Suppr超能文献

一种大流行COVID-19疫苗的毒理学评估——证明平台方法对mRNA疫苗的适用性

Toxicological Assessments of a Pandemic COVID-19 Vaccine-Demonstrating the Suitability of a Platform Approach for mRNA Vaccines.

作者信息

Rohde Cynthia M, Lindemann Claudia, Giovanelli Michael, Sellers Rani S, Diekmann Jan, Choudhary Shambhunath, Ramaiah Lila, Vogel Annette B, Chervona Yana, Muik Alexander, Sahin Ugur

机构信息

Drug Safety Research and Development, Pfizer Worldwide Research, Development & Medical, Pfizer, Inc., Pearl River, NY 10965, USA.

BioNTech SE, 55131 Mainz, Germany.

出版信息

Vaccines (Basel). 2023 Feb 11;11(2):417. doi: 10.3390/vaccines11020417.

Abstract

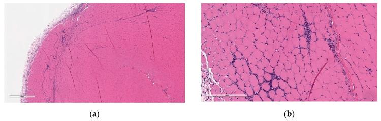
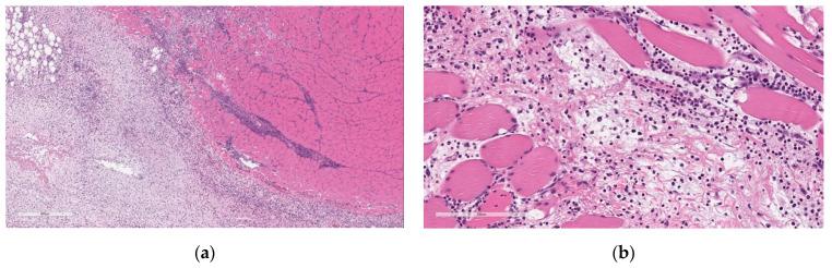
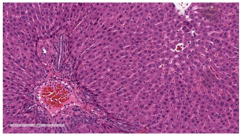
The emergence of SARS-CoV-2 at the end of 2019 required the swift development of a vaccine to address the pandemic. Nonclinical GLP-compliant studies in Wistar Han rats were initiated to assess the local tolerance, systemic toxicity, and immune response to four mRNA vaccine candidates encoding immunogens derived from the spike (S) glycoprotein of SARS-CoV-2, encapsulated in lipid nanoparticles (LNPs). Vaccine candidates were administered intramuscularly once weekly for three doses at 30 and/or 100 µg followed by a 3-week recovery period. Clinical pathology findings included higher white blood cell counts and acute phase reactant concentrations, lower platelet and reticulocyte counts, and lower RBC parameters. Microscopically, there was increased cellularity (lymphocytes) in the lymph nodes and spleen, increased hematopoiesis in the bone marrow and spleen, acute inflammation and edema at the injection site, and minimal hepatocellular vacuolation. These findings were generally attributed to the anticipated immune and inflammatory responses to the vaccines, except for hepatocyte vacuolation, which was interpreted to reflect hepatocyte LNP lipid uptake, was similar between candidates and resolved or partially recovered at the end of the recovery phase. These studies demonstrated safety and tolerability in rats, supporting SARS-CoV-2 mRNA-LNP vaccine clinical development.

摘要

2019年末严重急性呼吸综合征冠状病毒2(SARS-CoV-2)的出现促使迅速研发一种疫苗来应对这一疫情。在Wistar Han大鼠中开展了符合非临床GLP规范的研究,以评估对四种mRNA候选疫苗的局部耐受性、全身毒性和免疫反应。这四种候选疫苗编码源自SARS-CoV-2刺突(S)糖蛋白的免疫原,封装于脂质纳米颗粒(LNP)中。候选疫苗每周肌肉注射一次,共三剂,剂量为30和/或100µg,随后有3周的恢复期。临床病理学结果包括白细胞计数和急性期反应物浓度升高、血小板和网织红细胞计数降低以及红细胞参数降低。在显微镜下,淋巴结和脾脏中的细胞增多(淋巴细胞)、骨髓和脾脏中的造血增加、注射部位出现急性炎症和水肿,肝细胞出现轻微空泡化。除肝细胞空泡化外,这些结果通常归因于对疫苗预期的免疫和炎症反应。肝细胞空泡化被解释为反映肝细胞对LNP脂质的摄取,在各候选疫苗之间相似,并在恢复期结束时消退或部分恢复。这些研究证明了该疫苗在大鼠中的安全性和耐受性,支持了SARS-CoV-2 mRNA-LNP疫苗的临床开发。

https://cdn.ncbi.nlm.nih.gov/pmc/blobs/0da9/9965811/2b219dcd9003/vaccines-11-00417-g001.jpg

文献AI研究员

20分钟写一篇综述,助力文献阅读效率提升50倍。

立即体验

用中文搜PubMed

大模型驱动的PubMed中文搜索引擎

马上搜索

文档翻译

学术文献翻译模型,支持多种主流文档格式。

立即体验