of gynecological abscesses, using next-generation sequencing (NGS) for detection of true pathogenic bacteria. A total of 16 patients with a gynecological abscess who were treated at Keio University Hospital (Tokyo, Japan) from July 2015 to September 2016 and underwent MRS were recruited to the present study. If available, samples from drainage or surgery were used for detection of true pathogenic bacteria based on analyses of bacterial flora using NGS of 16S ribosomal DNA. MRS signals, NGS results and clinical course were then compared. All patients gave written informed consent after receiving an oral explanation of the study and the study was approved by the institutional research ethics committee. Of the 16 patients, six had MRS signals with a specific peak at 1.33 ppm, which suggested the presence of lipid or lactic acid. However, there was no significant association between metabolism, MRS signals, pathogenesis and clinical course. Only in cases of infectious lymphocele were there cases with a lactic acid peak that seemed to improve without drainage. In conclusion, the present study was not able to show marked usefulness of MRS for the identification of pathogenic bacteria and prediction of the clinical course; however, MRS may be useful for predicting the need for drainage in patients with infectious lymphocele. This study was registered as a clinical trial in the UMIN Clinical Trials Registry (registration no. UMIN000016705) on March 11, 2015.

摘要

由于样本采集具有侵入性,盆腔脓肿(如妇科脓肿)的治疗通常在未进行培养检测的情况下就开始了。一种能够在治疗开始前非侵入性地预测合适抗生素和临床病程的检测方法将很有用。磁共振波谱(MRS)可用于检测脓肿中的代谢物,具有评估妇科脓肿的潜力。本研究使用下一代测序(NGS)检测真正的致病细菌,探讨了MRS在评估妇科脓肿中的应用。2015年7月至2016年9月在庆应义塾大学医院(日本东京)接受治疗并接受MRS检查的16例妇科脓肿患者被纳入本研究。如果有引流或手术样本,基于对16S核糖体DNA的NGS分析细菌菌群,用于检测真正的致病细菌。然后比较MRS信号、NGS结果和临床病程。所有患者在接受研究的口头解释后均签署了书面知情同意书,该研究获得了机构研究伦理委员会的批准。16例患者中,6例MRS信号在1.33 ppm处有特定峰,提示存在脂质或乳酸。然而,代谢、MRS信号、发病机制和临床病程之间没有显著关联。仅在感染性淋巴囊肿病例中,有乳酸峰的病例似乎在未引流的情况下有所改善。总之,本研究未能显示MRS在鉴定致病细菌和预测临床病程方面有显著作用;然而,MRS可能有助于预测感染性淋巴囊肿患者是否需要引流。本研究于2015年3月11日在UMIN临床试验注册中心注册为临床试验(注册号UMIN000016705)。

https://cdn.ncbi.nlm.nih.gov/pmc/blobs/dfda/9905653/0bc08cdf8108/etm-25-02-11796-g00.jpg

文献AI研究员

20分钟写一篇综述,助力文献阅读效率提升50倍。

立即体验

用中文搜PubMed

大模型驱动的PubMed中文搜索引擎

马上搜索

文档翻译

学术文献翻译模型,支持多种主流文档格式。

立即体验