Suppr超能文献

非体外循环冠状动脉旁路移植手术中的血液动力学管理:安全实施和故障排除的适当目标的叙述性综述。

Hemodynamic management during off-pump coronary artery bypass surgery: a narrative review of proper targets for safe execution and troubleshooting.

机构信息

Department of Anesthesiology and Pain Medicine, and Anesthesia and Pain Research Institute, Yonsei University College of Medicine, Seoul, Korea.

Department of Anesthesiology, Université de Montréal, Montreal, Canada.

出版信息

Korean J Anesthesiol. 2023 Aug;76(4):267-279. doi: 10.4097/kja.23103. Epub 2023 Feb 24.

Abstract

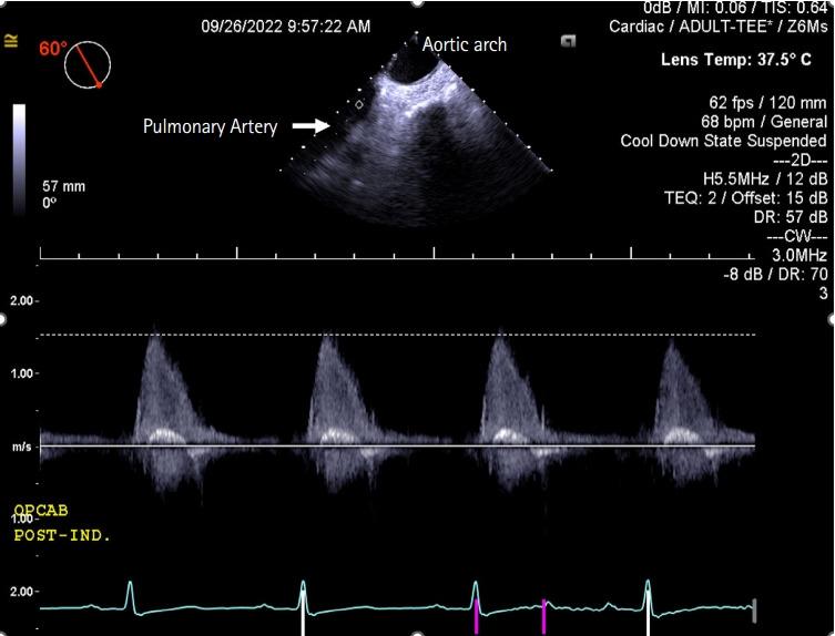
Off-pump coronary surgery requires mechanical cardiac displacement, which results in bi-ventricular systolic and diastolic dysfunction. Although transient, subsequent hemodynamic deterioration can be associated with poor prognosis and, in extreme cases, emergency conversion to on-pump surgery, which is associated with high morbidity and mortality. Thus, appropriate decision-making regarding whether the surgery can be proceeded based on objective hemodynamic targets is essential before coronary arteriotomy. For adequate hemodynamic management, avoiding myocardial oxygen supply-demand imbalance, which includes maintaining mean arterial pressure above 70 mmHg and preventing an increase in oxygen demand beyond the patient's coronary reserve, must be prioritized. Maintaining mixed venous oxygen saturation above 60%, which reflects the lower limit of adequate global oxygen supply-demand balance, is also essential. Above all, severe mechanical cardiac displacement incurring compressive syndromes, which cannot be overcome by adjusting major determinants of cardiac output, should be avoided. An uncompromising form of cardiac constraint can be ruled out as long as the central venous pressure is not equal to or greater than the pulmonary artery diastolic (or occlusion) pressure, as this would reflect tamponade physiology. In addition, transesophageal echocardiography should be conducted to rule out mechanical cardiac displacement-induced ventricular interdependence, dyskinesia, severe mitral regurgitation, and left ventricular outflow tract obstruction with or without systolic motion of the anterior leaflet of the mitral valve, which cannot be tolerated during grafting. Finally, the ascending aorta should be carefully inspected for gas bubbles to prevent hemodynamic collapse caused by a massive gas embolism obstructing the right coronary ostium.

摘要

非体外循环冠状动脉手术需要机械性心脏移位,这会导致双心室收缩和舒张功能障碍。尽管是暂时的,但随后的血液动力学恶化可能与预后不良有关,在极端情况下,可能需要紧急转为体外循环手术,这与高发病率和死亡率有关。因此,在进行冠状动脉切开术之前,根据客观的血液动力学目标,对是否可以进行手术做出适当的决策至关重要。为了进行适当的血液动力学管理,必须优先避免心肌氧供需失衡,包括将平均动脉压维持在 70mmHg 以上,并防止氧需求超过患者的冠状动脉储备增加。保持混合静脉血氧饱和度在 60%以上,这反映了足够的整体氧供需平衡的下限,也是至关重要的。首先,应避免发生严重的机械性心脏移位导致的压迫综合征,这些压迫综合征不能通过调整心输出量的主要决定因素来克服。只要中心静脉压不等于或大于肺动脉舒张(或闭塞)压,就可以排除不妥协的心包填塞的形式,因为这反映了填塞生理学。此外,应进行经食管超声心动图检查,以排除机械性心脏移位引起的心室相互依赖、运动障碍、严重二尖瓣反流以及左心室流出道梗阻伴或不伴有二尖瓣前叶的收缩运动,这些在进行移植时是无法耐受的。最后,应仔细检查升主动脉是否有气泡,以防止大量气体栓塞阻塞右冠状动脉口导致血液动力学崩溃。

https://cdn.ncbi.nlm.nih.gov/pmc/blobs/fca7/10391074/e929295ac3b1/kja-23103f1.jpg

文献AI研究员

20分钟写一篇综述,助力文献阅读效率提升50倍。

立即体验

用中文搜PubMed

大模型驱动的PubMed中文搜索引擎

马上搜索

文档翻译

学术文献翻译模型,支持多种主流文档格式。

立即体验