Suppr超能文献

罕见的老年嗜酸性肉芽肿性多血管炎诊断:一例报告

A Rare Geriatric Diagnosis of Eosinophilic Granulomatosis With Polyangiitis: A Case Report.

作者信息

Emidio Fábio C, Pereira Rafaela C, Martins Frederico R, Marques Roberto C, Martins Teresa

机构信息

Internal Medicine Department, Centro Hospitalar Universitário do Algarve - Hospital de Faro, Faro, PRT.

Rheumatology Department, Centro Hospitalar Universitário do Algarve - Hospital de Faro, Faro, PRT.

出版信息

Cureus. 2023 Feb 24;15(2):e35398. doi: 10.7759/cureus.35398. eCollection 2023 Feb.

Abstract

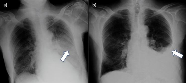
Eosinophilic granulomatosis with polyangiitis (EGPA) is a rare form of systemic disease characterized by inflammation and necrotizing effects of the small and medium blood vessels. It is a vasculitis found in all age groups and both genders, although its etiology is unknown. The mean age at diagnosis is 40 years, consisting of an uncommon cause of vasculitis in people older than 65 years. It is the least common of the three antineutrophil cytoplasmic antibody (ANCA)-associated vasculitis (EGPA, granulomatosis with polyangiitis (GPA), and microscopic polyangiitis). The characteristic features of EGPA include extravascular eosinophilic granulomas, peripheral eosinophilia, and asthma, usually responsive to steroid treatment. In this article, we discuss a case of an 83-year-old male with a history of undetermined etiology of chronic kidney disease, chronic obstructive pulmonary disease (COPD), and severe chronic rhinosinusitis with nasal polyposis. First hospitalized with the suspicion of community-acquired pneumonia (CAP), based on worsening blood eosinophilia and unresolving respiratory symptoms, a suspicion for EGPA was raised. The development of an eosinophilic pleural effusion, later upon admission, was a predominant factor for its confirmation, as it constitutes a rare finding, only present in about 30% of patients. Laboratory tests showed elevated IgE, the presence of antineutrophil cytoplasmic antibodies directed against myeloperoxidase with a perinuclear staining pattern (ANCA-MPO), and the absence of antiproteinase 3 (anti-PR3) ANCA, which were consistent with the diagnosis. A pleural biopsy was then made, revealing fibrosis with the presence of eosinophils, although with no evidence of granulomas. According to the most recent and accepted classification criteria, the "2022 American College of Rheumatology and European Alliance of Associations for Rheumatology (ACR/EULAR) for EGPA," this patient presented with a score of 13 (a score greater than or equal to 6 is needed for the classification of EGPA). Hence, a diagnosis of EGPA was assumed, and the patient was initiated on corticosteroid therapy, with a favorable response. The aim of this article is to present a rare case of EGPA diagnosis made at the age of 83 years old, although there was evidence that could point to this disease years before the diagnosis was made. In the present case, it is important to point out the long diagnostic delay in a geriatric patient, much older than the median age of diagnosis for EGPA, culminating in a curious case of uncommon pleuroparenchymal involvement.

摘要

嗜酸性肉芽肿性多血管炎(EGPA)是一种罕见的全身性疾病,其特征是中小血管的炎症和坏死效应。它是一种在所有年龄组和男女中均可发现的血管炎,尽管其病因尚不清楚。诊断时的平均年龄为40岁,是65岁以上人群血管炎的罕见病因。它是三种抗中性粒细胞胞浆抗体(ANCA)相关性血管炎(EGPA、肉芽肿性多血管炎(GPA)和显微镜下多血管炎)中最不常见的一种。EGPA的特征包括血管外嗜酸性肉芽肿、外周嗜酸性粒细胞增多和哮喘,通常对类固醇治疗有反应。在本文中,我们讨论了一例83岁男性患者,他有慢性肾脏病、慢性阻塞性肺疾病(COPD)和伴有鼻息肉的严重慢性鼻窦炎病史,病因不明。最初因疑似社区获得性肺炎(CAP)住院,基于血嗜酸性粒细胞增多加重和呼吸道症状未缓解,怀疑为EGPA。入院后出现嗜酸性胸腔积液,这是确诊的主要因素,因为这是一个罕见的发现,仅在约30%的患者中出现。实验室检查显示IgE升高、存在针对髓过氧化物酶的抗中性粒细胞胞浆抗体且呈核周染色模式(ANCA-MPO),以及不存在抗蛋白酶3(抗PR3)ANCA,这些均与诊断相符。随后进行了胸膜活检,显示有嗜酸性粒细胞存在的纤维化,但无肉芽肿证据。根据最新且被认可的分类标准,即“2022年美国风湿病学会和欧洲风湿病联盟协会(ACR/EULAR)关于EGPA的标准”,该患者评分为13分(EGPA分类需要评分大于或等于6分)。因此,假定诊断为EGPA,并开始对患者进行皮质类固醇治疗,反应良好。本文的目的是介绍一例83岁时诊断为EGPA的罕见病例,尽管有证据表明在确诊前数年就可能指向该疾病。在本病例中,重要的是指出老年患者诊断延迟时间长,远高于EGPA诊断的中位年龄,最终导致了一例罕见的胸膜实质受累的奇特病例。

https://cdn.ncbi.nlm.nih.gov/pmc/blobs/4e39/9957578/9a354b15d3d7/cureus-0015-00000035398-i01.jpg

文献AI研究员

20分钟写一篇综述,助力文献阅读效率提升50倍。

立即体验

用中文搜PubMed

大模型驱动的PubMed中文搜索引擎

马上搜索

文档翻译

学术文献翻译模型,支持多种主流文档格式。

立即体验