Suppr超能文献

饮食诱导的细菌代谢物通过维生素 D 途径减少炎症和炎症相关的癌症。

Dietary-Induced Bacterial Metabolites Reduce Inflammation and Inflammation-Associated Cancer via Vitamin D Pathway.

机构信息

APC Microbiome Ireland, University College Cork, T12 YT20 Cork, Ireland.

School of Microbiology, University College Cork, T12 YT20 Cork, Ireland.

出版信息

Int J Mol Sci. 2023 Jan 18;24(3):1864. doi: 10.3390/ijms24031864.

Abstract

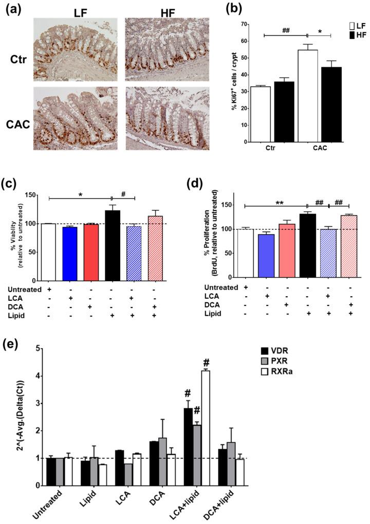
Environmental factors, including westernised diets and alterations to the gut microbiota, are considered risk factors for inflammatory bowel diseases (IBD). The mechanisms underpinning diet-microbiota-host interactions are poorly understood in IBD. We present evidence that feeding a lard-based high-fat (HF) diet can protect mice from developing DSS-induced acute and chronic colitis and colitis-associated cancer (CAC) by significantly reducing tumour burden/incidence, immune cell infiltration, cytokine profile, and cell proliferation. We show that HF protection was associated with increased gut microbial diversity and a significant reduction in Proteobacteria and an increase in Firmicutes and cluster XIVa abundance. Microbial functionality was modulated in terms of signalling fatty acids and bile acids (BA). Faecal secondary BAs were significantly induced to include moieties that can activate the vitamin D receptor (VDR), a nuclear receptor richly represented in the intestine and colon. Indeed, colonic VDR downstream target genes were upregulated in HF-fed mice and in combinatorial lipid-BAs-treated intestinal HT29 epithelial cells. Collectively, our data indicate that HF diet protects against colitis and CAC risk through gut microbiota and BA metabolites modulating vitamin D targeting pathways. Our data highlights the complex relationship between dietary fat-induced alterations of microbiota-host interactions in IBD/CAC pathophysiology.

摘要

环境因素,包括西式饮食和肠道微生物群的改变,被认为是炎症性肠病(IBD)的危险因素。IBD 中饮食-微生物群-宿主相互作用的机制尚不清楚。我们提出的证据表明,通过显著降低肿瘤负担/发生率、免疫细胞浸润、细胞因子谱和细胞增殖,用猪油为基础的高脂肪(HF)饮食喂养可以保护小鼠免受 DSS 诱导的急性和慢性结肠炎和结肠炎相关癌症(CAC)的发生。我们发现 HF 保护与肠道微生物多样性增加有关,同时显著减少变形菌门和增加厚壁菌门和 14 群的丰度。微生物功能在信号脂肪酸和胆汁酸(BA)方面发生了调节。粪便次级 BA 显著诱导,包括可以激活维生素 D 受体(VDR)的部分,VDR 在肠道和结肠中大量存在。事实上,HF 喂养的小鼠和组合脂质-BA 处理的肠道 HT29 上皮细胞中,结肠 VDR 下游靶基因上调。总的来说,我们的数据表明 HF 饮食通过调节维生素 D 靶向途径的肠道微生物群和 BA 代谢物来预防结肠炎和 CAC 风险。我们的数据强调了饮食脂肪诱导的 IBD/CAC 发病机制中微生物群-宿主相互作用改变之间的复杂关系。

https://cdn.ncbi.nlm.nih.gov/pmc/blobs/1020/9914969/340343a5b3ab/ijms-24-01864-g001.jpg

文献AI研究员

20分钟写一篇综述,助力文献阅读效率提升50倍。

立即体验

用中文搜PubMed

大模型驱动的PubMed中文搜索引擎

马上搜索

文档翻译

学术文献翻译模型,支持多种主流文档格式。

立即体验