Suppr超能文献

HROP68:一例罕见的胰腺髓样癌——首例患者来源细胞系的特征及化疗敏感性

HROP68: A rare case of medullary pancreatic cancer-characterization and chemosensitivity of the first patient-derived cell line.

作者信息

von den Driesch Jens, Flöttmann Jana, Prall Friedrich, Mullins Christina S, Linnebacher Michael, Bürtin Florian

机构信息

Clinic of General, Visceral, Vascular and Transplantation Surgery, University Medical Center Rostock, University of Rostock, Rostock, Germany.

Institute of Pathology, University Medical Center Rostock, University of Rostock, Rostock, Germany.

出版信息

Front Oncol. 2023 Jan 20;12:1082927. doi: 10.3389/fonc.2022.1082927. eCollection 2022.

Abstract

INTRODUCTION

Medullary pancreatic carcinoma (MPC) is a rare subtype of pancreatic ductal adenocarcinoma. MPCs represent less than 1% of all pancreatic cancers, and, with only 26 cases in the literature, knowledge regarding drug response and treatment outcome is very limited.

MATERIAL AND METHODS

We present the case of a 64-year-old male patient with MPC who was treated by left pancreatic resection and adjuvant chemotherapy. Due to local recurrence, the patient underwent intended curative reoperation. From both surgical specimens, patient-derived xenografts (PDXs) and, from the recurrence, a patient-derived cell line (PDCL) were established. We subsequently performed an in-depth characterization of this cell line including phenotypic characterization, surface protein expression, growth, and migratory performance as well as mutational analysis using whole-exome sequencing (WES). Additionally, drug sensitivity toward the standard-of-care chemotherapeutic regimen and selected targeted therapies was evaluated.

RESULTS

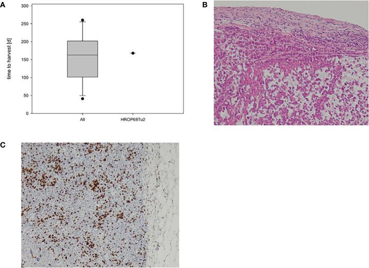
The pathological and molecular properties of this rare MPC case observed in the patient's tumors are preserved in the corresponding PDX and the PDCL of HROP68Tu2. Despite displaying an "immunogenic phenotype" with marked T-cell infiltration and a high-level expression of HLA II and Programmed death-ligand 1 (PD-L1), molecular analysis revealed microsatellite stability but a multitude of mutations affecting KRAS, TP53, KAT6B, FOXG1, RUNX1, and GRIK2 among others. Furthermore, HROP68Tu2 cells were susceptible toward 5-FU, irinotecan, oxaliplatin, gemcitabine, paclitaxel, and erlotinib as single agents, but only a moderate synergistic response was seen to the drugs of the FOLFIRINOX regimen. Even worse, the drugs of the two combinations gemcitabine plus paclitaxel and gemcitabine plus erlotinib showed antagonistic effects. Moreover, lapatinib, PRIMA-Met1, and olaparib selected as targeted therapeutics according to the mutational profiles and protein expression inhibited HROP68Tu2 cells' growth.

CONCLUSION

This study illustrates the establishment of the first preclinical MPC models as well as the first in-depth characterization of an MPC PDCL. Since the scientific and clinical knowledge of this rare pancreatic cancer type is very limited, the presented models contribute to a better understanding of MPC and might be a valuable tool for the development of future treatment options.

摘要

引言

胰腺髓样癌(MPC)是胰腺导管腺癌的一种罕见亚型。MPC在所有胰腺癌中所占比例不到1%,且文献中仅有26例报道,因此关于其药物反应和治疗结果的知识非常有限。

材料与方法

我们报告了一例64岁男性MPC患者的病例,该患者接受了左胰腺切除术和辅助化疗。由于局部复发,患者接受了旨在根治的再次手术。从两份手术标本中分别建立了患者来源的异种移植模型(PDXs),并从复发部位建立了患者来源的细胞系(PDCL)。随后,我们对该细胞系进行了深入表征,包括表型表征、表面蛋白表达、生长和迁移性能,以及使用全外显子测序(WES)进行突变分析。此外,还评估了其对标准护理化疗方案和选定靶向治疗药物的敏感性。

结果

在患者肿瘤中观察到的这种罕见MPC病例的病理和分子特性在相应的PDX和HROP68Tu2的PDCL中得以保留。尽管表现出“免疫原性表型”,伴有明显的T细胞浸润以及高水平的HLA II和程序性死亡配体1(PD-L1)表达,但分子分析显示微卫星稳定,但存在大量影响KRAS、TP53、KAT6B、FOXG1、RUNX1和GRIK2等基因的突变。此外,HROP68Tu2细胞对5-氟尿嘧啶、伊立替康、奥沙利铂、吉西他滨、紫杉醇和厄洛替尼等单一药物敏感,但对FOLFIRINOX方案中的药物仅表现出中等程度的协同反应。更糟糕的是,吉西他滨加紫杉醇和吉西他滨加厄洛替尼这两种联合用药表现出拮抗作用。此外,根据突变谱和蛋白表达选择的靶向治疗药物拉帕替尼、PRIMA-Met1和奥拉帕尼抑制了HROP68Tu2细胞的生长。

结论

本研究阐述了首个临床前MPC模型的建立以及对MPC PDCL的首次深入表征。由于这种罕见胰腺癌类型的科学和临床知识非常有限,所建立的模型有助于更好地理解MPC,并可能成为未来开发治疗方案的宝贵工具。

https://cdn.ncbi.nlm.nih.gov/pmc/blobs/6eac/9904236/b05d17ce3e1b/fonc-12-1082927-g001.jpg

文献AI研究员

20分钟写一篇综述,助力文献阅读效率提升50倍。

立即体验

用中文搜PubMed

大模型驱动的PubMed中文搜索引擎

马上搜索

文档翻译

学术文献翻译模型,支持多种主流文档格式。

立即体验