Suppr超能文献

柚皮苷通过抑制Toll样受体4(TLR4)/核因子-κB(NF-κB)信号通路和内质网应激预防衰老大鼠的认知功能障碍

Naringin Prevents Cognitive Dysfunction in Aging Rats by Inhibiting Toll-Like Receptor 4 (TLR4)/NF-B Pathway and Endoplasmic Reticulum Stress.

作者信息

Dai Xiao-Jie, Jia Yi, Cao Rui, Zhou Mei-Ning

机构信息

Internal Medicine-Neurology, Xi'an Gaoxin Hospital, Shaanxi 710075, China.

Internal Medicine-Neurology, Qingyang People's Hospital, Qingyang, Gansu 745000, China.

出版信息

Evid Based Complement Alternat Med. 2023 Feb 21;2023:2919811. doi: 10.1155/2023/2919811. eCollection 2023.

Abstract

OBJECTIVE

Naringin is a flavonoid derived from Chinese herbs. According to earlier studies, naringin may have the potential to alleviate aging-induced cognitive dysfunction. Therefore, this study attempted to explore the protective effect and underlying mechanism of naringin on aging rats with cognitive dysfunction.

METHODS

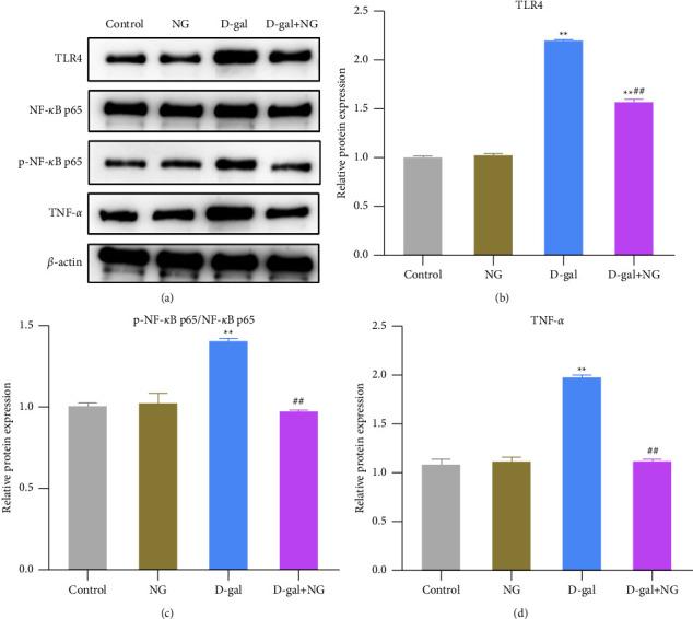
After the construction of a model of aging rats with cognitive dysfunction through subcutaneous injection of D-galactose (D-gal; 150 mg/kg), intragastric administration of naringin (100 mg/kg) was performed for treatment. Behavioral tests, including Morris water maze test (MWM), novel object recognition test (NORT), and fear conditioning test, were used to measure the cognitive function; ELISA and biochemical tests were used to determine the levels of interleukin (IL)-1, IL-6, monocyte chemoattractant protein-1 (MCP-1), brain-derived neurotrophic factor (BDNF), nerve growth factor (NGF), malondialdehyde (MDA), and glutathione peroxidase (GSH-Px) in the hippocampus of rats in each group, respectively; H&E staining was used to observe the pathological changes in the hippocampus; Western blot was used to examine the expression of toll-like receptor 4 (TLR4)/NF-B pathway-related proteins and endoplasmic reticulum (ER) stress-related proteins in the hippocampus.

RESULTS

The model was successfully constructed by subcutaneous injection of D-gal (150 mg/kg). The behavioral test results showed that naringin could ameliorate the cognitive dysfunction and alleviate the histopathological damage of hippocampus. Moreover, naringin significantly improve the inflammatory response (the levels of IL-1, IL-6, and MCP-1 were decreased), oxidative stress response (MDA level was increased while GSH-Px activity was decreased), and ER stress (the expression of glucose-regulated protein 78 (GRP78), C/-EBP homologous protein (CHOP), and transcription factor 6 (ATF6) expression was downregulated), and increased the levels of neurotrophic factors BDNF and NGF in D-gal rats. Besides, further mechanistic studies revealed the downregulation of naringin on TLR4/NF-B pathway activity.

CONCLUSION

Naringin may inhibit inflammatory response, oxidative stress, and ER stress by downregulating TLR4/NF-B pathway activity, thereby improving cognitive dysfunction and alleviating histopathological damage of hippocampus in aging rats. Briefly, naringin is an effective drug for the treatment of cognitive dysfunction.

摘要

目的

柚皮苷是一种源自中草药的黄酮类化合物。根据早期研究,柚皮苷可能具有缓解衰老诱导的认知功能障碍的潜力。因此,本研究试图探讨柚皮苷对患有认知功能障碍的衰老大鼠的保护作用及其潜在机制。

方法

通过皮下注射D-半乳糖(D-gal;150mg/kg)构建衰老伴认知功能障碍大鼠模型后,进行柚皮苷(100mg/kg)灌胃治疗。采用行为学测试,包括莫里斯水迷宫试验(MWM)、新物体识别试验(NORT)和恐惧条件反射试验,来测量认知功能;采用酶联免疫吸附测定(ELISA)和生化检测分别测定每组大鼠海马中白细胞介素(IL)-1、IL-6、单核细胞趋化蛋白-1(MCP-1)、脑源性神经营养因子(BDNF)、神经生长因子(NGF)、丙二醛(MDA)和谷胱甘肽过氧化物酶(GSH-Px)的水平;采用苏木精-伊红(H&E)染色观察海马的病理变化;采用蛋白质免疫印迹法检测海马中Toll样受体4(TLR4)/核因子-κB(NF-κB)通路相关蛋白和内质网(ER)应激相关蛋白的表达。

结果

通过皮下注射D-gal(150mg/kg)成功构建模型。行为学测试结果表明,柚皮苷可改善认知功能障碍,减轻海马的组织病理学损伤。此外,柚皮苷显著改善炎症反应(IL-1、IL-6和MCP-1水平降低)、氧化应激反应(MDA水平升高而GSH-Px活性降低)和内质网应激(葡萄糖调节蛋白78(GRP78)、C/EBP同源蛋白(CHOP)和转录因子6(ATF6)的表达下调),并提高D-gal大鼠神经营养因子BDNF和NGF的水平。此外,进一步的机制研究揭示了柚皮苷对TLR4/NF-κB通路活性下调。

结论

柚皮苷可能通过下调TLR4/NF-κB通路活性抑制炎症反应、氧化应激和内质网应激,从而改善衰老大鼠的认知功能障碍,减轻海马的组织病理学损伤。简而言之,柚皮苷是治疗认知功能障碍的有效药物。

https://cdn.ncbi.nlm.nih.gov/pmc/blobs/aeb0/9974290/8fdbf9aabcee/ECAM2023-2919811.001.jpg

文献AI研究员

20分钟写一篇综述,助力文献阅读效率提升50倍。

立即体验

用中文搜PubMed

大模型驱动的PubMed中文搜索引擎

马上搜索

文档翻译

学术文献翻译模型,支持多种主流文档格式。

立即体验