Suppr超能文献

HIV-1 Gag 通过 EPRS 亚基结合多氨酰-tRNA 合成酶复合物。

HIV-1 Gag Binds the Multi-Aminoacyl-tRNA Synthetase Complex via the EPRS Subunit.

机构信息

Department of Chemistry and Biochemistry, Center for Retrovirus Research, Center for RNA Biology, Ohio State University, Columbus, OH 43210, USA.

Departments of Biochemistry and Molecular Biophysics, and Microbiology and Immunology, Columbia University Medical Center, New York, NY 10032, USA.

出版信息

Viruses. 2023 Feb 8;15(2):474. doi: 10.3390/v15020474.

Abstract

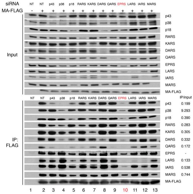
Host factor tRNAs facilitate the replication of retroviruses such as human immunodeficiency virus type 1 (HIV-1). HIV-1 uses human tRNA as the primer for reverse transcription, and the assembly of HIV-1 structural protein Gag at the plasma membrane (PM) is regulated by matrix (MA) domain-tRNA interactions. A large, dynamic multi-aminoacyl-tRNA synthetase complex (MSC) exists in the cytosol and consists of eight aminoacyl-tRNA synthetases (ARSs) and three other cellular proteins. Proteomic studies to identify HIV-host interactions have identified the MSC as part of the HIV-1 Gag and MA interactomes. Here, we confirmed that the MA domain of HIV-1 Gag forms a stable complex with the MSC, mapped the primary interaction site to the linker domain of bi-functional human glutamyl-prolyl-tRNA synthetase (EPRS), and showed that the MA-EPRS interaction was RNA dependent. MA mutations that significantly reduced the EPRS interaction reduced viral infectivity and mapped to MA residues that also interact with phosphatidylinositol-(4,5)-bisphosphate. Overexpression of EPRS or EPRS fragments did not affect susceptibility to HIV-1 infection, and knockdown of EPRS reduced both a control reporter gene and HIV-1 protein translation. EPRS knockdown resulted in decreased progeny virion production, but the decrease could not be attributed to selective effects on virus gene expression, and the specific infectivity of the virions remained unchanged. While the precise function of the Gag-EPRS interaction remains uncertain, we discuss possible effects of the interaction on either virus or host activities.

摘要

宿主因子 tRNA 有助于逆转录病毒(如人类免疫缺陷病毒 1 型,HIV-1)的复制。HIV-1 使用人类 tRNA 作为逆转录的引物,HIV-1 结构蛋白 Gag 在质膜(PM)处的组装受基质(MA)结构域-tRNA 相互作用的调节。细胞质中存在一个大型动态的多氨酰-tRNA 合成酶复合物(MSC),由八个氨酰-tRNA 合成酶(ARS)和三个其他细胞蛋白组成。鉴定 HIV-宿主相互作用的蛋白质组学研究已经确定 MSC 是 HIV-1 Gag 和 MA 相互作用组的一部分。在这里,我们证实 HIV-1 Gag 的 MA 结构域与 MSC 形成稳定的复合物,将主要相互作用位点映射到双功能人类谷氨酰-脯氨酰-tRNA 合成酶(EPRS)的连接域,并表明 MA-EPRS 相互作用依赖于 RNA。显著降低 EPRS 相互作用的 MA 突变会降低病毒感染力,并映射到与磷脂酰肌醇-(4,5)-二磷酸相互作用的 MA 残基。EPRS 的过表达或 EPRS 片段的过表达不会影响 HIV-1 感染的易感性,而 EPRS 的敲低会降低对照报告基因和 HIV-1 蛋白翻译。EPRS 敲低导致产生的子代病毒颗粒减少,但减少不能归因于对病毒基因表达的选择性影响,并且病毒颗粒的特异性感染力保持不变。虽然 Gag-EPRS 相互作用的确切功能尚不确定,但我们讨论了该相互作用对病毒或宿主活性的可能影响。

https://cdn.ncbi.nlm.nih.gov/pmc/blobs/62ce/9967848/c7ee76afbc78/viruses-15-00474-g001.jpg

文献AI研究员

20分钟写一篇综述,助力文献阅读效率提升50倍。

立即体验

用中文搜PubMed

大模型驱动的PubMed中文搜索引擎

马上搜索

文档翻译

学术文献翻译模型,支持多种主流文档格式。

立即体验