Suppr超能文献

气相牛至精油对耐药菌生物被膜的影响:作用机制

Effect of Vapor-Phase Oregano Essential Oil on Resistant Species Biofilms: Mechanisms of Action.

作者信息

Fernandes Liliana, Costa Raquel, Silva Sónia, Henriques Mariana, Costa-de-Oliveira Sofia, Rodrigues Maria E

机构信息

Centre of Biological Engineering, LMaS-Laboratório de Microbiologia Aplicada à Saúde, University of Minho, Campus de Gualtar, Braga, Portugal.

LABBELS-Associate Laboratory, Braga/Guimarães, Portugal.

出版信息

Microbiol Spectr. 2023 Mar 27;11(2):e0512422. doi: 10.1128/spectrum.05124-22.

Abstract

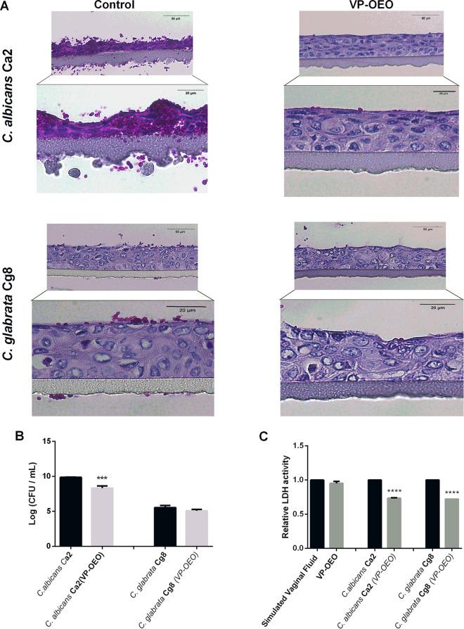
Vulvovaginal candidiasis (VVC) is one of the most prevalent vaginal infectious diseases. The increasing incidence of drug-resistant strains and the limited therapeutic options make the discovery of effective alternative therapies fundamental. Essential oils (EOs) have been suggested as a promising alternative, and interestingly, vapor-phase essential oils (VP-EOs) present more advantages than their direct application. Thus, this study aims to evaluate the effect of oregano VP-EO (VP-OEO) on biofilms of antifungal-resistant vaginal isolates of species (Candida albicans and Candida glabrata) and determine its mode of action. CFU, membrane integrity, and metabolic activity were evaluated. Furthermore, a reconstituted vaginal epithelium was used to mimic vaginal conditions and evaluate the effect of VP-OEO on species infection, analyzed by DNA quantification, microscopy, and lactate dehydrogenase activity. The results revealed high VP-OEO antifungal activity. There was a significant reduction (>4 log CFU) in species biofilms. Furthermore, the results show that the mechanisms of action of VP-OEO are related to membrane integrity and metabolic activity. The epithelium model confirms the effectiveness of VP-OEO. This study suggests that VP-EO can be considered a first approach for the development of an alternative form of VVC treatment. This work presents a new approach to the application of essential oils, exposure to the vapor phase, which can be considered a first approach for the development of a complementary or alternative form of vulvovaginal candidiasis (VVC) treatment. VVC is a significant infection caused by species and remains a common disease that affects millions of women every year. The great difficulty in treating VVC and the extremely limited effective therapeutic options make the development of alternative treatments crucial. In this scope, this study aims to contribute to the development of effective, inexpensive, and nontoxic strategies for the prevention and treatment of this infectious disease, based on natural products. Moreover, this new approach has several advantages for women, such as lower costs, easy access, an easier mode of application, avoidance of skin contact, and, therefore, fewer negative impacts on women's health.

摘要

外阴阴道念珠菌病(VVC)是最常见的阴道感染性疾病之一。耐药菌株的发病率不断上升以及治疗选择有限,使得发现有效的替代疗法至关重要。精油(EOs)已被认为是一种有前景的替代方法,有趣的是,气相精油(VP-EOs)比直接应用具有更多优势。因此,本研究旨在评估牛至气相精油(VP-OEO)对白色念珠菌和光滑念珠菌等抗真菌耐药阴道分离株生物膜的影响,并确定其作用方式。评估了菌落形成单位(CFU)、膜完整性和代谢活性。此外,使用重建的阴道上皮来模拟阴道条件,并通过DNA定量、显微镜检查和乳酸脱氢酶活性分析评估VP-OEO对念珠菌属感染的影响。结果显示VP-OEO具有较高的抗真菌活性。念珠菌属生物膜显著减少(>4个对数CFU)。此外,结果表明VP-OEO的作用机制与膜完整性和代谢活性有关。上皮模型证实了VP-OEO的有效性。本研究表明,VP-EO可被视为开发VVC替代治疗形式的首选方法。 这项工作提出了一种应用精油的新方法,即暴露于气相,这可被视为开发外阴阴道念珠菌病(VVC)补充或替代治疗形式的首选方法。VVC是由念珠菌属引起的一种重要感染,仍然是一种常见疾病,每年影响数百万女性。治疗VVC的巨大困难和极其有限的有效治疗选择使得开发替代治疗方法至关重要。在此范围内,本研究旨在基于天然产物为预防和治疗这种传染病开发有效、廉价且无毒的策略做出贡献。此外,这种新方法对女性有几个优点,如成本更低、易于获得、应用方式更简便、避免皮肤接触,因此对女性健康的负面影响更小。

https://cdn.ncbi.nlm.nih.gov/pmc/blobs/2e22/10100680/01c6093e0d82/spectrum.05124-22-f001.jpg

文献AI研究员

20分钟写一篇综述,助力文献阅读效率提升50倍。

立即体验

用中文搜PubMed

大模型驱动的PubMed中文搜索引擎

马上搜索

文档翻译

学术文献翻译模型,支持多种主流文档格式。

立即体验