Suppr超能文献

组成型雄烷受体激动剂 TCPOBOP:母体暴露会损害雌性后代在小鼠中的生长和发育。

Constitutive Androstane Receptor Agonist, TCPOBOP: Maternal Exposure Impairs the Growth and Development of Female Offspring in Mice.

机构信息

Beijing Key Laboratory of Gene Resource and Molecular Development, College of Life Sciences, Beijing Normal University, Beijing 100875, China.

Key Laboratory for Cell Proliferation and Regulation Biology of State Education Ministry, College of Life Sciences, Beijing Normal University, Beijing 100875, China.

出版信息

Int J Mol Sci. 2023 Jan 30;24(3):2602. doi: 10.3390/ijms24032602.

Abstract

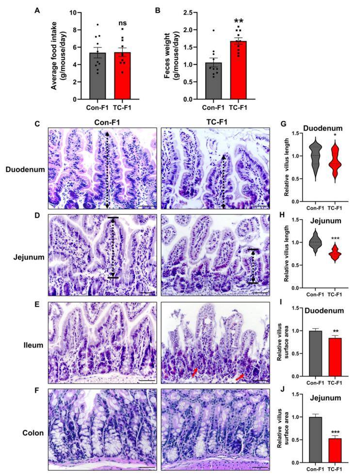
Environmental chemicals, which are known to impact offspring health, have become a public concern. Constitutive activated receptor (CAR) is activated by various environmental chemicals and participates in xenobiotic metabolism. Here, we described the effects of maternal exposure to the CAR-specific ligand 1,4-bis[2-(3,5-dichloropyridyloxy)] benzene (TCPOBOP, TC) on offspring health outcomes. Maternal TC exposure exhibited a stronger inhibition of body weight in 3-week-old and 8-week-old first-generation (F1) offspring female mice compared to controls. Further, maternal TC exposure obtained a strong increase in hepatic drug-metabolizing enzyme expression in 3-week-old female mice that persisted into 8-week-old adulthood. Interestingly, we observed distorted intestinal morphological features in 8-week-old F1 female mice in the TC-exposed group. Moreover, maternal TC exposure triggered a loss of intestinal barrier integrity by reducing the expression of intestinal tight junction proteins. Accordingly, maternal exposure to TC down-regulated serum triglyceride levels as well as decreased the expression of intestinal lipid uptake and transport marker genes. Mechanistically, maternal TC exposure activated the intestinal inflammatory response and disrupted the antioxidant system in the offspring female mice, thereby impeding the intestinal absorption of nutrients and seriously threatening offspring health. Altogether, these findings highlight that the effects of maternal TC exposure on offspring toxicity could not be ignored.

摘要

环境化学物质已知会影响后代健康,已成为公众关注的焦点。组成型激活受体 (CAR) 被各种环境化学物质激活,并参与外源性代谢。在这里,我们描述了母体暴露于 CAR 特异性配体 1,4-双[2-(3,5-二氯吡啶氧基)]苯(TCPOBOP,TC)对后代健康结果的影响。与对照组相比,母体 TC 暴露在 3 周龄和 8 周龄第一代(F1)雌性小鼠中表现出更强的体重抑制作用。此外,母体 TC 暴露在 3 周龄雌性小鼠中强烈增加了肝药物代谢酶的表达,这种表达持续到 8 周龄成年期。有趣的是,我们观察到暴露于 TC 的 8 周龄 F1 雌性小鼠的肠道形态特征发生了扭曲。此外,母体 TC 暴露通过降低肠道紧密连接蛋白的表达,引发肠道屏障完整性的破坏。相应地,母体 TC 暴露降低了血清甘油三酯水平,并下调了肠道脂质摄取和转运标记基因的表达。从机制上讲,母体 TC 暴露激活了肠道炎症反应并破坏了雌性幼鼠的抗氧化系统,从而阻碍了营养物质的肠道吸收,严重威胁着后代的健康。总之,这些发现强调了母体 TC 暴露对后代毒性的影响不容忽视。

https://cdn.ncbi.nlm.nih.gov/pmc/blobs/f457/9917268/0348868fb151/ijms-24-02602-g001.jpg

文献AI研究员

20分钟写一篇综述,助力文献阅读效率提升50倍。

立即体验

用中文搜PubMed

大模型驱动的PubMed中文搜索引擎

马上搜索

文档翻译

学术文献翻译模型,支持多种主流文档格式。

立即体验