Suppr超能文献

Circ_0000182通过靶向miR-579-3p/SQLE轴促进胃腺癌细胞的胆固醇合成和增殖。

Circ_0000182 promotes cholesterol synthesis and proliferation of stomach adenocarcinoma cells by targeting miR-579-3p/SQLE axis.

作者信息

Qian Cui-Juan, Zhou Yu-Xin, Wu Lin-Ken, Wang Yi-Chao, Teng Xiao-Sheng, Yao Jun

机构信息

Early Gastrointestinal Cancer Research Center, Taizhou Central Hospital (Taizhou University Hospital), Taizhou University, Taizhou, 318000, Zhejiang Province, China.

School of Medicine, Taizhou University, Taizhou, 318000, Zhejiang Province, China.

出版信息

Discov Oncol. 2023 Feb 20;14(1):22. doi: 10.1007/s12672-023-00630-5.

Abstract

BACKGROUND

Circular RNAs (circRNAs) or cholesterol metabolism have been demonstrated to participate in stomach adenocarcinoma (STAD) progression. However, the relationship between circRNAs and cholesterol metabolism in STAD and its underlined mechanism remain unclear.

METHODS

RNA and protein expression levels were detected by qRT-PCR and Western blot. Cell proliferation was assessed by CCK-8, EdU incorporation and colony formation assays. Total cholesterol (TC) and free cholesterol (FC) levels were measured by the corresponding kits. The relationships between circ_0000182 and miR-579-3p or squalene epoxidase (SQLE) mRNA were investigated by bioinformatics analysis, RNA-RNA pull-down, luciferase reporter and RIP assays.

RESULTS

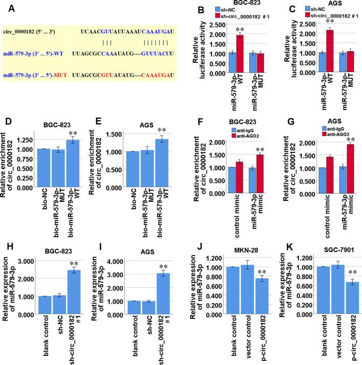
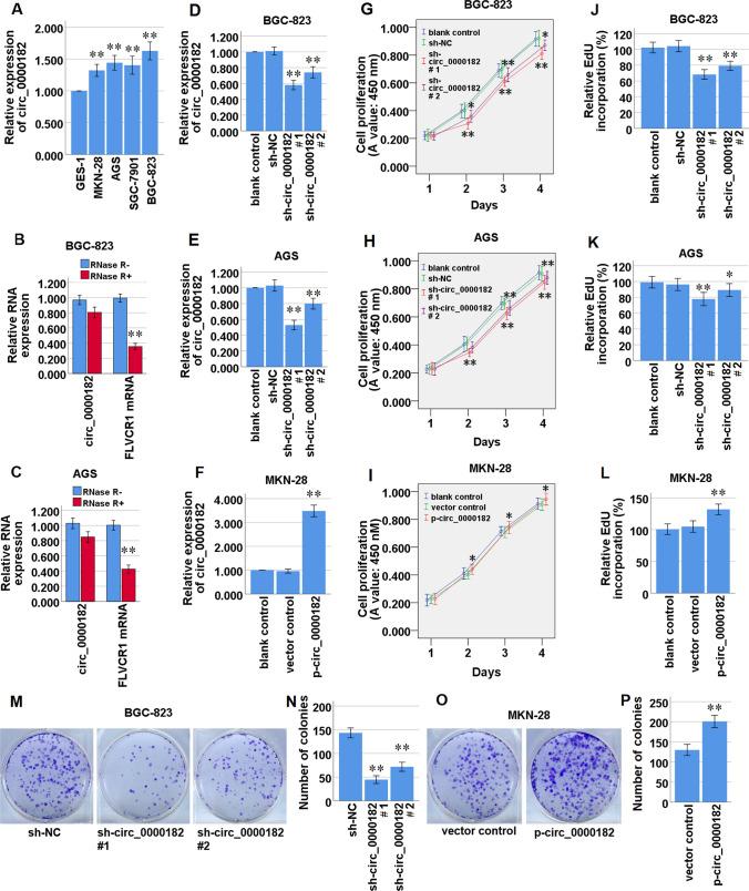
We found that circ_0000182 expression was significantly up-regulated in both STAD tissues and cell lines, and high circ_0000182 expression was correlated with increased tumor size. Circ_0000182 promoted cell proliferation and cholesterol synthesis of STAD cells. Accordingly, cell proliferation, cholesterol synthesis and SQLE expression were significantly inhibited by circ_0000182 knockdown in STAD cells, and these effects were partly reversed by miR-579-3p inhibition or SQLE over-expression. Furthermore, we identified that circ_0000182 acted as a competing endogenous RNA (ceRNA) by sponging miR-579-3p, thereby facilitating SQLE expression, cholesterol synthesis and cell proliferation.

CONCLUSION

Circ_0000182 promotes cholesterol synthesis and proliferation of STAD cells by enhancing SQLE expression via sponging miR-579-3p.

摘要

背景

环状RNA(circRNAs)或胆固醇代谢已被证明参与胃腺癌(STAD)的进展。然而,STAD中circRNAs与胆固醇代谢之间的关系及其潜在机制仍不清楚。

方法

通过qRT-PCR和蛋白质免疫印迹法检测RNA和蛋白质表达水平。通过CCK-8、EdU掺入和集落形成试验评估细胞增殖。用相应试剂盒测量总胆固醇(TC)和游离胆固醇(FC)水平。通过生物信息学分析、RNA-RNA下拉、荧光素酶报告基因和RIP试验研究circ_0000182与miR-579-3p或角鲨烯环氧酶(SQLE)mRNA之间的关系。

结果

我们发现circ_0000182在STAD组织和细胞系中的表达均显著上调,且circ_0000182高表达与肿瘤大小增加相关。Circ_0000182促进STAD细胞的增殖和胆固醇合成。因此,在STAD细胞中敲低circ_0000182可显著抑制细胞增殖、胆固醇合成和SQLE表达,而miR-579-3p抑制或SQLE过表达可部分逆转这些作用。此外,我们发现circ_0000182通过海绵吸附miR-579-3p作为竞争性内源性RNA(ceRNA),从而促进SQLE表达、胆固醇合成和细胞增殖。

结论

Circ_0000182通过海绵吸附miR-579-3p增强SQLE表达,促进STAD细胞的胆固醇合成和增殖。

https://cdn.ncbi.nlm.nih.gov/pmc/blobs/6094/9941389/45ba3a413469/12672_2023_630_Fig1_HTML.jpg

文献AI研究员

20分钟写一篇综述,助力文献阅读效率提升50倍。

立即体验

用中文搜PubMed

大模型驱动的PubMed中文搜索引擎

马上搜索

文档翻译

学术文献翻译模型,支持多种主流文档格式。

立即体验