Suppr超能文献

自愿性跑步运动改变梗死灶周围皮质中的星形胶质细胞数量和特征。

Voluntary running exercise modifies astrocytic population and features in the peri-infarct cortex.

作者信息

Yamaguchi Natsumi, Sawano Toshinori, Nakatani Jin, Nakano-Doi Akiko, Nakagomi Takayuki, Matsuyama Tomohiro, Tanaka Hidekazu

机构信息

Pharmacology Laboratory, Department of Biomedical Sciences, College of Life Sciences, Ritsumeikan University, 1-1-1 Noji-Higashi, Kusatsu, Shiga 525-8577, Japan.

Ritsumeikan Advanced Research Academy, 1 Nishinokyo-Suzaku-cho, Nakagyo-ku, Kyoto 604-8520, Japan.

出版信息

IBRO Neurosci Rep. 2023 Feb 22;14:253-263. doi: 10.1016/j.ibneur.2023.02.004. eCollection 2023 Jun.

Abstract

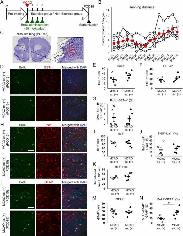
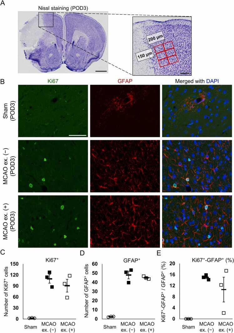
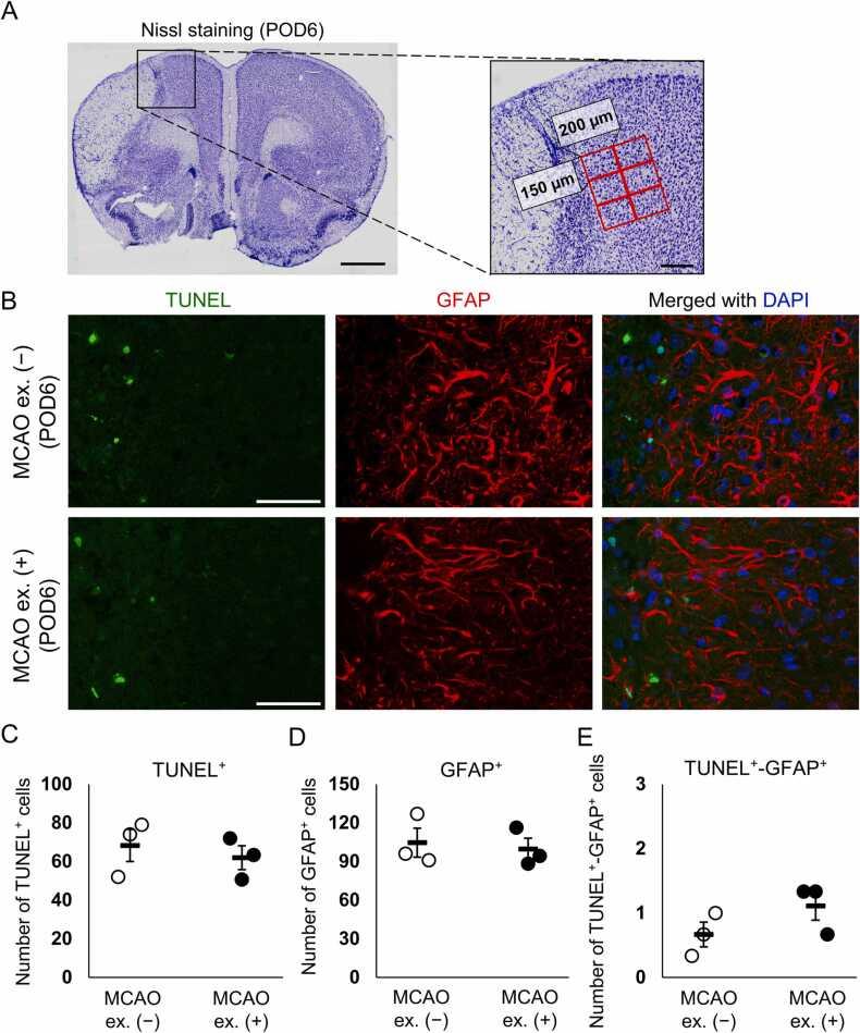
Rehabilitative exercise following a brain stroke has beneficial effects on the morphological plasticity of neurons. Particularly, voluntary running exercise after focal cerebral ischemia promotes functional recovery and ameliorates ischemia-induced dendritic spine loss in the peri-infarct motor cortex layer 5. Moreover, neuronal morphology is affected by changes in the perineuronal environment. Glial cells, whose phenotypes may be altered by exercise, are known to play a pivotal role in the formation of this perineuronal environment. Herein, we investigated the effects of voluntary running exercise on glial cells after middle cerebral artery occlusion. Voluntary running exercise increased the population of glial fibrillary acidic protein-positive astrocytes born between post-operative days (POD) 0 and 3 on POD15 in the peri-infarct cortex. After exercise, transcriptomic analysis of post-ischemic astrocytes revealed 10 upregulated and 70 downregulated genes. Furthermore, gene ontology analysis showed that the 70 downregulated genes were significantly associated with neuronal morphology. In addition, exercise reduced the number of astrocytes expressing lipocalin 2, a regulator of dendritic spine density, on POD15. Our results suggest that exercise modifies the composition of astrocytic population and their phenotype.

摘要

脑卒中后的康复锻炼对神经元的形态可塑性具有有益影响。特别是,局灶性脑缺血后的自主跑步锻炼可促进功能恢复,并改善梗死灶周围运动皮层第5层缺血诱导的树突棘丢失。此外,神经元形态受神经元周围环境变化的影响。胶质细胞在这种神经元周围环境的形成中起关键作用,其表型可能会因运动而改变。在此,我们研究了大脑中动脉闭塞后自主跑步锻炼对胶质细胞的影响。自主跑步锻炼增加了梗死灶周围皮层术后第0天至第3天出生的胶质纤维酸性蛋白阳性星形胶质细胞在术后第15天的数量。锻炼后,对缺血后星形胶质细胞进行转录组分析,发现10个基因上调,70个基因下调。此外,基因本体分析表明,这70个下调基因与神经元形态显著相关。此外,锻炼减少了术后第15天表达脂质运载蛋白2(一种树突棘密度调节剂)的星形胶质细胞数量。我们的结果表明,锻炼可改变星形胶质细胞群体的组成及其表型。

https://cdn.ncbi.nlm.nih.gov/pmc/blobs/2d4b/9984846/f4cc59924a0a/ga1.jpg

文献AI研究员

20分钟写一篇综述,助力文献阅读效率提升50倍。

立即体验

用中文搜PubMed

大模型驱动的PubMed中文搜索引擎

马上搜索

文档翻译

学术文献翻译模型,支持多种主流文档格式。

立即体验